相关产品推荐更多 >
万千商家帮你免费找货
0 人在求购买到急需产品
- 详细信息
- 技术资料
- 免疫原:
Purified recombinant fragment of human CA9 expressed in E. Coli.
- 形态:
liquid
- 保存条件:
Store at -20˚C
- 克隆性:
Monoclonal
- 适应物种:
Human
- 保质期:
12 months
- 抗原来源:
Mouse
- 供应商:
南京赛戈巍生物科技有限公司
- 宿主:
Mouse
- 应用范围:
WB;IHC;FC
- 靶点:
Uniprot:Q16790
- 抗体英文名:
CA9 Mouse mAb
- 规格:
50ul/100ul
别名:MN; CAIX; CA9
计算分子量:50kDa
配方:Purified antibody in PBS with 0.05% sodium azide.
应用详情:WB:1/500 - 1/2000
IHC:1/200 - 1/1000
FC:1/200 - 1/400
ELISA:1/10000
图片:
计算分子量:50kDa
配方:Purified antibody in PBS with 0.05% sodium azide.
应用详情:WB:1/500 - 1/2000
IHC:1/200 - 1/1000
FC:1/200 - 1/400
ELISA:1/10000
图片:
![CA9 Mouse mAb[63183]](https://img1.dxycdn.com/p/s14/2025/0922/092/2192628262582699691.jpg)
Western blot analysis using CA9 mouse mAb against Hela (1) and A549 (2) cell lysate.
,
![CA9 Mouse mAb[63183]](https://img1.dxycdn.com/p/s14/2025/0922/639/6735084643582699691.jpg)
Flow cytometric analysis of NTERA-2 cells using CA9 mouse mAb (green) and negative control (purple).
,
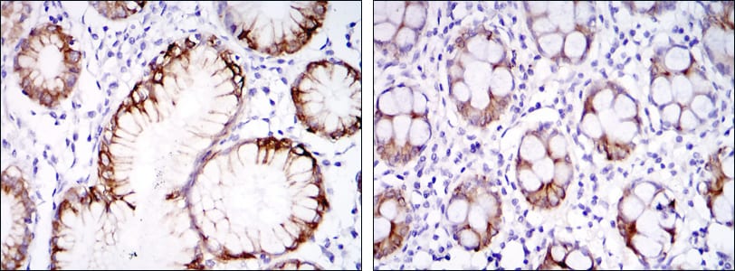
![CA9 Mouse mAb[63183]](https://img1.dxycdn.com/p/s14/2025/0922/565/0238804254582699691.jpg)
Immunohistochemical analysis of paraffin-embedded human stomach tissues (left) and colon tissues (right) using CA9 mouse mAb with DAB staining.
风险提示:丁香通仅作为第三方平台,为商家信息发布提供平台空间。用户咨询产品时请注意保护个人信息及财产安全,合理判断,谨慎选购商品,商家和用户对交易行为负责。对于医疗器械类产品,请先查证核实企业经营资质和医疗器械产品注册证情况。
技术资料暂无技术资料 索取技术资料
CA9 Mouse mAb[63183]
询价


![CA9 Mouse mAb[63183]](https://img1.dxycdn.com/p/s14/2025/0922/632/2321321568067599691.jpg)


![CD16B Mouse mAb[63264]](https://img1.dxycdn.com/p/s14/2025/0922/632/2321321568067599691.jpg!wh200)
![GLUR Conjugated Antibody[C48548]](https://img1.dxycdn.com/p/s14/2025/0923/305/2150219664296040791.jpg!wh200)
![CHST10 Antibody[46497]](https://img1.dxycdn.com/p/s14/2025/0923/496/0462304380155040791.jpg!wh200)
![MAP4K3 Conjugated Antibody[C35951]](https://img1.dxycdn.com/p/s14/2025/0923/278/4431488150116040791.jpg!wh200)
