相关产品推荐更多 >
万千商家帮你免费找货
0 人在求购买到急需产品
- 详细信息
- 技术资料
- 免疫原:
Synthetic peptide of human SMYD2
- 形态:
liquid
- 保存条件:
Store at -20˚C
- 克隆性:
Polyclonal
- 适应物种:
Human;Mouse;Rat
- 保质期:
12 months
- 抗原来源:
Rabbit
- 供应商:
南京赛戈巍生物科技有限公司
- 宿主:
Rabbit
- 应用范围:
WB IHC
- 靶点:
Uniprot:Q9NRG4
- 抗体英文名:
SMYD2 Antibody
- 规格:
50ul/100ul
别名:KMT3C; HSKM-B; ZMYND14
计算分子量:50kd
配方:Rabbit IgG in pH7.4 PBS, 0.05% NaN3, 40% Glycerol.
应用详情:
图片:
计算分子量:50kd
配方:Rabbit IgG in pH7.4 PBS, 0.05% NaN3, 40% Glycerol.
应用详情:
Western blotting: 1:200-1:1000
Immunohistochemistry: 1:100-1:200
图片:
![SMYD2 Antibody[43434]](https://img1.dxycdn.com/p/s14/2025/0922/531/0428778068620700791.jpg)
Gel: 8%SDS-PAGE
Lysate: 40 μg
Lane: Mouse heart tissue
Primary antibody: 1/350 dilution
Secondary antibody: Goat anti rabbit IgG at 1/8000 dilution
Exposure time: 2 minutes
,
![SMYD2 Antibody[43434]](https://img1.dxycdn.com/p/s14/2025/0922/828/0888759319620700791.jpg)
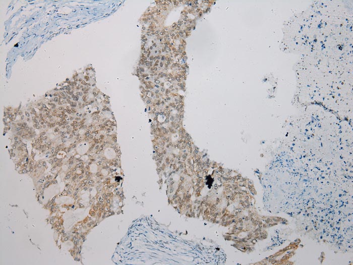
Immunohistochemical analysis of paraffin-embedded Human Colorectal cancer tissue using #43434 at dilution 1/200.
,
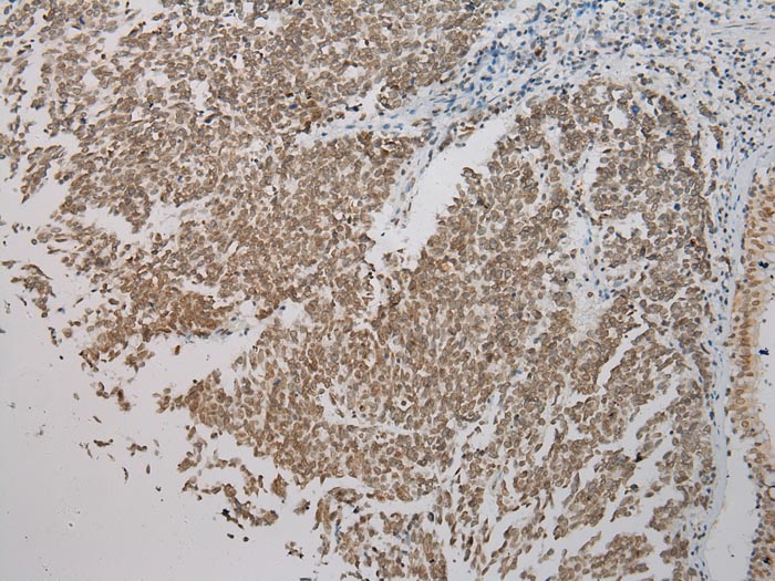
![SMYD2 Antibody[43434]](https://img1.dxycdn.com/p/s14/2025/0922/049/8484541419620700791.jpg)
Immunohistochemical analysis of paraffin-embedded Human Lung cancer tissue using #43434 at dilution 1/200.
风险提示:丁香通仅作为第三方平台,为商家信息发布提供平台空间。用户咨询产品时请注意保护个人信息及财产安全,合理判断,谨慎选购商品,商家和用户对交易行为负责。对于医疗器械类产品,请先查证核实企业经营资质和医疗器械产品注册证情况。
技术资料暂无技术资料 索取技术资料
SMYD2 Antibody[43434]
询价


![SMYD2 Antibody[43434]](https://img1.dxycdn.com/p/s14/2025/0922/568/0046652811090600791.jpg)


![SELENOP Rabbit pAb[55654]](https://img1.dxycdn.com/p/s14/2025/0922/632/2321321568067599691.jpg!wh200)
![MRC2 Conjugated Antibody[C34093]](https://img1.dxycdn.com/p/s14/2025/0923/278/4431488150116040791.jpg!wh200)
![GRP78/Bip Monoclonal Antibody(8G3)[44090]](https://img1.dxycdn.com/p/s14/2025/0922/568/0046652811090600791.jpg!wh200)
