相关产品推荐更多 >
万千商家帮你免费找货
0 人在求购买到急需产品
- 详细信息
- 技术资料
- 免疫原:
Fusion protein of human TRPM2
- 形态:
liquid
- 保存条件:
Store at -20˚C
- 克隆性:
Polyclonal
- 适应物种:
Human
- 保质期:
12 months
- 抗原来源:
Rabbit
- 供应商:
南京赛戈巍生物科技有限公司
- 宿主:
Rabbit
- 应用范围:
IHC
- 靶点:
Uniprot:O94759
- 抗体英文名:
TRPM2 Antibody
- 规格:
50ul/100ul
别名:KNP3; EREG1; TRPC7; LTRPC2; NUDT9H; NUDT9L1
配方:Rabbit IgG in pH7.4 PBS, 0.05% NaN3, 40% Glycerol.
应用详情:
Immunohistochemistry: 1:25-1:100
图片:
配方:Rabbit IgG in pH7.4 PBS, 0.05% NaN3, 40% Glycerol.
应用详情:
Immunohistochemistry: 1:25-1:100
图片:
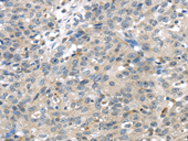
![TRPM2 Antibody[42793]](https://img1.dxycdn.com/p/s14/2025/0922/293/4891427224897600791.jpg)
Immunohistochemical analysis of paraffin-embedded Human liver cancer tissue using #42793 at dilution 1/25.
,
![TRPM2 Antibody[42793]](https://img1.dxycdn.com/p/s14/2025/0922/794/2910020024897600791.jpg)
Immunohistochemical analysis of paraffin-embedded Human breast cancer tissue using #42793 at dilution 1/25.
风险提示:丁香通仅作为第三方平台,为商家信息发布提供平台空间。用户咨询产品时请注意保护个人信息及财产安全,合理判断,谨慎选购商品,商家和用户对交易行为负责。对于医疗器械类产品,请先查证核实企业经营资质和医疗器械产品注册证情况。
技术资料暂无技术资料 索取技术资料
TRPM2 Antibody[42793]
询价


![TRPM2 Antibody[42793]](https://img1.dxycdn.com/p/s14/2025/0922/568/0046652811090600791.jpg)


![RAB22A Rabbit mAb[57150]](https://img1.dxycdn.com/p/s14/2025/0922/632/2321321568067599691.jpg!wh200)
![NDUFB1 Rabbit mAb[52675]](https://img1.dxycdn.com/p/s14/2025/0922/498/0460884283108299691.jpg!wh200)
![Ubiquitin-like protein ISG15 Polyclonal Antibody[42509]](https://img1.dxycdn.com/p/s14/2025/0922/568/0046652811090600791.jpg!wh200)
![Hemopexin Antibody[35504]](https://img1.dxycdn.com/p/s14/2025/0922/359/6146153295428599691.jpg!wh200)
