相关产品推荐更多 >
万千商家帮你免费找货
0 人在求购买到急需产品
- 详细信息
- 文献和实验
- 技术资料
- 免疫原:
Recombinant mouse Hepatitis A virus cellular receptor 1 homolog protein
- 形态:
liquid
- 保存条件:
Store at -20˚C
- 克隆性:
Polyclonal
- 适应物种:
Mouse
- 保质期:
12 months
- 抗原来源:
Rabbit
- 供应商:
南京赛戈巍生物科技有限公司
- 宿主:
Rabbit
- 应用范围:
IHC
- 靶点:
Uniprot:Q5QNS5
- 抗体英文名:
Hepatitis A virus cellular receptor 1 homolog Polyclonal Antibody
- 规格:
50ul/100ul
配方:Preservative: 0.03% Proclin 300 Constituents: 50% Glycerol, 0.01M PBS, PH 7.4
应用详情:
Immunohistochemistry: 1:20 - 1:200
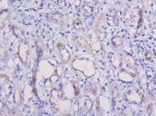
图片:

Immunohistochemical analysis of paraffin-embeded human kidney using #42610 at dilution of 1:50.
风险提示:丁香通仅作为第三方平台,为商家信息发布提供平台空间。用户咨询产品时请注意保护个人信息及财产安全,合理判断,谨慎选购商品,商家和用户对交易行为负责。对于医疗器械类产品,请先查证核实企业经营资质和医疗器械产品注册证情况。
文献和实验【申请上传】Current Protocols in Immunology
ELISA Unit 7.13 Measurement of Polyclonal Immunoglobulin Synthesis Using the Reverse Plaque Technique Unit 7.14 Measurement of Immunoglobulin Synthesis Using the ELISPOT Assay Unit 7.15 Measurement of In Vitro Specific-Antibody Synthesis Unit 7.16
缩写 全称 中文 AA autoantibody 自身抗体 AAF aminoacetylfluorescence 氨乙酰基荧光 Ab antibody 抗体 ABC avidin-biotin peroxidase complex 抗生物素(亲合素)-生物素-过氧化物酶复合物 ACh acetycholine 乙酰胆碱 AChR acetycholine receptor 乙酰胆碱受体 AChRAb acetycholine
Introduction of human 14-3-3 proteins
of the tryptic peptides derived from the purified enzyme revealed two amino acid sequences homologous to the 14-3-3 proteins.A polyclonal antibody was raised against purified ST-IV.A 33 kDa protein was co-immunoprecipitated from rat brain extracts with the anti
技术资料暂无技术资料 索取技术资料





![Bis(5'-adenosyl)-triphosphatase Polyclonal Antibody[42542]](https://img1.dxycdn.com/p/s14/2025/0922/568/0046652811090600791.jpg!wh200)
![ALG11 Conjugated Antibody[C37327]](https://img1.dxycdn.com/p/s14/2025/0923/278/4431488150116040791.jpg!wh200)


