相关产品推荐更多 >
万千商家帮你免费找货
0 人在求购买到急需产品
- 详细信息
- 技术资料
- 免疫原:
Recombinant human Bone morphogenetic protein 7
- 形态:
liquid
- 保存条件:
Store at -20˚C
- 克隆性:
Polyclonal
- 适应物种:
Human
- 保质期:
12 months
- 抗原来源:
Rabbit
- 供应商:
南京赛戈巍生物科技有限公司
- 宿主:
Rabbit
- 应用范围:
WB IHC
- 靶点:
Uniprot:P18075
- 抗体英文名:
Bone morphogenetic protein 7 Polyclonal Antibody
- 规格:
50ul/100ul
别名:Osteogenic protein 1, BMP7, OP1
计算分子量:49kd
配方:Preservative: 0.03% Proclin 300 Constituents: 50% Glycerol, 0.01M PBS, PH 7.4
应用详情:Western blotting: 1:500 - 1:1000
Immunohistochemistry: 1:20 - 1:200
图片:
计算分子量:49kd
配方:Preservative: 0.03% Proclin 300 Constituents: 50% Glycerol, 0.01M PBS, PH 7.4
应用详情:Western blotting: 1:500 - 1:1000
Immunohistochemistry: 1:20 - 1:200
图片:

All lanes : Bone morphogenetic protein 7 antibody at 2ug/ml+mouse kidney tissue SecondaryGoat polyclonal to Rabbit IgG at 1/10000 dilution Predicted band size : 49 kDa Observed band size: 49 kDa
,

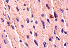
Immunohistochemical analysis of paraffin-embedded mousekidney using #42441 at dilution of 1:50.
风险提示:丁香通仅作为第三方平台,为商家信息发布提供平台空间。用户咨询产品时请注意保护个人信息及财产安全,合理判断,谨慎选购商品,商家和用户对交易行为负责。对于医疗器械类产品,请先查证核实企业经营资质和医疗器械产品注册证情况。
技术资料暂无技术资料 索取技术资料
Bone morphogenetic protein 7 Polyclonal Antibody[42441]
询价


![Bone morphogenetic protein 7 Polyclonal Antibody[42441]](https://img1.dxycdn.com/p/s14/2025/0922/568/0046652811090600791.jpg)


![COX6A2 Antibody[46541]](https://img1.dxycdn.com/p/s14/2025/0923/496/0462304380155040791.jpg!wh200)
![OCIAD2 Rabbit Polyclonal Antibody[53953]](https://img1.dxycdn.com/p/s14/2025/0922/498/0460884283108299691.jpg!wh200)
![ITGA8 Antibody[43756]](https://img1.dxycdn.com/p/s14/2025/0922/568/0046652811090600791.jpg!wh200)
![ZNF460 Antibody[35158]](https://img1.dxycdn.com/p/s14/2025/0922/359/6146153295428599691.jpg!wh200)
![PREB Conjugated Antibody[C57101]](https://img1.dxycdn.com/p/s14/2025/0922/632/2321321568067599691.jpg!wh200)
