相关产品推荐更多 >
万千商家帮你免费找货
0 人在求购买到急需产品
- 详细信息
- 技术资料
- 免疫原:
Synthetic peptide corresponding to internal residues of human COX6A2
- 形态:
liquid
- 保存条件:
Store at -20˚C
- 克隆性:
Polyclonal
- 适应物种:
Human
- 保质期:
12 months
- 抗原来源:
Rabbit
- 供应商:
南京赛戈巍生物科技有限公司
- 宿主:
Rabbit
- 应用范围:
WB IHC
- 靶点:
Uniprot:Q02221
- 抗体英文名:
COX6A2 Antibody
- 规格:
50ul/100ul
计算分子量:11 kDa
配方:Rabbit IgG in pH7.4 PBS, 0.05% NaN3, 40% Glycerol.
应用详情:Western blotting: 1:500-1:2000
Immunohistochemistry: 1: 25-100
图片:
![COX6A2 Antibody[46541]](https://img1.dxycdn.com/p/s14/2025/0923/621/8889621116366040791.jpg)
Gel: 12%SDS-PAGE
lysate: 40 |ìg, Lane 1-3: Human muscle tissue£?Human heart tissue£?Mouse heart tissue lysates,
Primary antibody: 46541£¨COX6A2 Antibody) at dilution 1/450
Secondary antibody: Goat anti rabbit IgG at 1/8000 dilution,
Exposure time: 5 seconds
,
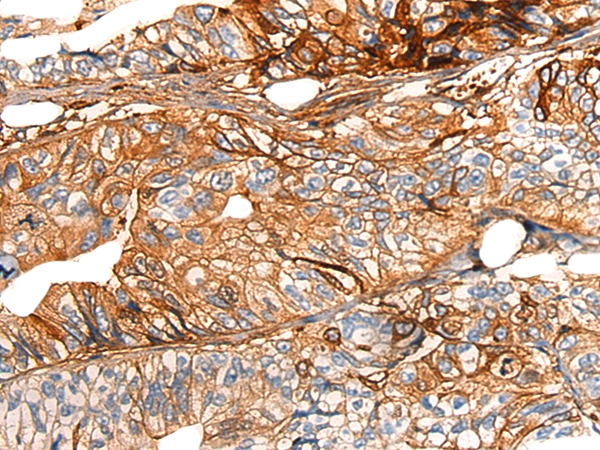
![COX6A2 Antibody[46541]](https://img1.dxycdn.com/p/s14/2025/0923/955/0696772778366040791.jpg)
The image on the left is immunohistochemistry of paraffin-embedded Human gastric cancer tissue using 46541(COX6A2 Antibody) at dilution 1/20, on the right is treated with synthetic peptide. (Original magnification: x200)
,
![COX6A2 Antibody[46541]](https://img1.dxycdn.com/p/s14/2025/0923/556/4621796778366040791.jpg)
The image on the left is immunohistochemistry of paraffin-embedded Human liver cancer tissue using 46541(COX6A2 Antibody) at dilution 1/20, on the right is treated with synthetic peptide. (Original magnification: x200)
风险提示:丁香通仅作为第三方平台,为商家信息发布提供平台空间。用户咨询产品时请注意保护个人信息及财产安全,合理判断,谨慎选购商品,商家和用户对交易行为负责。对于医疗器械类产品,请先查证核实企业经营资质和医疗器械产品注册证情况。
技术资料暂无技术资料 索取技术资料


![COX6A2 Antibody[46541]](https://img1.dxycdn.com/p/s14/2025/0923/496/0462304380155040791.jpg)


![CLIP2 Antibody[46956]](https://img1.dxycdn.com/p/s14/2025/0923/496/0462304380155040791.jpg!wh200)
![RIPK1 Mouse mAb[64184]](https://img1.dxycdn.com/p/s14/2025/0922/632/2321321568067599691.jpg!wh200)
![TPD52L3 Rabbit Polyclonal Antibody[54049]](https://img1.dxycdn.com/p/s14/2025/0922/498/0460884283108299691.jpg!wh200)
