相关产品推荐更多 >
万千商家帮你免费找货
0 人在求购买到急需产品
- 详细信息
- 文献和实验
- 技术资料
- 免疫原:
Recombinant human Proteasome subunit beta type-4 protein
- 形态:
liquid
- 保存条件:
Store at -20˚C
- 克隆性:
Polyclonal
- 适应物种:
Human
- 保质期:
12 months
- 抗原来源:
Rabbit
- 供应商:
南京赛戈巍生物科技有限公司
- 宿主:
Rabbit
- 应用范围:
WB IHC
- 靶点:
Uniprot:P28070
- 抗体英文名:
Proteasome subunit beta type-4 Polyclonal Antibody
- 规格:
50ul/100ul
计算分子量:29kd
配方:Preservative: 0.03% Proclin 300 Constituents: 50% Glycerol, 0.01M PBS, PH 7.4
应用详情:Western blotting: 1:500 - 1:1000
Immunohistochemistry: 1:20 - 1:200
图片:

All lanes: Proteasome subunit beta type-4 Antibody at 2ug/ml + EC109 whole cell lysate at 20 ug Secondary Goat polyclonal to Rabbit IgG at 1/15000 dilution Predicted band size : 29 kDa Observed band size : 75 kDa
,

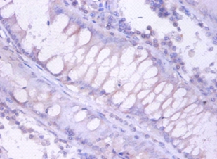
Immunohistochemical analysis of paraffin-embeded human colorectal carcinoma using #42251 at dilution of 1:100.
,

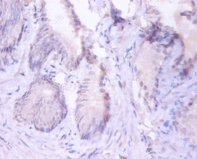
Immunohistochemical analysis of paraffin-embeded human prostate using #42251 at dilution of 1:100.
风险提示:丁香通仅作为第三方平台,为商家信息发布提供平台空间。用户咨询产品时请注意保护个人信息及财产安全,合理判断,谨慎选购商品,商家和用户对交易行为负责。对于医疗器械类产品,请先查证核实企业经营资质和医疗器械产品注册证情况。
文献和实验Studies of the Ubiquitin Proteasome System
Assays of E1 and E2 Activity Basic Protocol 1: Thiolester Formation Between Rabbit E1 and Ubiquitin Basic Protocol 2: Thiolester Formation Between E2 and Ubiquitin Binding of Ubiquitin‐Proteasome Proteins Basic Protocol 3: Binding of E2s to E3s Alternate
Polyclonal and Monoclonal Antibodies
Polyclonal Antibody Immunization of Mice: Injections should be made at intervals of at least two weeks.. We have been using either of the two following adjuvants with success: Freund adjuvant and MPL+TDM adjuvant ( RIBI ImmunoChem
Genetic and Pharmacologic Models for Type 1 Diabetes
Figure 1. Histologic appearance of pancreatic islets in 5‐ to 6‐week‐old C57BL/6 wild‐type control (+/+) and heterozygous Ins2 Akita mice of both sexes. Insulin‐containing beta cells are stained
技术资料暂无技术资料 索取技术资料





![VPS33B Antibody[42843]](https://img1.dxycdn.com/p/s14/2025/0922/568/0046652811090600791.jpg!wh200)
![CHODL Antibody[46493]](https://img1.dxycdn.com/p/s14/2025/0923/496/0462304380155040791.jpg!wh200)
![NFAT5 Antibody[37180]](https://img1.dxycdn.com/p/s14/2025/0922/359/6146153295428599691.jpg!wh200)
![YBOX1 / YB-1 Conjugated Antibody[C48232]](https://img1.dxycdn.com/p/s14/2025/0923/305/2150219664296040791.jpg!wh200)
![ACE1 Polyclonal Conjugated Antibody[C40540]](https://img1.dxycdn.com/p/s14/2025/0923/278/4431488150116040791.jpg!wh200)

