相关产品推荐更多 >
万千商家帮你免费找货
0 人在求购买到急需产品
- 详细信息
- 技术资料
- 免疫原:
Synthetic peptide corresponding to residues near the N terminal of human LIM domain containing preferred translocation partner in lipoma
- 形态:
liquid
- 保存条件:
Store at -20˚C
- 克隆性:
Polyclonal
- 适应物种:
Human;Mouse;Rat
- 保质期:
12 months
- 抗原来源:
Rabbit
- 供应商:
南京赛戈巍生物科技有限公司
- 宿主:
Rabbit
- 应用范围:
WB IHC
- 靶点:
Uniprot:Q93052
- 抗体英文名:
LPP Antibody
- 规格:
50ul/100ul
配方:Rabbit IgG in pH7.4 PBS, 0.05% NaN3, 40% Glycerol.
应用详情:Western blotting: 1:200-1:1000
Immunohistochemistry:1:25-1:100
图片:
应用详情:Western blotting: 1:200-1:1000
Immunohistochemistry:1:25-1:100
图片:
![LPP Antibody[40362]](https://img1.dxycdn.com/p/s14/2025/0922/262/0422849675652600791.jpg)
Gel: 8%SDS-PAGE
Lysate: 40ug Hepg2 celPrimary antibody: 1/350 dilution
Secondary antibody dilution: 1/8000
Exposure time: 20 seconds
,
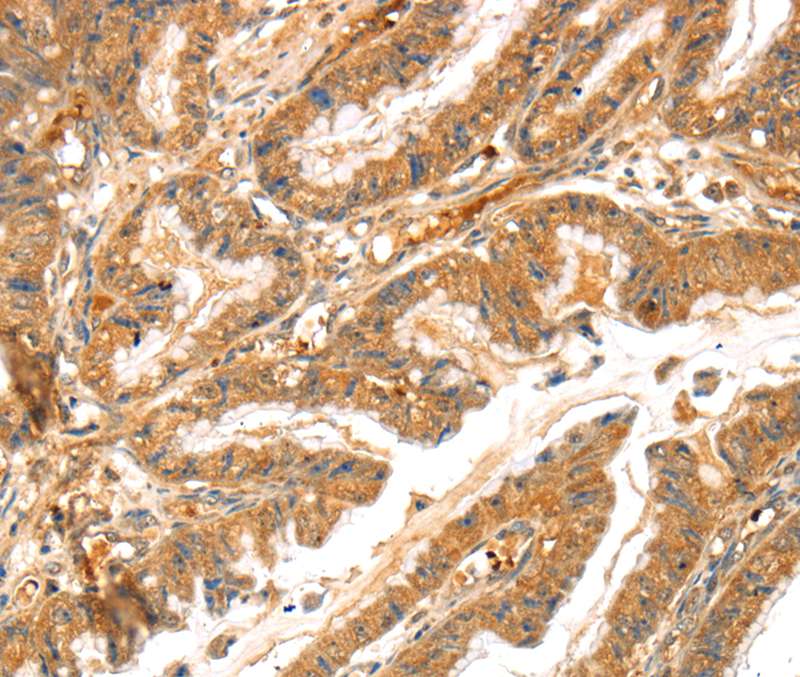
![LPP Antibody[40362]](https://img1.dxycdn.com/p/s14/2025/0922/631/0255972295652600791.jpg)
Immunohistochemical analysis of paraffin-embedded Human esophagus cancer tissue using #40362 at dilution 1/30.
风险提示:丁香通仅作为第三方平台,为商家信息发布提供平台空间。用户咨询产品时请注意保护个人信息及财产安全,合理判断,谨慎选购商品,商家和用户对交易行为负责。对于医疗器械类产品,请先查证核实企业经营资质和医疗器械产品注册证情况。
技术资料暂无技术资料 索取技术资料
LPP Antibody[40362]
询价


![LPP Antibody[40362]](https://img1.dxycdn.com/p/s14/2025/0922/568/0046652811090600791.jpg)


![HSD17B10 Conjugated Antibody[C32854]](https://img1.dxycdn.com/p/s14/2025/0923/278/4431488150116040791.jpg!wh200)
![LILRB3 Antibody[36936]](https://img1.dxycdn.com/p/s14/2025/0922/359/6146153295428599691.jpg!wh200)
![GPR75 Antibody[44938]](https://img1.dxycdn.com/p/s14/2025/0922/568/0046652811090600791.jpg!wh200)
![JAK2 Rabbit Polyclonal Antibody[53253]](https://img1.dxycdn.com/p/s14/2025/0922/498/0460884283108299691.jpg!wh200)
