相关产品推荐更多 >
万千商家帮你免费找货
0 人在求购买到急需产品
- 详细信息
- 技术资料
- 免疫原:
A synthetic peptide of human PDK4
- 形态:
liquid
- 保存条件:
Store at -20˚C
- 克隆性:
Polyclonal
- 适应物种:
Human;Mouse;Rat
- 保质期:
12 months
- 抗原来源:
Rabbit
- 供应商:
南京赛戈巍生物科技有限公司
- 宿主:
Rabbit
- 应用范围:
WB,IHC
- 靶点:
Uniprot:Q16654
- 抗体英文名:
PDK4 antibody
- 规格:
50ul/100ul
别名:PDK4
配方:PBS with 0.02% sodium azide,50% glycerol,pH7.3.
应用详情:WB 1:500 - 1:2000
IHC 1:50 - 1:200
图片:
配方:PBS with 0.02% sodium azide,50% glycerol,pH7.3.
应用详情:WB 1:500 - 1:2000
IHC 1:50 - 1:200
图片:
![PDK4 antibody[38562]](https://img1.dxycdn.com/p/s14/2025/0922/233/0468887666601899691.jpg)
Western blot analysis of extracts of various cell lines, using PDK4 antibody.
,
![PDK4 antibody[38562]](https://img1.dxycdn.com/p/s14/2025/0922/912/2135695258601899691.jpg)
Immunohistochemistry of paraffin-embedded rat heart using PDK4 Rabbit pAb.
,
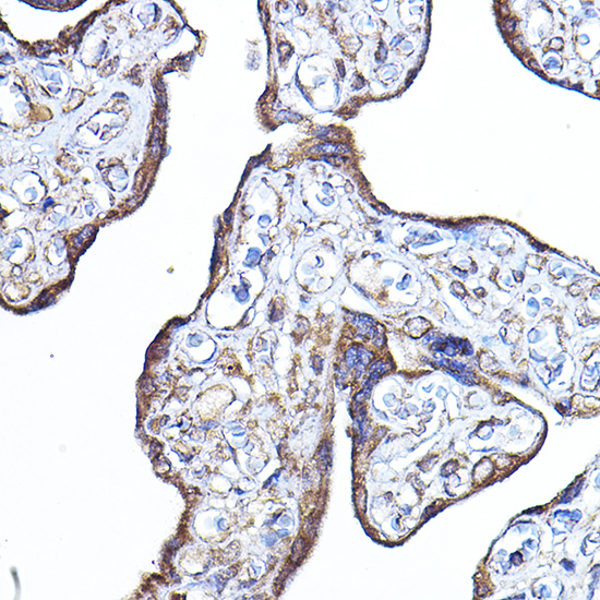
![PDK4 antibody[38562]](https://img1.dxycdn.com/p/s14/2025/0922/293/2599818008601899691.jpg)
Immunohistochemistry of paraffin-embedded human placenta using PDK4 Rabbit pAb.
风险提示:丁香通仅作为第三方平台,为商家信息发布提供平台空间。用户咨询产品时请注意保护个人信息及财产安全,合理判断,谨慎选购商品,商家和用户对交易行为负责。对于医疗器械类产品,请先查证核实企业经营资质和医疗器械产品注册证情况。
技术资料暂无技术资料 索取技术资料
PDK4 antibody[38562]
询价


![PDK4 antibody[38562]](https://img1.dxycdn.com/p/s14/2025/0922/359/6146153295428599691.jpg)


![Phospho-PAK1(S144)+PAK2(S141)+PAK3(S139) Rabbit mAb[13363]](https://img1.dxycdn.com/p/s14/2025/0923/496/0462304380155040791.jpg!wh200)
![Histone H4 Rabbit Polyclonal Antibody[54356]](https://img1.dxycdn.com/p/s14/2025/0922/498/0460884283108299691.jpg!wh200)
![Ret (Phospho-Tyr905) Antibody[12433]](https://img1.dxycdn.com/p/s14/2025/0922/568/0046652811090600791.jpg!wh200)
![DKK4 Antibody[35713]](https://img1.dxycdn.com/p/s14/2025/0922/359/6146153295428599691.jpg!wh200)
