相关产品推荐更多 >
万千商家帮你免费找货
0 人在求购买到急需产品
- 详细信息
- 技术资料
- 免疫原:
Synthetic peptide corresponding to a region derived from 63-76 amino acids of human solute carrier family 32 (GABA vesicular transporter), member 1
- 形态:
liquid
- 保存条件:
Store at -20˚C
- 克隆性:
Polyclonal
- 适应物种:
Human;Mouse
- 保质期:
12 months
- 抗原来源:
Rabbit
- 供应商:
南京赛戈巍生物科技有限公司
- 宿主:
Rabbit
- 应用范围:
ELISA WB IHC
- 靶点:
Uniprot:NP_542119.1
- 抗体英文名:
SLC32A1 Antibody
- 规格:
50ul/100ul
配方:Supplied at 1mg/mL in phosphate buffered saline (without Mg2+ and Ca2+), pH 7.3, 0.05% sodium azide and 50% glycerol.
应用详情:
Predicted MW: 57kd
ELISA: 1:2000-1:5000
Western blotting: 1:500-1:2000
Immunohistochemistry: 1:50-1:200
图片:

Gel: 10%SDS-PAGE
Lysate: 40 μg Mouse eye tissue lysate
Primary antibody: 1/500 dilution
Secondary antibody: Goat anti Rabbit IgG - H&L (HRP) at 1/10000 dilution
Exposure time: 20 seconds
,

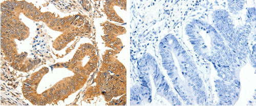
The image on the left is immunohistochemistry of paraffin-embedded human colon cancer tissue using 31292 (SLC32A1 Antibody) at dilution 1/35, on the right is treated with the synthetic peptide.
风险提示:丁香通仅作为第三方平台,为商家信息发布提供平台空间。用户咨询产品时请注意保护个人信息及财产安全,合理判断,谨慎选购商品,商家和用户对交易行为负责。对于医疗器械类产品,请先查证核实企业经营资质和医疗器械产品注册证情况。
技术资料暂无技术资料 索取技术资料





![GRIA2 Mouse mAb[63689]](https://img1.dxycdn.com/p/s14/2025/0922/632/2321321568067599691.jpg!wh200)
![FLNA Antibody[36484]](https://img1.dxycdn.com/p/s14/2025/0922/359/6146153295428599691.jpg!wh200)
![UGGT2 Antibody[42803]](https://img1.dxycdn.com/p/s14/2025/0922/568/0046652811090600791.jpg!wh200)
![ZNF217 Conjugated Antibody[C42875]](https://img1.dxycdn.com/p/s14/2025/0923/278/4431488150116040791.jpg!wh200)
