相关产品推荐更多 >
万千商家帮你免费找货
0 人在求购买到急需产品
- 详细信息
- 技术资料
- 免疫原:
A synthesized peptide derived from human Phospho-GSK3 beta (Ser9)
- 形态:
liquid
- 保存条件:
Store at -20˚C
- 克隆性:
Monoclonal
- 适应物种:
Human
- 保质期:
12 months
- 抗原来源:
Recombinant Rabbit
- 供应商:
南京赛戈巍生物科技有限公司
- 宿主:
Recombinant Rabbit
- 应用范围:
WB;IHC;IF
- 靶点:
Uniprot:P49841
- 抗体英文名:
GSK3β(Phospho-Ser9) Rabbit mAb
- 规格:
50ul/100ul
计算分子量:47 kDa
配方:Rabbit IgG in phosphate buffered saline , pH 7.4, 150mM NaCl, 0.02% sodium azide and 50% glycerol.
应用详情:
WB:1:5000~1:10000
IHC:1:50~1:200
IF:1:50~1:200
图片:

All lanes : Phospho-GSK3 beta (S9) Rabbit mAb at 1/1k dilution
Lane 1 : Hela whole cell lysates
Lane 2 : 293T whole cell lysates
Lane 3 : MCF7 whole cell lysates
Lysates/proteins at 20 μg per lane.
Secondary
All lanes : Goat Anti-Rabbit IgG H&L (HRP) at 1/20000 dilution
Predicted band size: 47 kDa
Observed band size: 46 kDa
Exposure time: 7 seconds
,

All lanes : Phospho-GSK3 beta (S9) Rabbit mAb at 1/1k dilution
Lane 1 : 293T whole cell lysates
Lane 2 : 293T treated with Lambda Protein Phosphatase for 30min whole cell lysates
Lysates/proteins at 20 μg per lane.
Secondary
All lanes : Goat Anti-Rabbit IgG H&L (HRP) at 1/20000 dilution
Predicted band size: 47 kDa
Observed band size: 46 kDa
Exposure time: 3 seconds
,

All lanes : Phospho-GSK3 beta (S9) Rabbit mAb at 1/1k dilution
Lane 1 : Wild-type Hela cell lysate
Lane 2 : Phospho-GSK3 beta (S9) knockdown Hela cell lysate
Lysates/proteins at 20 μg per lane.
,

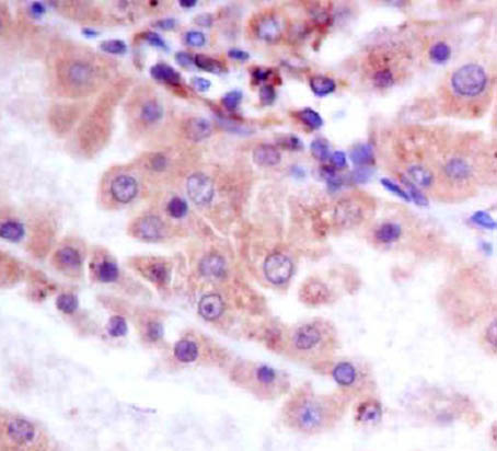
Formalin-fixed, paraffin-embedded human kidney tissue stained for Phospho-GSK3 beta (S9) using 14237 at 1/100 dilution in immunohistochemical analysis.
,

Immunocytochemistry/ Immunofluorescence p-GSK3 beta (S9) antibody (14237)
14237 staining p-GSK3 beta (S9) in the HeLa cell line by ICC/IF. Cells were fixed with 4% Paraformaldehyde permeabilized with 0.1% Triton X-100.
Samples were incubated with 14237 at a working dilution of 1/100. The secondary antibody was Alexa Fluor? 488 goat anti rabbit, used at a dilution of 1/500.
The negative control is shown in bottom right hand panel - for the negative control, purified 14237 was used at a dilution of 1/100 followed by Alexa Fluor? 647 goat anti- rabbit antibody at a dilution of 1/500.
Nuclei were counterstained with DAPI.
风险提示:丁香通仅作为第三方平台,为商家信息发布提供平台空间。用户咨询产品时请注意保护个人信息及财产安全,合理判断,谨慎选购商品,商家和用户对交易行为负责。对于医疗器械类产品,请先查证核实企业经营资质和医疗器械产品注册证情况。
技术资料暂无技术资料 索取技术资料


![GSK3β(Phospho-Ser9) Rabbit mAb[14237]](https://img1.dxycdn.com/p/s14/2025/0922/632/2321321568067599691.jpg)


![Human P16 Mouse mAb[63761]](https://img1.dxycdn.com/p/s14/2025/0922/632/2321321568067599691.jpg!wh200)
![REST Antibody[46657]](https://img1.dxycdn.com/p/s14/2025/0923/496/0462304380155040791.jpg!wh200)
![HSPA14 Rabbit Polyclonal Antibody[55121]](https://img1.dxycdn.com/p/s14/2025/0922/498/0460884283108299691.jpg!wh200)
![POTE-14/22 Polyclonal Antibody[41356]](https://img1.dxycdn.com/p/s14/2025/0922/568/0046652811090600791.jpg!wh200)
