相关产品推荐更多 >
万千商家帮你免费找货
0 人在求购买到急需产品
- 详细信息
- 文献和实验
- 技术资料
- 免疫原:
Raised against a synthetic peptide corresponding to amino acids within. The small cleavage product of murine caspase-12.
- 形态:
liquid
- 保存条件:
Store at -20˚C
- 克隆性:
Polyclonal
- 适应物种:
Human;Mouse;Rat
- 保质期:
12 months
- 抗原来源:
Rabbit
- 供应商:
南京赛戈巍生物科技有限公司
- 宿主:
Rabbit
- 应用范围:
ELISA WB IHC
- 抗体英文名:
Caspase-12 Antibody(Small)
- 规格:
50ul/100ul
配方:Supplied in PBS containing 0.02% sodium azide.
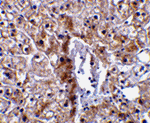
图片:

Western blot analysis of caspase-12 in mouse (lane A) and rat (lane B) liver lysate with caspase-12 antibody (small) at 1 ug/mL.
,

Immunohistochemical staining of human liver tissue using caspase-12 antibody (small) at 10 ug/mL.
风险提示:丁香通仅作为第三方平台,为商家信息发布提供平台空间。用户咨询产品时请注意保护个人信息及财产安全,合理判断,谨慎选购商品,商家和用户对交易行为负责。对于医疗器械类产品,请先查证核实企业经营资质和医疗器械产品注册证情况。
文献和实验Immunolabeling of thin sections for EM Thin sections of biological material, mounted on specimen grids, can be easily labeled by floating them, section-side down, on small drops of antibody. This method will work for sections
environment with little denaturation. Purified antibodies: Once purified, if the antibody is at less than 0.1 mg/ml add a small amount of detergent or protein (0.1% TWEEN-20 or 1% bovine serum albumin) and some protease inhibitors to the solution
The complexity of workflows for the production of high quality microarrays asks for the careful evaluation and implementation of materials and methods. As a cornerstone of the whole microarray process, the microarray substrate
技术资料暂无技术资料 索取技术资料





![CCDC112 Antibody[46416]](https://img1.dxycdn.com/p/s14/2025/0923/496/0462304380155040791.jpg!wh200)
![CROT Antibody[36373]](https://img1.dxycdn.com/p/s14/2025/0922/359/6146153295428599691.jpg!wh200)

![L1CAM Conjugated Antibody[C49464]](https://img1.dxycdn.com/p/s14/2025/0923/305/2150219664296040791.jpg!wh200)
![SIK1 Conjugated Antibody[C37961]](https://img1.dxycdn.com/p/s14/2025/0923/278/4431488150116040791.jpg!wh200)

