相关产品推荐更多 >
万千商家帮你免费找货
0 人在求购买到急需产品
- 详细信息
- 技术资料
- 免疫原:
Recombinant protein fragment contain a sequence corresponding to a region within amino acids 1 and 258 of CD44
- 形态:
liquid
- 保存条件:
Store at -20˚C
- 克隆性:
Polyclonal
- 适应物种:
Human
- 保质期:
12 months
- 抗原来源:
Rabbit
- 供应商:
南京赛戈巍生物科技有限公司
- 宿主:
Rabbit
- 应用范围:
WB IHC IF
- 抗体英文名:
CD44 antigen isoform 4 antibody
- 规格:
50ul/100ul
应用详情:Predicted MW: 39kd
Western blotting: 1:500-1:3000
Immunohistochemistry: 1:100-1:250
Immunofluorescence: 1:100-1:200
图片:

Sample (30 ug of whole cell lysate)
A: A549
B: H1299
C: MCF-7
10% SDS PAGE
Primary antibody diluted at 1: 10000
,

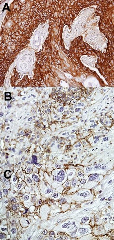
A:Immunohistochemical analysis of paraffin-embedded Cal27 xenograft, using CD44 antibody at 1: 100 dilution. B:Immunohistochemical analysis of paraffin-embedded Human pancreatic tumor, using CD44 antibody at 1: 100 dilution.(20X) C:Immunohistochemical analysis of paraffin-embedded Human pancreatic tumor, using CD44 antibody at 1: 100 dilution.(40X)
,

Confocal immunofluorescence analysis (Olympus FV10i) of methanol-fixed HeLa, using CD44 antibody (Green) at 1: 500 dilution and alpha-tubulin antibody (Red) at 1: 2000.
风险提示:丁香通仅作为第三方平台,为商家信息发布提供平台空间。用户咨询产品时请注意保护个人信息及财产安全,合理判断,谨慎选购商品,商家和用户对交易行为负责。对于医疗器械类产品,请先查证核实企业经营资质和医疗器械产品注册证情况。
技术资料暂无技术资料 索取技术资料





![PRDX4 Antibody[43303]](https://img1.dxycdn.com/p/s14/2025/0922/568/0046652811090600791.jpg!wh200)
![CD4 Rabbit mAb[48889]](https://img1.dxycdn.com/p/s14/2025/0923/496/0462304380155040791.jpg!wh200)
![UBE2C Mouse mAb[64379]](https://img1.dxycdn.com/p/s14/2025/0922/632/2321321568067599691.jpg!wh200)
![Syndecan-1 Polyclonal Antibody PE Conjugated[C90912PE]](https://img1.dxycdn.com/p/s14/2025/0922/498/0460884283108299691.jpg!wh200)
