相关产品推荐更多 >
万千商家帮你免费找货
0 人在求购买到急需产品
- 详细信息
- 文献和实验
- 技术资料
- 免疫原:
Peptide sequence around aa. 207~211 (S-G-S-T-T) derived from Human eIF4E.
- 形态:
liquid
- 保存条件:
Store at -20˚C
- 克隆性:
Polyclonal
- 适应物种:
Human;Mouse;Rat
- 保质期:
12 months
- 抗原来源:
Rabbit
- 供应商:
南京赛戈巍生物科技有限公司
- 宿主:
Rabbit
- 应用范围:
WB IHC IF
- 靶点:
Uniprot:P06730
- 抗体英文名:
eIF4E Antibody
- 规格:
50ul/100ul
配方:Supplied at 1.0mg/mL in phosphate buffered saline (without Mg2+ and Ca2+), pH 7.4, 150mM NaCl, 0.02% sodium azide and 50% glycerol.
应用详情:Predicted MW: 25kd
Western blotting: 1:500~1:1000
Immunohistochemistry: 1:50~1:100
Immunofluorescence: 1:100~1:200
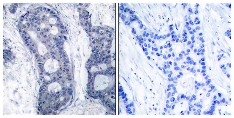
图片:

Western blot analysis of extracts from Hela, HepG2 and 293 cells using eIF4E(Ab-209) Antibody #21226.
,

Immunohistochemical analysis of paraffin-embedded human breast carcinoma tissue using eIF4E(Ab-209) Antibody #21226(left) or the same antibody preincubated with blocking peptide(right).
,

Immunofluorescence staining of methanol-fixed Hela cells using eIF4E(Ab-209) Antibody #21226.
风险提示:丁香通仅作为第三方平台,为商家信息发布提供平台空间。用户咨询产品时请注意保护个人信息及财产安全,合理判断,谨慎选购商品,商家和用户对交易行为负责。对于医疗器械类产品,请先查证核实企业经营资质和医疗器械产品注册证情况。
文献和实验Generation of Antibody Molecules Through Antibody Engineering
been overcome to a large extent using genetic-engineering techniques to produce chimeric mouse/human and completely human antibodies. Such an approach is particularly suitable because of the domain structure of the antibody molecule ( 2 ), where functional
Adv Sci:林戈/薛愿超合作阐明 eIF4E1B 在哺乳动物卵母细胞向胚胎转换过程中母源 mRNA 选择性翻译的作用机制
2023 年 2 月 8 日,中南大学/中信湘雅生殖与遗传医院林戈教授团队联合中科院生物物理所薛愿超实验室在 Advanced Science 杂志上在线发表了题为 Selective Translation of Maternal mRNA by eIF4E1B Controls Oocyte to Embryo Transition 的研究论文,首次报道了卵母细胞内特异的翻译起始因子 eIF4E1B 在哺乳动物卵母细胞向胚胎转换过程中的生理功能,同时也提出在卵母细胞中存在的特异翻译激活模型
The importance of antibody molecules was first recognized in the 1890s, when it was shown that immunity to tetanus and diphtheria was caused by antibodies against the bacterial exotoxins (1 ). Around the same time, it was shown that antisera
技术资料暂无技术资料 索取技术资料





![ATG9A Rabbit Polyclonal Antibody[54918]](https://img1.dxycdn.com/p/s14/2025/0922/498/0460884283108299691.jpg!wh200)
![PKC zeta (Phospho-Thr560) Conjugated Antibody[C14202]](https://img1.dxycdn.com/p/s14/2025/0922/632/2321321568067599691.jpg!wh200)
![Tubulin beta chain A Polyclonal Conjugated Antibody[C42360]](https://img1.dxycdn.com/p/s14/2025/0923/278/4431488150116040791.jpg!wh200)
