相关产品推荐更多 >
万千商家帮你免费找货
0 人在求购买到急需产品
- 详细信息
- 文献和实验
- 技术资料
- 库存:
充足
- 英文名:
Anti-DYKDDDDK (Flag) Affinity Gel (Secretory or Membrane Protein)
- 保质期:
一年
- 供应商:
翌圣生物科技(上海)股份有限公司
- 保存条件:
-25~-15℃保存
- 规格:
1mL/5mL/25mL/100 mL
| 规格: | 1mL | 产品价格: | ¥2018.0 |
|---|---|---|---|
| 规格: | 5mL | 产品价格: | ¥5818.0 |
| 规格: | 25mL | 产品价格: | ¥28818.0 |
| 规格: | 100 mL | 产品价格: | ¥92818.0 |
Anti-Flag亲和纯化凝胶(分泌蛋白或膜蛋白)由高质量的鼠源IgG2b单克隆抗体(克隆号:3F5)与4%高度交联的琼脂糖凝胶通过共价偶联制备,本产品具有较高的Flag标签融合蛋白加载容量(至少为1.1 mg 蛋白/mL凝胶),杂蛋白非特异结合少,可用于带有Flag标签的融合蛋白(分泌蛋白或膜蛋白)纯化和免疫沉淀(IP)。
Anti-Flag亲和纯化凝胶(分泌蛋白或膜蛋白)可结合Met修饰的N端Flag融合蛋白(Met-FLAG–Protein),N端Flag融合蛋白(FLAG–Protein),C端Flag融合蛋白(Protein-FLAG)。
翌圣Anti-Flag亲和纯化凝胶(分泌蛋白或膜蛋白)储存在保护液(TBS,50%甘油,pH7.4,含有0.02%(w/v)叠-氮钠)中,凝胶和保护液的比例为1:1,我司产品规格为实际凝胶的体积。
此外,我司还提供Anti-Flag亲和纯化凝胶(分泌蛋白)(Cat#20584ES,抗体克隆号:1A3), 尤其适用于带有Flag标签的分泌蛋白的纯化。
翌圣为您提供蛋白纯化实验整体解决方案,相关产品选购请参考:蛋白纯化系列产品-选购指南
产品信息
| 货号 | 20585ES03 / 20585ES08 / 20585ES25 / 20585ES60 |
| 规格 | 1 mL /5 mL /25 mL /100 mL |
注:为了方便客户使用1×Flag多肽洗脱,本产品包装搭配赠送1×Flag多肽(Cat#20572ES)。
基于1×Flag多肽(Cat#20572ES)不同规格分装,1 mL凝胶包装搭配5 mg多肽,其余凝胶规格均搭配为1 mL:1 mg比例的5 mg规格1×Flag多肽(Cat#20572ES)。
| 克隆号(Clone) | 3F5 |
| 亚型(Isotype) | Mouse IgG2b |
| 应用(Application) | 分泌蛋白或膜蛋白纯化, 免疫沉淀(IP) |
| 蛋白结合量(Protein) | ≥1.1 mg蛋白/mL凝胶 |
| 储存缓冲液(Buffer) | TBS,50%甘油,pH7.4,含有0.02%(w/v)叠-氮钠 |

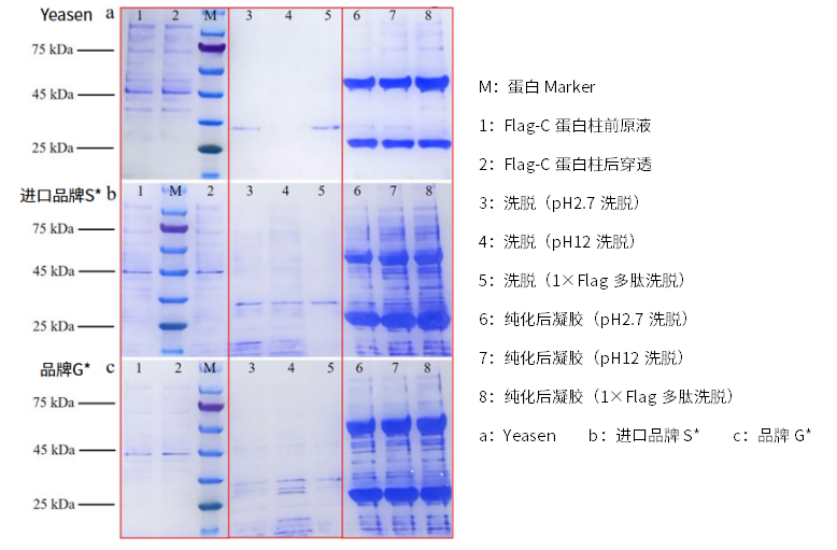
图1:Yeasen(a) PK进口品牌S*(b)、品牌G*(c)Anti-Flag凝胶纯化低表达量蛋白(比如膜蛋白)结果对比测试跑胶图
在目的蛋白表达量极低的条件下(比如膜蛋白), Yeasen Anti-Flag亲和纯化凝胶(分泌蛋白或膜蛋白)(Cat#20585ES)得到的目的蛋白得率、纯度明显优于竞品,且使用Yeasen搭配赠送的1×Flag多肽(Cat#20572ES)洗脱效果更佳。
-25~-15℃保存,有效期1年。禁止在不含甘油的溶液中冻存!
Q:假设蛋白要保持活性,用哪些物质洗脱?
A:可以使用非变性洗脱方式。
Q:该产品和Sigma 的比怎么样?
A:Yeasen 20585 蛋白结合量几乎是Sigma A2220 的 2 倍。

Q:用 flag 多肽进行洗脱,但是一直洗脱不下来?
A:介质的载量本身就不高,洗脱浓度有可能较低,有可能因浓度较低而看不到明显条带。建议下一步增加洗脱强度。
风险提示:丁香通仅作为第三方平台,为商家信息发布提供平台空间。用户咨询产品时请注意保护个人信息及财产安全,合理判断,谨慎选购商品,商家和用户对交易行为负责。对于医疗器械类产品,请先查证核实企业经营资质和医疗器械产品注册证情况。
文献和实验[1] Lin J, Jiang X, Dong M, et al. Hepatokine Pregnancy Zone Protein Governs the Diet-Induced Thermogenesis Through Activating Brown Adipose Tissue. Adv Sci (Weinh). 2021;8(21):e2101991. doi:10.1002/advs.202101991(IF:16.806)
[2] Han L, Zhang F, Liu Y, et al. Uterus globulin associated protein 1 (UGRP1) binds podoplanin (PDPN) to promote a novel inflammation pathway during Streptococcus pneumoniae infection. Clin Transl Med. 2022;12(6):e850. doi:10.1002/ctm2.850(IF:11.492)
[3] Chen X, Duan Y, Qiao F, et al. A secreted fungal effector suppresses rice immunity through host histone hypoacetylation [published online ahead of print, 2022 May 20]. New Phytol. 2022;10.1111/nph.18265. doi:10.1111/nph.18265(IF:10.152)
[4] Chen Y, Yang L, Lu Y, et al. Up-regulation of NMRK2 mediated by TFE3 fusions is the key for energy metabolism adaption of Xp11.2 translocation renal cell carcinoma. Cancer Lett. 2022;538:215689. doi:10.1016/j.canlet.2022.215689(IF:8.679)
[5] Chen X, Li X, Li P, et al. Comprehensive identification of lysine 2-hydroxyisobutyrylated proteins in Ustilaginoidea virens reveals the involvement of lysine 2-hydroxyisobutyrylation in fungal virulence. J Integr Plant Biol. 2021;63(2):409-425. doi:10.1111/jipb.13066(IF:7.061)
[6] Tang C, Zhou Y, Sun W, et al. Oncopeptide MBOP Encoded by LINC01234 Promotes Colorectal Cancer through MAPK Signaling Pathway. Cancers (Basel). 2022;14(9):2338. Published 2022 May 9. doi:10.3390/cancers14092338(IF:6.639)
[7] Zheng G, Jiang C, Li Y, et al. TMEM43-S358L mutation enhances NF-κB-TGFβ signal cascade in arrhythmogenic right ventricular dysplasia/cardiomyopathy. Protein Cell. 2019;10(2):104-119. doi:10.1007/s13238-018-0563-2(IF:6.228)
[8] Chen X, Tang J, Pei Z, et al. The 'pears and lemons' protein UvPal1 regulates development and virulence of Ustilaginoidea virens. Environ Microbiol. 2020;22(12):5414-5432. doi:10.1111/1462-2920.15284(IF:4.933)
大阪大学蛋白质研究所藤井勇树、高木淳一东北大学大学院医学系研究科金子美华、加藤幸成 前言在分析蛋白质的功能时最重要的是如何得到高纯度的蛋白。现今提纯蛋白最常用的方法是亲和标签系统。被统称为「Epitope Tag」的肽标签以及其单克隆抗体组成的系统有FLAG、HA、Myc等多种标签。但是,每个标签系统都有优缺点,并不存在完美的标签系统。于是,在克服了众多难关后我们终于开发出有超高亲和性的新型亲和标签系统“PA Tag System”1)。 PA tag的起源Epitope Tag
一、实验目的 1.了解绿色荧光蛋白和共聚焦扫描显微镜在细胞分子生物学中的应用 2.学会使用质膜蛋白的分析软件。 二、带GFP的质膜蛋白分选概述 1.质膜蛋白的跨膜信号 在粗面内质网上合成的蛋白质有两类:分泌蛋白和膜蛋白,分泌蛋白在内质网上合成之后通过多种信号切除后释放到内质网的腔中,进行下游途径的转运。膜蛋白较为复杂,它要靠疏水区滞留在内质网膜上。下面以酵母二价
无论是出于科研还是工业目的,成功的表达并且纯化所需的蛋白,都是进一步进行分析和研究的基础。在质上和量上有所不同,选择一个合适的纯化系统,来生产并纯化所需质和量的蛋白,值得慎重的考虑。一套合适的纯化系统,不仅可以节省时间和成本,更可以节省蛋白样品。 亲和层析法 将目的蛋白从其他细胞组分中纯化出来的方法多种多样。目前,最常用的方法之一是亲和层析法。 在其中,通常的方法是将目的蛋白与一段特殊的短肽或蛋白,也就是亲和标签所融合。这种亲和标签针对配体有特殊的亲和力。而配体可以是固定在层析基质上的其他蛋白
技术资料需要更多技术资料 索取更多技术资料











