万千商家帮你免费找货
0 人在求购买到急需产品
- 详细信息
- 文献和实验
- 技术资料
一、实验动物选择与预处理
-
动物种属与品系:
- 动物:雄性Sprague-Dawley(SD)大鼠(体重200-250g,2月龄),因其前列腺体积大、结构清晰,且对炎症反应敏感。
- 替代选择:Wistar大鼠或BALB/c小鼠(雄性,8-12周龄),但需调整注射剂量(小鼠前列腺体积较小)。
- 性别要求:雄性动物因其激素环境更易模拟人类前列腺疾病。
-
术前准备:
- 适应性饲养:实验前1周提供标准饲料(钙含量0.6%-1.0%)及自由饮水,维持12小时光暗周期以稳定代谢。
- 麻醉与备皮:
- 麻醉剂:3%戊ba比妥钠(1 mL/kg腹腔注射)或异氟烷吸入麻醉(诱导浓度5%,维持浓度1.5%-2%)。
- 备皮消毒:下腹部剃毛后碘伏消毒,铺无菌手术巾。
二、角叉菜胶溶液配制与注射方案
- 药物配制:
- 浓度:1%角叉菜胶生理盐水溶液(需无菌处理),溶解后4℃避光保存,现用现配。
- 剂量优化:
- 大鼠:单侧或双侧前列腺腹叶各注射50 μL(总剂量100 μL),此剂量可平衡炎症强度与动物存活率(死亡率<10%)。
- 小鼠:每侧前列腺注射20-30 μL(总剂量40-60 μL),需显微操作以避免损伤。
- 注射部位选择:
- 腹侧叶:最常用部位,炎症反应显著且操作简便。
- 背侧叶或侧叶:适用于特定研究(如深部纤维化模拟)。
三、手术操作步骤(以SD大鼠为例)
-
前列腺暴露:
- 切口定位:下腹部正中纵向切口(长度1.5-2 cm),钝性分离肌肉层暴露膀胱及前列腺。
- 前列腺定位:识别前列腺腹叶(Y型结构,表面光滑),避免误伤精囊或输精管。
-
精准注射:
- 注射器选择:26G胰岛素注射器或显微注射针(针头直径≤0.5 mm)。
- 操作要点:
-
针头斜向刺入前列腺腹叶实质,深度约2-3 mm;
-
缓慢推注50 μL角叉菜胶溶液(耗时10秒以上),避免压力过高导致溶液外渗;
-
拔针后无菌棉签按压1分钟止血。
-
术后处理:
- 缝合与消毒:逐层缝合腹壁肌肉与皮肤,碘伏二次消毒。
- 抗感染:术后连续3天肌注青霉素(4万U/kg)或庆大霉素(4,000 U/只)。
四、模型评价与验证指标
- 功能学检测(术后7-28天):
- 前列腺指数:前列腺湿重(mg)/体重(g)×100%,模型组≥0.4%(正常组约0.2%)。
- 前列腺液分析:
- 白细胞计数:模型组≥10^6/mL(正常<10^5/mL),磺基水杨酸法或血细胞计数仪检测。
- 卵磷脂小体密度:显著降低(正常密度≥+++,模型组≤+)。
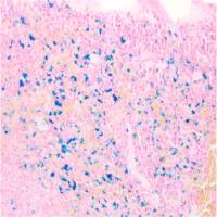
- 组织病理学:
- HE染色:
- 急性期(7天) :间质水肿、中性粒细胞浸润;
- 慢性期(14-28天) :腺体萎缩、纤维组织增生、胶原沉积。
- Masson染色:胶原纤维面积≥20%(ImageJ定量),纤维化评分≥3级(0-4级)。
- 分子机制分析:
- 炎症因子:ELISA检测血清/前列腺组织TNF-α、IL-6、IL-1β升高2-3倍。
- 信号通路:Western blot检测NF-κB、p-IκBα、COX-2及PI3K/Akt通路蛋白表达上调。
五、注意事项与优化策略
-
剂量控制:
- 过低剂量(≤20 μL) :炎症反应轻微,模型不稳定(成功率<50%)。
- 过高剂量(≥100 μL) :急性炎症过强,死亡率升高(>30%)。
-
操作优化:
- 注射深度:过浅导致药物扩散至周围组织,过深可能穿透前列腺。
- 术后监测:每日观察排尿行为(如尿量减少、尿滴沥),评估尿道梗阻风险。
-
模型延伸:
- 联合模型:角叉菜胶+高脂饮食诱导代谢综合征相关前列腺炎。
- 基因修饰:结合miRNA过表达/沉默(如miR-150)研究炎症调控机制。
六、应用场景与文献支持
-
药物筛选:
- 验证中药复方(如清前方、圆锥铁线莲醇提物)通过抑制NF-κB通路减轻炎症。
- 测试新型抗纤维化药物(如益肾液)对胶原沉积的改善作用。
-
机制研究:
- 解析p38 MAPK信号通路在炎症进展中的调控作用。
- 探究肠道菌群-前列腺轴对炎症微环境的影响。
总结
角叉菜胶诱导的非细菌性前列腺炎模型通过精准模拟无菌性炎症反应,成为研究慢性前列腺炎病理机制及药物疗效的核心工具。其核心优势在于操作标准化(成功率>80%)、病理特征明确(炎症浸润、纤维化)及分子机制可溯(NF-κB等通路激活)。未来可通过多模态成像技术(如微型CT动态监测纤维化)和类器官共培养系统(模拟前列腺-免疫细胞互作)进一步提升模型的转化医学价值。
风险提示:丁香通仅作为第三方平台,为商家信息发布提供平台空间。用户咨询产品时请注意保护个人信息及财产安全,合理判断,谨慎选购商品,商家和用户对交易行为负责。对于医疗器械类产品,请先查证核实企业经营资质和医疗器械产品注册证情况。
文献和实验肺纤维化模型简介: 博莱霉素是具有多种抗肿瘤作用的多组分复合抗生素,其毒副作用之一是引起肺纤维化。由于病理组织学改变与人类肺纤维化最为接近,故被广泛用于诱导肺纤维化模型。 气管内给药是最为常用的给药途径,方法是是BLM进入动物气管后立即通过直立旋转等手段,使药物均匀分布于肺组织,导致肺部病变发生PF。气管给药可以是一次性的,也可以是重复多次的。其中使药物进入动物气管内有三种方法:1.直接支气管插管,然后滴入BLM。2.麻醉动物动物,手术剖开颈部
、Kupffer 细胞等多种因素相关。目前临床上的药物普遍存在毒副作用较大、价格昂贵等问题,而被证实的有效且无副作用治疗方法仅有适当的渐进性减肥运动这一项。 因此探索新型无毒副作用药物对其 NASH 临床治疗具有重要意义,而可靠的动物模型对探索 NASH 的发病机制及防治发挥着关键性作用。 目前国内外的NASH模型主要包括3类: ① 营养失调性脂肪肝动物模型,它包括了高脂饮食脂肪肝动物模型、高糖饮食脂肪肝动物模型和蛋氨酸胆碱缺乏(MCD)脂肪肝动物模型。 ② 复合因素诱导的 NASH 模型,主要是以高脂
非酒精性脂肪肝(NAFLD)包含了一系列的疾病发展阶段,从一般脂肪变性进展到脂肪变性与炎症并发的非酒精性脂肪肝炎(NASH),随后进展为肝纤维化、肝硬化和肝癌。大多数肥胖的成年人有脂肪肝型态,他们的患病率达到 30% 以上,因此,NAFLD 的患病率会随着肥胖率的升高而升高。 为研究 NAFLD 的发病机制并找出治疗方法,建立动物模型是至关重要的一步。科研人员大多利用高脂饲料诱导大鼠建立 NAFLD 模型,但近几年建立的 NAFLD 动物模型所采用的高脂饲料配方、建模周期均不一致,在研
技术资料暂无技术资料 索取技术资料









