相关产品推荐更多 >
万千商家帮你免费找货
0 人在求购买到急需产品
- 详细信息
- 技术资料
- 英文名:
12Z
- 库存:
999
- 供应商:
厦门逸漠生物科技有限公司
- 肿瘤类型:
详询
- 细胞类型:
详询
- 品系:
详询
- 组织来源:
子宫
- 相关疾病:
详询
- 物种来源:
人源
- 免疫类型:
详询
- 细胞形态:
上皮细胞样
- 是否是肿瘤细胞:
详询
- 器官来源:
人源
- 运输方式:
常温T25瓶运输或冻存发货
- 年限:
长期
- 生长状态:
贴壁生长
- 规格:
1x106cells/T25或1mL冻存管
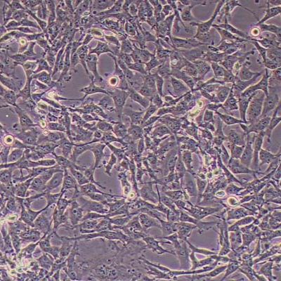
12Z人子宫内膜异位细胞产品基本信息
细胞名称:12Z , 人子宫内膜异位细胞
种属来源:人
组织来源:子宫
细胞形态:上皮细胞样
生长特性:贴壁生长
培养基:DMEM/F-12+10%FBS+PS
生长条件:气相:95%空气+5%二氧化碳;温度:37℃
传代方法:1:2至1:3,每周 2-3次
冻存条件:无血清冻存液,液氮储存
支原体检测:无
12Z人子宫内膜异位细胞培养操作
12Z人子宫内膜异位细胞复苏步骤
将含有1 mL细胞悬液的冻存管在 37℃水浴中迅速摇晃解冻,加4 mL培养基混合均匀。在1000 rpm条件下离心3 min,弃去上清液,加1-2 mL培养基后吹匀。然后将所有细胞悬液加入含适量培养基的培养瓶中培养过夜(或将细胞悬液加入6 cm皿中,加入约4 mL完全培养基,培养过夜)。第三天换液并检查细胞密度。
12Z人子宫内膜异位细胞传代步骤
如果细胞密度达80%-90%,即可进行传代培养。
a、弃去培养上清,用不含钙、镁离子的PBS润洗细胞1-2次。
b、加入0.25%Trypsin-0.02% EDTA消化液于培养瓶中(T25瓶1-2ml,T75瓶2-3ml),使消化液浸润所有细胞,将培养瓶置于37℃培养箱中消化3-5min(难消化的细胞可以适当延长消化时间),然后在显微镜下观察细胞消化情况,若细胞大部分变圆并脱落,迅速拿回操作台,轻敲几下培养瓶后加3-4ml完全培养基终止消化。轻轻打匀后装入无菌离心管中,1000 rpm离心5 min,弃去上清液,补加1-2 mL培养液后吹匀。
c、将细胞悬液按1:2比例分到新的含6-8 mL培养基的新皿中或者瓶中,置于培养箱中培养。
12Z人子宫内膜异位细胞冻存步骤
待12Z细胞生长状态良好时,可进行细胞冻存。下面 T25 瓶为例;
a、收集细胞及细胞培养液,装入无菌离心管中,1000 rpm条件下离心4 min,弃去上清液,用PBS清洗一遍,弃尽PBS,进行细胞计数。
b、根据细胞数量加入无血清细胞冻存液,使细胞密度5×106~1×107/mL,轻轻混匀,每支冻存管冻存1mL细胞悬液,注意冻存管做好标识。
c、将冻存管放入-80℃冰箱,24 h后转入液氮灌储存。记录冻存管位置以便下次拿取。
12Z人子宫内膜异位细胞培养注意事项
1. 收到12Z细胞后首先观察细胞瓶是否完好,培养液是否有漏液、浑浊等现象,干冰运输的细胞检查干冰是否完全挥发,细胞是否解冻,若有上述现象发生请及时和我们联系。
2. 仔细阅读细胞说明书,了解12Z细胞相关信息,如细胞形态、所用培养基、血清比例、所需细胞因子等,确保细胞培养条件一致,若由于培养条件不一致而导致细胞出现问题,责任由客户自行承担。
3. 用75%酒精擦拭细胞瓶表面,显微镜下观察细胞状态。因运输问题,部分细胞由于温度变化及剧烈碰撞死亡破碎形成碎片,是正常现象。.观察好细胞状态后,75%酒精消毒瓶壁将T25瓶置于37℃培养箱放置2-4h。
4. 请客户用相同条件的培养基用于细胞培养。
5. 建议客户收到细胞后前3天各拍几张细胞照片,记录细胞状态,便于和我司技术部沟通交流。由于运输的原因,个别敏感细胞会出现不稳定的情况,请及时和我们联系,告知细胞的具体情况,以便我们的技术人员跟踪回访直至问题解决。
6.该12Z细胞仅供科研使用。
7. 说备注:运输用的培养基(灌液培养基)不能再用来培养细胞,请换用按照明书细胞培养条件新配制的完全培养基来培养细胞。 收到细胞后第一次传代建议1:2传代 。
8. 注意: 1:2传代就是1个T25瓶传2个T25瓶或者2个6cm皿。不是1个T25瓶传2个10cm皿。




风险提示:丁香通仅作为第三方平台,为商家信息发布提供平台空间。用户咨询产品时请注意保护个人信息及财产安全,合理判断,谨慎选购商品,商家和用户对交易行为负责。对于医疗器械类产品,请先查证核实企业经营资质和医疗器械产品注册证情况。










