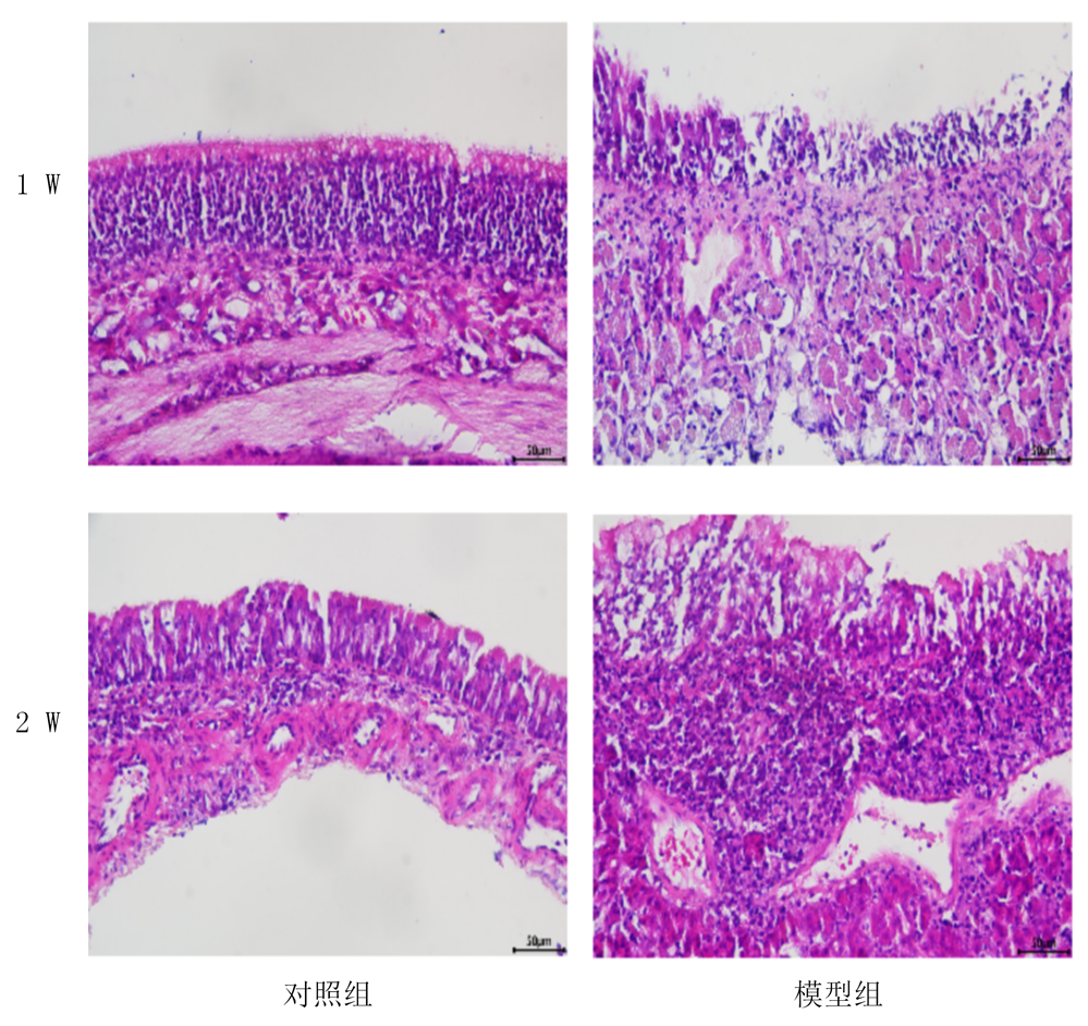
通过向大鼠鼻窦腔注射金葡菌造成非鼻源性感染鼻窦炎,采用外科手术干预建立的大鼠鼻窦炎模型成功率高,造模周期短。
材料和方法:
SD大鼠(雌雄不限,200 g左右)
造模方法:将明胶海绵塞入钻好的上颌窦内,滴入一定浓度的金葡菌,一段时间后成功制备细菌性鼻窦炎模型。
评价指标:HE染色
验证:
鼻窦组织HE染色

武汉贝赛模式生物科技有限公司
鼻窦炎模型构建
商家面议
鼻窦组织HE染色

风险提示:丁香通仅作为第三方平台,为商家信息发布提供平台空间。用户咨询产品时请注意保护个人信息及财产安全,合理判断,谨慎选购商品,商家和用户对交易行为负责。对于医疗器械类产品,请先查证核实企业经营资质和医疗器械产品注册证情况。
文献和实验鼻窦粘膜因细菌感染引起的炎症。鼻窦为分布在鼻腔周围的面颅骨含气空腔,被覆粘膜与鼻腔相通,计有额、上颌、筛和蝶 4个窦。炎症可发生在一侧或双侧,侵及一个窦或多个窦。其中最常见的为上颌窦炎。鼻窦炎的致病菌为链球菌、葡萄球菌等,多继发于急性鼻炎。鼻窦炎有急、慢性之分。急性期症状为鼻堵、鼻腔分泌物增多,呈粘液或脓性,局部疼痛及头痛;慢性期则主要是流脓性鼻涕及头痛。一般根据上述症状,结合鼻镜检查和必要的穿刺冲洗、 X线等检查多可作出诊断。治疗上除全身应用抗生素外,鼻腔滴药,改善通气
大鼠麻醉后,背部脱毛,于 T9-T11 胸椎区域消毒,划约 2-3cm 纵行切口,咬除椎板,暴露硬脊膜,将大鼠固定于多功能鼠固定台,应用脊髓打击器撞击骨髓(打击高度 12mm,重量 10g)大鼠出现尾部痉挛性摆动,表明造模成功。造模后,对各组大鼠进行脊髓损伤的行为学评分,利用斜板实验评测动物脊髓损伤后神经功能恢复情况,分析在脊髓损伤不同时期的变化规律。
的毒副作用,如别嘌呤醇会导致体内脂质过氧化损伤,对肾脏、肝脏及皮肤黏膜都有较大的损害。因此,对高尿酸血症治疗新靶点和新药物的研究获得了广泛的关注,而建立稳定持续的高尿酸血症模型则是研究的重要前提。 图 1. 尿酸代谢途径[1] 尿酸是大多数动物体内嘌呤代谢的终产物,由黄嘌呤氧化酶(xanthine oxidase,XOD)将次黄嘌呤(hypoxanthine,HX)、黄嘌呤(xanthine)等尿酸前体物质氧化而成。人体内 80% 的尿酸是由体内氨基酸等其他小分子化合物合成尿酸或分解代谢而来;20
技术资料暂无技术资料 索取技术资料
