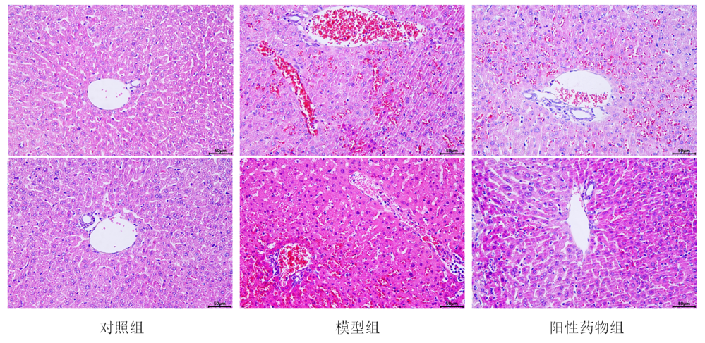
伴刀豆球蛋白A (Con A)诱导的肝损伤模型与自身免疫性肝病、病毒性肝炎引起的肝损伤较为接近,其病理改变与肝细胞损伤机制均与病毒性肝炎类似,因而被认为是研究人类病毒性肝炎和自身免疫性肝炎等疾病的合适模型。ConA可引起T细胞的活化和增殖,诱导Th1细胞因子,IL-2,TNF-a、IFN-y表达增高,高水平的促炎因子将导致肝内炎症、干细胞凋亡,从而产生甚至急性肝功能衰竭,肝功能指标(AST、ALP等)出现异常。
材料和方法:
Balb/c 小鼠(雄性,6-8周龄)
造模方法:尾静脉注射刀豆蛋白A(ConA)建立小鼠自身免疫性肝炎模型。
阳性药物:泼尼松龙
评价指标:HE染色、TUNEL染色、血清生化检测
验证:
肝组织HE染色

肝组织TUNEL染色

血清生化检测












