万千商家帮你免费找货
0 人在求购买到急需产品
- 详细信息
- 文献和实验
- 技术资料
- 提供商:
武汉贝赛模式生物科技有限公司
- 服务名称:
肺静脉闭塞模型构建
- 规格:
商家面议
本司通过丝裂霉素腹腔注射诱导肺静脉闭塞模型
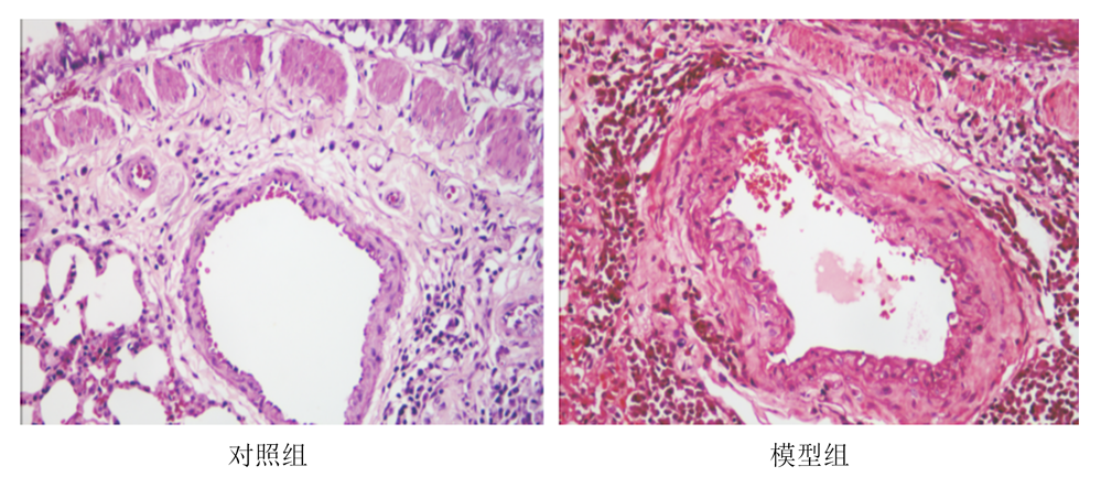
背景:
肺静脉闭塞症(PVOD)是一种可引 |起肺动脉高压的临床病理综合征,其特点为肺小静脉进行性闭塞,导致肺血管阻力增加、右心功能衰竭。
肺静脉闭塞被认为是引起肺动脉高压的原因之一,是以肺小叶间隔、小叶间隔前毛细血管后静脉增生导致小静脉及微小静脉狭窄甚至阻塞,
其病理以肺组织广泛被纤维组织弥漫填塞为主要特征。
材料和方法:
SD大鼠(雌性,220g)
造模方法:隔- -周腹腔注射2次丝裂霉素,6周后模型成功。
评价指标:肺动脉压力检测、右心肥厚指数、HE染色、弹力纤维地衣红染色
验证:
右心肥厚指数及肺动脉压力检测

肺组织HE染色

肺组织弹力纤维地衣红染色

风险提示:丁香通仅作为第三方平台,为商家信息发布提供平台空间。用户咨询产品时请注意保护个人信息及财产安全,合理判断,谨慎选购商品,商家和用户对交易行为负责。对于医疗器械类产品,请先查证核实企业经营资质和医疗器械产品注册证情况。
文献和实验大鼠麻醉后,背部脱毛,于 T9-T11 胸椎区域消毒,划约 2-3cm 纵行切口,咬除椎板,暴露硬脊膜,将大鼠固定于多功能鼠固定台,应用脊髓打击器撞击骨髓(打击高度 12mm,重量 10g)大鼠出现尾部痉挛性摆动,表明造模成功。造模后,对各组大鼠进行脊髓损伤的行为学评分,利用斜板实验评测动物脊髓损伤后神经功能恢复情况,分析在脊髓损伤不同时期的变化规律。
的毒副作用,如别嘌呤醇会导致体内脂质过氧化损伤,对肾脏、肝脏及皮肤黏膜都有较大的损害。因此,对高尿酸血症治疗新靶点和新药物的研究获得了广泛的关注,而建立稳定持续的高尿酸血症模型则是研究的重要前提。 图 1. 尿酸代谢途径[1] 尿酸是大多数动物体内嘌呤代谢的终产物,由黄嘌呤氧化酶(xanthine oxidase,XOD)将次黄嘌呤(hypoxanthine,HX)、黄嘌呤(xanthine)等尿酸前体物质氧化而成。人体内 80% 的尿酸是由体内氨基酸等其他小分子化合物合成尿酸或分解代谢而来;20
兔颈总动脉球囊损伤术后狭窄模型,可模拟经皮腔内冠状动脉血管成形术(PTCA)术后再狭窄的发生发展。高脂饲料加球囊损伤术:目前广泛应用于腹、髂主动脉粥样硬化及颈动脉狭窄模型的建立, 球囊损伤程度的大小成为影响造模成功的关键之一。 切开颈部,分离组织颈动脉血管,颈动脉插入球囊,球囊内注入空气,球囊扩张来回抽动3次,动物模型的成熟完善建立为展开动脉粥硬化、干细胞研究、转基因技术、内皮功能等多方面的研究提供了一个切实可行的方法。最后缝合皮肤,压力泵压力能够维持,表示造模成功,术后可以通过HE验证检测。
技术资料暂无技术资料 索取技术资料










