万千商家帮你免费找货
0 人在求购买到急需产品
- 详细信息
- 技术资料
(一)目的:
建立实验室动物建模的标准操作规程。
(二)适用范围:本SOP适应于科沿有道实验室动物实验所有工作人员。
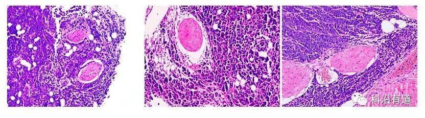
(三)主体内容:外周神经浸润(PNI)是复杂的病理过程,涉及肿瘤细胞、神经纤维及肿瘤基质,缺乏理想疾病模型限制了PNI的研究。较早期体外研究利用Boyden小室铺Matrigel胶模拟基底膜,寻找和验证与肿瘤侵袭或转移相关神经营养因子,但这种方法未能直接说明肿瘤细胞浸润神经。坐骨神经浸润模型即将肿瘤细胞接种于坐骨神经鞘内,模拟神经微环境,观察肿瘤细胞在神经内的生长特性及其对坐骨神经的浸润情况。Mashour等首次建立坐骨神经浸润模型,用于评估溶瘤病毒对神经转移瘤的治疗效果。此模型通过评估动物坐骨神经的功能间接评估肿瘤PNI情况,为实验过程中PNI程度提供了一个可观察指标。
坐骨神经浸润模型可通过观察坐骨神经功能间接评估PNI,但此时肿瘤已经显著长大、浸润坐骨神经,而PNI的发生早期可能只涉及少量肿瘤细胞,在明显成瘤前已经开始。由于坐骨神经较为表浅,走形固定,较多研究者通过B超、MRI等影像检查手段评估肿瘤与神经的关系,即神经变粗、周围有组织增生等。但影像学改变是肿瘤沿神经转移间接证据,并不能直接说明是肿瘤细胞侵犯神经,最终仍需将动物处死后进行病理学检验证实。
1.实验动物:品系:Balb/C-nude小鼠;
性别:不限;
周龄:6-8周;
体重:18-20g。
2. 操作流程:1)动物适应性饲养7天;
2)麻醉机麻醉裸鼠,75%酒精消毒皮肤,暴露左侧坐骨神经深达股二头肌。应用显微注射法将MiaPaCa2细胞注入坐骨神经的神经束膜,远端直达胫神经和腓总神经分叉处。细胞浓度为1×10^5/μL,应用注射器2min内缓慢注入10μL癌细胞悬液,建立坐骨神经浸润模型。

1)6周后,摘取移植瘤,拍摄大体照片;

2)福尔马林固定,石蜡包埋,进行HE染色。

风险提示:丁香通仅作为第三方平台,为商家信息发布提供平台空间。用户咨询产品时请注意保护个人信息及财产安全,合理判断,谨慎选购商品,商家和用户对交易行为负责。对于医疗器械类产品,请先查证核实企业经营资质和医疗器械产品注册证情况。
技术资料暂无技术资料 索取技术资料










