相关产品推荐更多 >

HJURP抗体HJURP兔多抗抗体Up-regulated in lung cancer 9 antibody抗体HJURP Antibody, FITC conjugated抗体
¥880
OLIG1抗体OLIG1兔多抗抗体Oligodendrocyte transcription factor 1 antibody抗体OLIG1 Antibody, HRP conjugated抗体
¥880
ATL3抗体ATL3一抗抗体Atlastin-3抗体ATL3 Antibody抗体
¥3900
SULT2B1抗体SULT2B1一抗抗体SULT2B1b antibody抗体SULT2B1 Antibody抗体
¥1100
PRKCG抗体PRKCG兔多抗抗体/抗体PRKCG Antibody抗体
¥2024
万千商家帮你免费找货
0 人在求购买到急需产品
- 详细信息
- 文献和实验
- 技术资料
- 供应商:
武汉华美生物工程有限公司
- 库存:
200
- 靶点:
CTNNB1
- 级别:
优
- 目录编号:
P35222
- 克隆性:
单克隆
- 抗原来源:
Homo sapiens (Human)
- 保质期:
12个月
- 抗体英文名:
Mouse anti-Homo sapiens (Human) CTNNB1 Monoclonal antibody
- 抗体名:
CTNNB1鼠单克隆抗体
- 标记物:
Non-conjugated
- 宿主:
Mouse
- 适应物种:
Human
- 免疫原:
Synthesized peptide derived from human Beta-catenin
- 亚型:
IgG2b, Kappa
- 形态:
Liquid
- 应用范围:
ELISA, IHC
- 保存条件:
Upon receipt, store at -20°C or -80°C. Avoid repeated freeze.
- 浓度:
It differs from different batches. Please contact us to confirm it.
- 规格:
50ul/100ul
| 规格: | 50ul | 产品价格: | ¥1320.0 |
|---|---|---|---|
| 规格: | 100ul | 产品价格: | ¥1980.0 |
CTNNB1 Monoclonal Antibody
-
中文名称:CTNNB1鼠单克隆抗体
-
货号:CSB-MA907551
-
规格:
- 50μl
- 100μl
- ¥1980
-
图片:
-
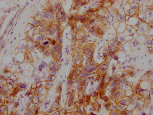
IHC image of CSB-MA907551 diluted at 1:100 and staining in paraffin-embedded human breast cancer performed on a Leica BondTM system. After dewaxing and hydration, antigen retrieval was mediated by high pressure in a citrate buffer (pH 6.0). Section was blocked with 10% normal goat serum 30min at RT. Then primary antibody (1% BSA) was incubated at 4°C overnight. The primary is detected by a Goat anti-mouse IgG polymer labeled by HRP and visualized using 0.05% DAB. -
IHC image of CSB-MA907551 diluted at 1:100 and staining in paraffin-embedded human liver cancer performed on a Leica BondTM system. After dewaxing and hydration, antigen retrieval was mediated by high pressure in a citrate buffer (pH 6.0). Section was blocked with 10% normal goat serum 30min at RT. Then primary antibody (1% BSA) was incubated at 4°C overnight. The primary is detected by a Goat anti-mouse IgG polymer labeled by HRP and visualized using 0.05% DAB
-
产品详情
-
产品名称:Mouse anti-Homo sapiens (Human) CTNNB1 Monoclonal antibody
-
Uniprot No.:P35222
-
基因名:CTNNB1
-
别名:b-catenin antibody; Beta catenin antibody; Beta-catenin antibody; Cadherin associated protein antibody; Catenin (cadherin associated protein); beta 1; 88kDa antibody; Catenin beta 1 antibody; Catenin beta-1 antibody; CATNB antibody; CHBCAT antibody; CTNB1_HUMAN antibody; CTNNB antibody; CTNNB1 antibody; DKFZp686D02253 antibody; FLJ25606 antibody; FLJ37923 antibody; OTTHUMP00000162082 antibody; OTTHUMP00000165222 antibody; OTTHUMP00000165223 antibody; OTTHUMP00000209288 antibody; OTTHUMP00000209289 antibody
-
宿主:Mouse
-
反应种属:Human
-
免疫原:Synthesized peptide derived from human Beta-catenin
-
免疫原种属:Homo sapiens (Human)
-
标记方式:Non-conjugated
-
克隆类型:Monoclonal
-
抗体亚型:IgG2b, Kappa
-
纯化方式:The antibody was affinity-purified from mouse ascites by affinity-chromatography using specific immunogen.
-
浓度:It differs from different batches. Please contact us to confirm it.
-
保存缓冲液:Liquid in PBS containing 50% glycerol, 0.5% BSA and 0.02% sodium azide.
-
产品提供形式:Liquid
-
应用范围:ELISA, IHC
-
推荐稀释比:
Application Recommended Dilution IHC 1:20-1:200 -
Protocols:ELISA Protocol
Immunohistochemistry (IHC) Protocol -
储存条件:Upon receipt, store at -20°C or -80°C. Avoid repeated freeze.
-
货期:Basically, we can dispatch the products out in 1-3 working days after receiving your orders. Delivery time maybe differs from different purchasing way or location, please kindly consult your local distributors for specific delivery time.
产品评价

相关产品
靶点详情
-
功能:Key downstream component of the canonical Wnt signaling pathway. In the ab_sence of Wnt, forms a complex with AXIN1, AXIN2, APC, CSNK1A1 and GSK3B that promotes phosphorylation on N-terminal Ser and Thr residues and ubiquitination of CTNNB1 via BTRC and its sub_sequent degradation by the proteasome. In the presence of Wnt ligand, CTNNB1 is not ubiquitinated and accumulates in the nucleus, where it acts as a coactivator for transcription factors of the TCF/LEF family, leading to activate Wnt responsive genes. Involved in the regulation of cell adhesion, as component of an E-cadherin:...显示更多
-
基因功能参考文献:
- CXC chemokine ligand 9 promotes the progression of diffuse large B-cell lymphoma in a beta-catenin-dependent manner. PMID: 30130730
- Results suggest that epigenetic regulation of CTNNB1 may serve as a novel avenue to block colon cancer cell migration and invasion. PMID: 29923144
- The results demonstrated that 2HF could inhibit EMT, and cell migration and invasion through the Wnt/bcatenin signaling pathway by suppressing GSK3b phosphorylation, betacatenin expression and transactivation. PMID: 30226607
- Collectively, these studies suggested the cellular transcription factor beta-catenin stimulates productive herpes simplex virus 1infection, in part because VP16 enhances beta-catenin dependent transcription. PMID: 30077727
- CTNNB1 mutations may be more related to tumorigenesis ( aldosterone-producing adenoma) rather than excessive aldosterone production PMID: 28102204
- CTNNB1 mutations were found in 60% of Basal cell adenoma but not in basal cell adenocarcinoma. None of the tested cases had PIK3CA mutations. CTNNB1 mutation trended to be more common in those cases having a predominant tubular or tubulotrabecular patterns. PMID: 29224720
- Data reveal that post-translational modifications of beta-catenin in the ubiquitin-proteasome pathway yield a truncated beta-catenin molecule containing a serine 552-phosphorylated core region without N and C termini. This proteolytic processing of beta-catenin is required for binding with TCF4 and sub_sequent transcriptional activation. PMID: 29330435
- Results identify CTNNB1 as a Girdin-interacting protein. Girdin-depleted skin cancer cells displayed scattering and impaired E-cadherin-specific cell-cell adhesion. PMID: 30194792
- the dysregulation of TET2/E-cadherin/beta-catenin regulatory loop is a critical oncogenic event in HCC progression PMID: 29331390
- High CTNNB1 expression is associated with bladder cancer progression. PMID: 30015971
- It has been found that miR-27a-3p modulated the Wnt/beta-catenin signaling pathway to promote epithelial-mesenchymal transition in oral squamous carcinoma stem cells by down-regulating SFRP1. PMID: 28425477
- Beta-catenin pathway is activated by CBX8 in in hepatocellular carcinoma. PMID: 29066512
- our data provide a novel evidence for the biological and clinical significance of SPAG5 as a potential biomarker, and we demonstrate that SPAG5-b-catenin-SCARA5 might be a novel pathway involved in hepatocellular carcinoma progression. PMID: 30249289
- Results show that hypoxia enhanced nuclear accumulation and transcriptional activity of beta-catenin which promotes expression of EMT-related genes and eventually contributes to the metastatic process in lung cancer cells. PMID: 30396950
- This study demonstrates that FOXC1 induces cancer stem cells (CSCs)-like properties in non-small cell lung cancer (NSCLC) by promoting beta-catenin expression. The findings indicate that FOXC1 is a potential molecular target for anti-CSC-based therapies in NSCLC PMID: 30189871
- High TBL1XR1 expression indicates poor disease-free survival of stage I-III colorectal cancer patients; beta-catenin signaling is critical for TBL1XR1-mediated colorectal cancer cells oncogenicity. PMID: 28295012
- Taking together, these results suggest that Wnt/beta-catenin signal pathway activation-dependent up-regulation of syncytin-1 contributes to the pro-inflammatory factor TNF-alpha-enhanced fusion between oral squamous cell carcinoma cells and endothelial cells. PMID: 28112190
- The disassociation of the beta-catenin/E-cadherin complex in the osteoblast membrane under stretch loading and the sub_sequent translocation of beta-catenin into the nucleus may be an intrinsic mechanical signal transduction mechanism. PMID: 29901167
- Aberrant CTNNB1 expression was seen in a substantial proportion of our hepatocellular carcinoma (HCC) cases. CTNNB1-positive HCC was associated with normal AFP levels, unicentric tumors, well-differentiated histology, and an unfavorable outcome. PMID: 30082549
- Long noncoding RNA AFAP1-AS1 enhances cell proliferation and invasion in osteosarcoma through regulating miR-4695-5p/TCF4-beta-catenin signaling. PMID: 29901121
- High CTNNB1 expression is associated with the recurrece of Adamantinomatous Craniopharyngiomas. PMID: 29625497
- High CTNNB1 expression is associated with uterine fibroids. PMID: 29066531
- The nucleus and/or cytoplasm expression of beta-catenin was associated with tumor progression and correlated overall survival of patients with ovarian cancer (OC). beta-catenin may be a possible potential prognostic biomarker for the patients with OC. [review] PMID: 30103006
- In the two wild type (WT) cases, two novel alterations were detected: a complex deletion of APC and a pathogenic mutation of LAMTOR2. Focusing on WT DT subtype, deep sequencing of CTNNB1, APC and LAMTOR2 was conducted on a retrospective series of 11 WT DT using a targeted approach PMID: 29901254
- DLX1 interacted with beta-catenin and enhanced the interaction between beta-catenin and TCF4 T-cell factor PMID: 29317218
- Nuclear beta-catenin immunoreactivity with appropriate criteria may be helpful to distinguish basal cell adenocarcinoma (BCAC) from histologically similar tumors. However, a minor sub_set of adenoid cystic carcinoma (ACC) with nuclear beta-catenin expression require careful diagnosis. PMID: 29496310
- High CTNNB1 expression is associated with metastasis in cholangiocarcinoma. PMID: 30193944
- beta;-catenin directly interacts with the Cx43 carboxyl-terminal domain. PMID: 29882937
- This study showed that beta-catenin expression was the most evident in the nucleus rather than in cytoplasm. PMID: 29297710
- Nuclear beta-catenin accumulation in non-mitotic glioblastoma cells is due to a feed forward mechanism between DOCK4 and beta-catenin. PMID: 28925399
- Study found that HIF1alpha overexpression led to an enhanced betacatenin nuclear translocation, while betacatenin silencing inhibited betacatenin nuclear translocation. The enhanced betacatenin nuclear translocation induced resulted in an enhanced cell proliferation and cell invasion, an altered cell cycle distribution, decreased apoptosis, and improved nonhomologous end joining repair under normal and irradiation cond... PMID: 29658569
- our results demonstrated that miR-188 inhibits glioma cell proliferation by targeting beta-catenin PMID: 29268818
- Marked upregulation of beta-catenin and its downstream targets effectively enhanced hepatosphere formation, with an associated induction of CD133, OCT4 and Sox2 expression and also caused an significant enhancement of HCC proliferation PMID: 29792038
- Wnt/beta-catenin signaling pathway may play a significant role in the pathogenesis of preeclampsia by regulating the invasion and proliferation of trophoblast. PMID: 29603045
- Associations between environmental variants together with single nucleotide polymorphisms (SNPs) of beta-catenin (ctnnb1) and lung cancer risk were analyzed using a logistic regression model. PMID: 29562493
- that CTNNB1 is overexpressed and confers a poor prognosis in acute myeloid leukemia PMID: 29496308
- High CTNNB1 expression is associated with cisplatin-resistance in non-small cell lung cancer. PMID: 30009824
- beta-catenin immunopositivity is seen in majority of cases of sinonasal sarcoma PMID: 29566950
- For the first time, we demonstrated that rather than excluding lymphocytes infiltration as reported in mela-noma, high levels of TILs were associated with beta-catenin overexpression in BC. PMID: 29286921
- Study shows that apigenin-induced lysosomal degradation of beta-catenin in Wnt/beta-catenin signaling. PMID: 28337019
- Used CRISPR-Cas9 technology to study effect of knockout of catenin beta 1 (CTNNB1) on cell behavior and signal pathways in HEK293 cells. Results showed knockout of CTNNB1 effected Wnt/beta-catenin signaling pathway and suppressed adhesion and proliferation of HEK 293T cells. PMID: 29249062
- our results also revealed that lncRNA SNHG20 knockdown inhibited Wnt/b catenin signaling activity by suppressing beta-catenin expression and reversing the downstream target gene expression. Taken together, lncRNA SNHG20 plays an pivotal role in ovarian cancer progression by regulating Wnt/b-catenin signaling PMID: 29101241
- Wnt3A regulates the expression of 1,136 genes, of which 662 are upregulated and 474 are downregulated in CCD-18Co cells. A set of genes encoding inhibitors of the Wnt/beta-catenin pathway stand out among those induced by Wnt3A, which suggests that there is a feedback inhibitory mechanism. PMID: 29044515
- The aim of our study was to analyze the immunohistochemical expression of beta-catenin, E-cadherin and Snail, depending on clinico-morphological aspects of the laryngeal squamous cell carcinomas. Results revealed variable E-cadherin, beta-catenin and Snail expression, depending on differentiation degree and tumor stage. PMID: 29250652
- In this study we showed that the activation of Wnt/beta-catenin pathway culminates in the upregulation of MGAT1 enzyme both at transcriptional and post-transcriptional levels. We also showed that overexpression of the beta-catenin gene (CTNNB1) increased the promoter activity of MGAT1. PMID: 29310626
- CTNNB1 mutation is associated with acquired resistance to KIT inhibitor in metastatic melanoma. PMID: 28421416
- three CTNNB1 SNPs were suggested to have the potential to be novel biomarkers for risk prediction of cancer in overall population or some specific subgroups. [Review] PMID: 28963373
- A CTNNB1 exon 3 mutation restricted to the areas exhibiting both positive glutamine synthetase (GS) and C-reactive protein (CRP) expression, whereas wild-type CTNNB1 was found in areas showing only CRP staining. These two cases illustrate focal beta-catenin activation that can occur within Inflammatory hepatocellular adenoma (IHCAs). PMID: 28618047
- Results show that E-cadherin/beta-catenin complex is disrupted by ICAT promoting epithelial-mesenchymal transition of cervical cancer cells. PMID: 29048651
- Toosendanin administration inhibited growth and liver metastasis of orthotopically implanted SGC7901 tumors in vivo through miR200amediated beta-catenin pathway. Our data suggest that Toosendanin may suppress oncogenic phenotypes of human GC cells partly via miR200a/beta-catenin axis. Hence, Toosendanin may have a promising chemotherapeutic activity for GC therapy. PMID: 29048657
-
相关疾病:Colorectal cancer (CRC); Pilomatrixoma (PTR); Medulloblastoma (MDB); Ovarian cancer (OC); Mesothelioma, malignant (MESOM); Mental retardation, autosomal dominant 19 (MRD19); Vitreoretinopathy, exudative 7 (EVR7)
-
亚细胞定位:Cytoplasm. Nucleus. Cytoplasm, cytoskeleton. Cell junction, adherens junction. Cell junction. Cell membrane. Cytoplasm, cytoskeleton, microtubule organizing center, centrosome. Cytoplasm, cytoskeleton, spindle pole. Cell junction, synapse. Cytoplasm, cytoskeleton, cilium basal body.
-
蛋白家族:Beta-catenin family
-
组织特异性:Expressed in several hair follicle cell types: basal and peripheral matrix cells, and cells of the outer and inner root sheaths. Expressed in colon. Present in cortical neurons (at protein level). Expressed in breast cancer tissues (at protein level).
-
数据库链接:
HGNC: 2514
OMIM: 114500
KEGG: hsa:1499
STRING: 9606.ENSP00000344456
UniGene: Hs.476018
风险提示:丁香通仅作为第三方平台,为商家信息发布提供平台空间。用户咨询产品时请注意保护个人信息及财产安全,合理判断,谨慎选购商品,商家和用户对交易行为负责。对于医疗器械类产品,请先查证核实企业经营资质和医疗器械产品注册证情况。
文献和实验-1Ra 后,关节穿刺液中 IL-1Ra 浓度随时间的变化。 疼痛和功能改善:患者报告的疼痛和功能评分在研究期间有所改善。低剂量组患者的疼痛改善较为显著,中高剂量 组患者的改善更为持久。 免疫反应:大多数患者在基线时存在低水平的 AAV2.5 中和抗体(NAbs),注射后中和抗体滴度有所上升,但未检测 到细胞介导的免疫反应。 应用案例 2:异位骨化的抑制[4] 背景知识:FOP(Fibrodysplasia Ossificans Progressiva, FOP)是一种由 ACVR1 基因突变引起的遗传
DNA extraction from Mutation Detection Enhancement (MDE) Gel Stained with Silver Nitrate
successfully to improve mutation detection in exon3 of the ¦Â-catenin (CTNNB1) gene in gastric adenocarcinoma by PCR-SSCP method. Following extraction of genomic DNA from paraffin embedded tissues (7), 5 to 10µl of the crude extract were amplified in 25 µl
DNA extraction from Mutation Detection Enhancement (MDE) Gel
, particularly when aberrant bands have low concentration of DNA. The protocol outlined in detail below has been used successfully to improve mutation detection in exon3 of the ¦Â-catenin (CTNNB1) gene in gastric adenocarcinoma by PCR-SSCP method. Following
技术资料暂无技术资料 索取技术资料






