相关产品推荐更多 >
万千商家帮你免费找货
0 人在求购买到急需产品
- 详细信息
- 文献和实验
- 技术资料
- 英文名:
Seebio® DL2000 DNA Marker
- 保质期:
1年
- 供应商:
西宝生物400-021-8158
- 保存条件:
2-8度
- 规格:
100T
基础信息
| 产品名称 | Seebio® DL2000 DNA Marker |
产品介绍
【产品基本信息用途】
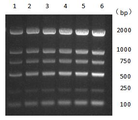
Seebio® DL2000 DNA Marker用于DNA电泳中的分子量标准参照,由100bp、250bp、500bp、750bp、1000bp、2000bp等共6条线形双链DNA片段组成,保存于1×DNA Loading Buffer中。本品可直接用于琼脂糖凝胶电泳,不建议用于聚丙火希酰胺凝胶电泳。
【使用方法】
1、Marker上样量为每个泳道5ul,若为宽胶孔,需适当增加上样量。
2、建议使用1.0-2.0%Agarose,电压4-10V/cm,电泳缓冲液使用1xTAE或0.5xTBE。
3、通过SYBR Green、EB或YeaRed等核酸染料进行染色,在紫外灯下观察电泳条带。
【电泳图示】
1-6分别上样2µl,3µl,4µl,5µl,6µl,7µl;1%琼脂糖凝胶;Gel-Green染色。
风险提示:丁香通仅作为第三方平台,为商家信息发布提供平台空间。用户咨询产品时请注意保护个人信息及财产安全,合理判断,谨慎选购商品,商家和用户对交易行为负责。对于医疗器械类产品,请先查证核实企业经营资质和医疗器械产品注册证情况。
文献和实验DL5000 DNA Marker.doc
Vybrant® DyeCycle Green and Orange Stains
material is supplied for approximately 200 fl ow cytometry assays based on a 1 mL test volume. Approximate fluorescence excitation/emission maxima: Vybrant® DyeCycle™ Green stain: 506/534 nm, bound to DNA; Vybrant® DyeCycle™ Orange stain: 519/563 nm
实验试剂 Dynal® magnet: see www.invitrogen.com/magnets-selection. Sterile, round-bottomed 2 ml microcentrifuge tubes. Micropipettors and sterile, disposable pipette tips. 65°C water-bath or heating block
技术资料暂无技术资料 索取技术资料











