相关产品推荐更多 >
万千商家帮你免费找货
0 人在求购买到急需产品
- 详细信息
- 询价记录
- 文献和实验
- 技术资料
慢性阻塞性肺疾病(COPD)小鼠模型
一、背景介绍
慢性阻塞性肺疾病(COPD)是一种以永久气流受限为特征的可预防和可治疗的疾病。其主要病因是吸入有毒颗粒或气体引起的气道和肺部的异常炎症反应。本模型旨在模拟COPD的病理生理改变,为相关机制研究及新药筛选提供动物模型平台。
二、动物信息
小鼠品系: SPF级C57BL/6J雄性小鼠
体重: 20-22g
三、造模原理
通过鼻腔滴注细菌脂多糖(LPS)和长期被动吸入香烟烟雾,诱导小鼠气道黏膜上皮损伤、炎症细胞浸润、肺泡破坏等病理变化,模拟COPD发病过程。
四、主要试剂及设备
LPS、香烟、熏烟箱
五、造模流程
1) 第1天、第29天经鼻腔滴入LPS (30μg/6μL);
2) 第2-30天(除第29天),对小鼠进行被动吸烟
熏烟处理: 将小鼠置于密闭熏烟箱内,点燃10支香烟并缓缓吸入,使小鼠暴露于香烟烟雾中1小时,频次5天/周,连续4周。
六、造模评价
1) 一般状态: 与对照组相比,模型组小鼠活动减少、精神萎靡、毛发无光泽甚至脱毛、喘息、呼吸急促。
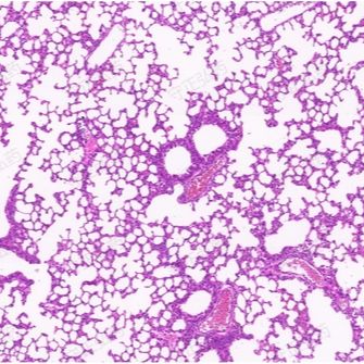
2) 肺组织病理学: 肺组织HE染色显示模型组肺泡融合扩张、肺小叶间质增生、炎细胞浸润、气道重塑等病理改变。

3) 炎症指标检测: ELISA法检测模型组小鼠血清中TNF-α、IL-8等COPD相关炎症因子浓度升高。
4) 肺功能检测: 使用FlexiVent小动物肺功能测定系统发现模型组小鼠肺顺应性(Crs)降低、肺阻力(Rrs)和残气容量(PEF)升高。
七、模型应用
该模型能较好地复制COPD主要症状和病理改变,为COPD相关的发病机制、靶点研究以及新药筛选等提供了理想的小鼠模型平台。
风险提示:丁香通仅作为第三方平台,为商家信息发布提供平台空间。用户咨询产品时请注意保护个人信息及财产安全,合理判断,谨慎选购商品,商家和用户对交易行为负责。对于医疗器械类产品,请先查证核实企业经营资质和医疗器械产品注册证情况。
- 作者
- 内容
- 询问日期
文献和实验呼吸系统疾病中的心理问题 呼吸的频率、深度和节律可因情绪状态而变化,但机制不明。临床上有些疾病如过度换气综合征、哮喘的发病以及慢性阻塞性肺疾病(chronic obstructive pulmonary diseases,COPD)的缺氧后果及氧疗的顺从性等方面均与心理有关。 一、过度换气综合征 过度换气综合征(hyperventilation syndrome)表现为反复发作的意识丧失,但无癫痫、发作性睡病的证据。这种病只要使
利用 Millicell 培养小室培养皮肤及肺类器官的实验方案
作用。 用于哮喘和慢性阻塞性肺病研究的细胞模型 支气管哮喘和慢性阻塞性肺疾病 (COPD) 是阻塞性肺疾病,其特征是潜在的气道炎症,可导致呼吸困难、黏液过多和肺损伤。 16HBE14o- 细胞系已用于细胞模型,以研究炎症细胞募集、激活及研究哮喘和 COPD 肺病的基本机制。 相关文献: Hackett TL, de Bruin HG, Shaheen F, van den Berge M, van Oosterhout AJ, et al. 2013. Caveolin-1 controls
炎(主要为病毒感染所致)、慢性阻塞性肺疾病急性加重(AECOPD)和哮喘等,使用PCT后抗生素使用至少减少 50%。因此,对于CAP患者,因其PCT水平较高,可使用抗生素治疗,但对于轻症或病毒感染,使用PCT可显著减少抗生素使用。 对于初级卫生保健机构而言,由于就诊患者多数为上呼吸道感染,且多数为病毒感染所致,使用PCT指导抗生素治疗效果更为明显。研究显示,在使用 PCT后,抗生素使用甚至可减少72%~80%;从康复时间上来看,使用PCT作为指标并减少抗生素使用组患者与直接使用抗生素组患者
技术资料暂无技术资料 索取技术资料









