万千商家帮你免费找货
0 人在求购买到急需产品
- 详细信息
- 文献和实验
- 技术资料
- 免疫原:
peptide
- 亚型:
IgG1
- 形态:
Liquid
- 保存条件:
-20℃
- 克隆性:
mAb
- 适应物种:
Human
- 保质期:
1年
- 目录编号:
TD-20131
- 级别:
科研级
- 库存:
88
- 供应商:
武汉天德
- 宿主:
Mouse
- 应用范围:
IHC, ICC
- 靶点:
详询
- 抗体英文名:
Mouse Monoclonal Antibody to CD31
- 抗体名:
CD31
- 规格:
100ul/50ul
| 规格: | 100ul | 产品价格: | ¥2180.0 |
|---|---|---|---|
| 规格: | 50ul | 产品价格: | ¥1280.0 |
Mouse Monoclonal Antibody to CD31
Description | |
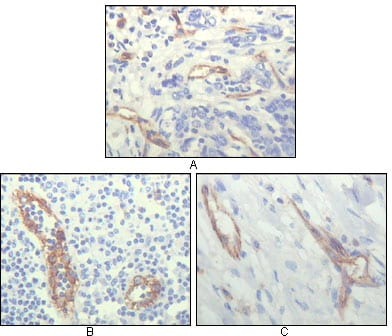
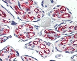
| CD31, also known as platelet endothelial cell adhesion molecule 1 (PECAM1), is a type I integral membrane glycoprotein and a member of the immunoglobulin superfamily of cell surface receptors.It is constitutively expressed on the surface of endothelial cells, and concentrated at the junction between them. The antibody reacts with the murine form of the Platelet-Endothelial Cell Adhesion Molecule. The reactivity of the antibody is restricted to the isoform of the molecule that is selectively expressed by endothelial cells.The antigen is predominantly present at the lateral borders of endothelial cells as described for human PECAM-1.It is also weakly expressed on many peripheral lymphoid cells and platelets.CD31 has been used to measure angiogenesis in association with tumor recurrence. Other studies have also indicated that CD31 and CD34 can be used as markers for myeloid progenitor cells and recognize different sub/sets of myeloid leukemia infiltrates (granular sarcomas). | |
Specification | |
| Aliases | CD31; PECAM-1; PECAM1 |
| Entrez GeneID | 5175 |
| Swissprot | P16284 |
| clone | 2F7B2 |
| Host/Isotype | Mouse IgG1 |
| Antibody Type | Primary antibody |
| Storage | Store at 4°C short term. Aliquot and store at -20°C long term. Avoid freeze/thaw cycles. |
| Species Reactivity | Human |
| Immunogen | Purified recombinant fragment of human CD31 expressed in E. Coli. |
| Formulation | Ascitic fluid containing 0.03% sodium azide. |
Application | |
| IHC | 1/200 - 1/1000 |
| ICC | 1/200 - 1/1000 |
| ELISA | 1/10000 |
Product Image | |
|
|
|
风险提示:丁香通仅作为第三方平台,为商家信息发布提供平台空间。用户咨询产品时请注意保护个人信息及财产安全,合理判断,谨慎选购商品,商家和用户对交易行为负责。对于医疗器械类产品,请先查证核实企业经营资质和医疗器械产品注册证情况。
文献和实验CD31 分子 CD31 常用单克隆抗体或代号: SG134,TM3,HEC- 75;(PECAM、EndoCAM) 主要表达细胞: Pt,M,G,B,NK,Tsub [AS] 分子质量(kDa)和结构: gp140,血小板GPⅡa(IgSF) 功 能: 嗜同性或嗜异性(与CD38互为受体)粘附,炎症,En功能 CD31 Aka
有好几个同仁发消息问CD31染色,刚工作比较忙,今天分享一下我做的是免疫荧光,也试做过免疫组化,都可以做出来抗体:小鼠抗CD31单克隆抗体 英国Abcam公司(CD31抗体说明书里面有说多聚甲醛会掩盖抗体,所以推荐速冻切片,也尝试过速冻切片,不使用多聚甲醛,但是这个技术个人掌握不好,所以还是用了多聚甲醛固定)二抗: 山羊抗小鼠488单克隆抗体 美国CST公司 特别说明:我是从同学那里得到的经验,可能绿光稍微好做些,之前做红光
dm0920 我有一篇文章修回。审稿人怀疑我结果的可靠性。其中一个结果是将细胞在缺氧的条件下培养4小时后,检测两个目的基因的转录和表达,RT-PCR以及细胞免疫化学染色都提示该目的基因发生了转录并表达。但是,审稿人认为仅仅4个小时这些基因(CD31和CD34)还不能转录和表达,因为4小时太短。一般基因得48小时以上方可表达。因此,审稿人怀疑我的结果。我想请教各位大侠,是否能帮忙查找一些文献表明很多基因的转录/表达可以在4小时之内完成。谢谢。
技术资料暂无技术资料 索取技术资料












