万千商家帮你免费找货
0 人在求购买到急需产品
- 详细信息
- 技术资料
- 免疫原:
peptide
- 亚型:
IgG1
- 形态:
Liquid
- 保存条件:
-20℃
- 克隆性:
mAb
- 适应物种:
Human
- 保质期:
1年
- 目录编号:
TD-M50775
- 级别:
科研级
- 库存:
88
- 供应商:
武汉天德
- 宿主:
Mouse
- 应用范围:
IHC-P
- 靶点:
详询
- 抗体英文名:
CD34 Mouse mAb
- 抗体名:
CD34 Mouse mAb
- 规格:
100ul/50ul
| 规格: | 100ul | 产品价格: | ¥2580.0 |
|---|---|---|---|
| 规格: | 50ul | 产品价格: | ¥1580.0 |
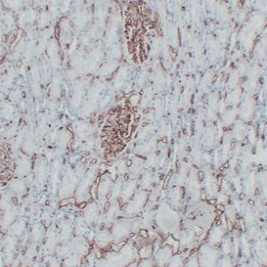
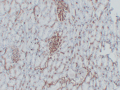
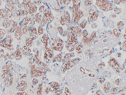
CD34 Mouse mAb
|
Product Name
|
CD34 Mouse mAb
|
|
Gene ID
|
947
|
|
SwissProt ID
|
P28906
|
|
Gene Name
|
CD34
|
|
Alternative Names
|
CD34; Hematopoietic progenitor cell antigen CD34; CD antigen CD34
|
|
Background
|
Possible adhesion molecule with a role in early hematopoiesis by mediating the attachment of stem cells to the bone marrow extracellular matrix or directly to stromal cells. Could act as a scaffold for the attachment of lineage specific glycans, allowing stem cells to bind to lectins expressed by stromal cells or other marrow components. Presents carbohydrate ligands to selectins.
|
|
Research Field
|
Neuroscience
|
|
Product Categories
|
Pathological antibody
|
|
Host
|
Mouse
|
|
Reactivity
|
Human
|
|
Application
|
IHC-P
|
|
Dilution Ratio
|
IHC: 1/100-1/500
|
|
Molecular Weight
|
-
|
|
Clonality
|
Monoclonal Antibody
|
|
Clonality No.
|
6G4-5H3-5F6
|
|
Isotype
|
IgG1
|
|
Immunogen
|
Synthesized peptide derived from human CD34
|
|
Purification
|
Affinity Chromatography
|
|
Conjugation
|
Unconjugated
|
|
Modification
|
Unmodified
|
|
Form
|
Liquid
|
|
Buffer System
|
Liquid in PBS containing 50% glycerol, 0.5% BSA and 0.02% sodium azide, pH 7.3.
|
|
Storage
|
Store at 4°C short term. Aliquot and store at -20°C long term. Avoid freeze/thaw cycles.
|
![]() |
![]() |
风险提示:丁香通仅作为第三方平台,为商家信息发布提供平台空间。用户咨询产品时请注意保护个人信息及财产安全,合理判断,谨慎选购商品,商家和用户对交易行为负责。对于医疗器械类产品,请先查证核实企业经营资质和医疗器械产品注册证情况。
技术资料暂无技术资料 索取技术资料
CD34 Mouse mAb
¥1580 - 2580











