万千商家帮你免费找货
0 人在求购买到急需产品
- 详细信息
- 文献和实验
- 技术资料
- 形态:
Liquit
- 保存条件:
-20℃
- 克隆性:
单克隆
- 适应物种:
Human,(predicted:Mouse,Rat,)
- 保质期:
1年
- 抗原来源:
peptiede
- 目录编号:
TDCCM-0290
- 级别:
科研级
- 库存:
88
- 供应商:
武汉天德
- 宿主:
鼠
- 浓度:
1mg/ml
- 抗体英文名:
CAthepsin K
- 抗体名:
CAthepsin K
- 规格:
1ml工作液

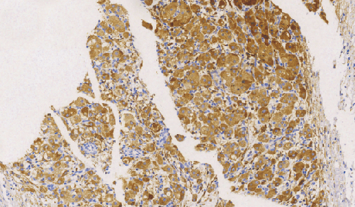
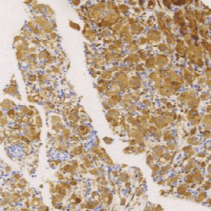
Cathepsin K 鼠抗人组织蛋白酶-K单克隆抗体
组织蛋白酶K是一种溶酶体半胱氨酸蛋白酶,可以表达在正常成骨细胞、成纤维细胞。据报道,组织蛋白酶K可用于区别易位肾细胞癌(RCC)。
- 货号:TDCCM-0290
- 克隆号:3F9
- 阳性部位:胞质
- 适用组织:石蜡切片
- 预处理:热修复
风险提示:丁香通仅作为第三方平台,为商家信息发布提供平台空间。用户咨询产品时请注意保护个人信息及财产安全,合理判断,谨慎选购商品,商家和用户对交易行为负责。对于医疗器械类产品,请先查证核实企业经营资质和医疗器械产品注册证情况。
文献和实验) 利用Taq聚合酶同时具有的末端连接酶的功能,在每条PCR 扩增产物的3`端自动添加一个3`-A突出端。Invitrogen公司TA克隆 系统和Topo TA克隆 系统都提供一个线性含3`-T突出端的载体用于直接高效地连接PCR 产物。系统中也包含感受态细胞和S.O.C培养基, 使得实验操作更为简单方便。 所以TA克隆 不需使用含限制酶序列的引物,不需将PCR 产物进行优化,不需把PCR 产物做平端处理(Invitrogen另有平端载体供高确
,对某些传染病如甲型肝炎有较高的临床诊断价值。 抗原抗体反应 1. 可逆性 抗原与抗体结合形成抗原抗体复合物的过程是一种动态平衡,其反应式为: Ag+Ab→Ag·Ab 抗体的亲和力(affinity)是抗原抗体间的固有结合力,可以用平衡常数K表示: K=[Ag·Ab]/[Ag][Ab] Ag·Ab 的解离程度与K值有关。高亲和力抗体的抗原结合点与抗原的决定簇在空间构型上非常适合,两者结合牢固,不易解离。解离后的抗原或抗体均能保持原有的结构和活性,因此可用亲和层析法来提纯抗原或抗体。在抗
内或体外培养而分泌的抗体单克隆抗体(monoclonal antibody,McAb或Mab)。单克隆抗体仅针对一种抗原决定簇,具有很高的特异性。单克隆抗体通常用抗原免疫小鼠制备。将免疫的脾细胞(含产生抗体的B细胞)与小鼠肿瘤细胞融合,分离杂交瘤细胞,接种于小鼠腹腔,产生的腹水中含有浓度很高的单克隆抗体。(三)抗原抗体反应 1、可逆性 抗原与抗体结合形成抗原抗体复合物的过程是一种动态平衡,其反应式为:Ag+Ab→Ag•Ab.。抗体的亲和力(affinity)是抗原抗体间的固有结合力,可以平衡常数K
技术资料暂无技术资料 索取技术资料










