相关产品推荐更多 >
万千商家帮你免费找货
0 人在求购买到急需产品
- 详细信息
- 文献和实验
- 技术资料
- 免疫原:
peptide
- 亚型:
IgG1
- 形态:
Liquid
- 保存条件:
-20℃
- 克隆性:
mAb
- 适应物种:
Human
- 保质期:
1年
- 目录编号:
TD-31360
- 级别:
科研级
- 库存:
88
- 供应商:
武汉天德
- 宿主:
Mouse
- 应用范围:
FCM、ELISA、IHC
- 靶点:
详询
- 抗体英文名:
Mouse Monoclonal Antibody to CD158E1
- 抗体名:
CD158E1
- 规格:
100ul/50ul
| 规格: | 100ul | 产品价格: | ¥2180.0 |
|---|---|---|---|
| 规格: | 50ul | 产品价格: | ¥1280.0 |
Mouse Monoclonal Antibody to CD158E1
Description |
||||
| Killer cell immunoglobulin-like receptors (KIRs) are transmembrane glycoproteins expressed by natural killer cells and suts of T cells. The KIR genes are polymorphic and highly homologous and they are found in a cluster on chromosome 19q13.4 within the 1 Mb leukocyte receptor complex (LRC). The gene content of the KIR gene cluster varies among haplotypes, although several "framework" genes are found in all haplotypes (KIR3DL3, KIR3DP1, KIR3DL4, KIR3DL2). The KIR proteins are classified by the number of extracellular immunoglobulin domains (2D or 3D) and by whether they have a long (L) or short (S) cytoplasmic domain. KIR proteins with the long cytoplasmic domain transduce inhibitory signals upon ligand binding via an immune tyrosine-based inhibitory motif (ITIM), while KIR proteins with the short cytoplasmic domain lack the ITIM motif and instead associate with the TYRO protein tyrosine kinase binding protein to transduce activating signals. The ligands for several KIR proteins are suts of HLA class I molecules; thus, KIR proteins are thought to play an important role in regulation of the immune response. | ||||
Specification |
||||
| Aliases | KIR3DL1; KIR; NKB1; NKAT3; NKB1B; NKAT-3; KIR3DL1/S1 | |||
| Entrez GeneID | 3811 | |||
| Swissprot | P43629 | |||
| clone | 2C3B6 | |||
| WB Predicted band size | 49kDa | |||
| Host/Isotype | Mouse IgG1 | |||
| Antibody Type | Primary antibody | |||
| Storage | Store at 4°C short term. Aliquot and store at -20°C long term. Avoid freeze/thaw cycles. | |||
| Species Reactivity | Human | |||
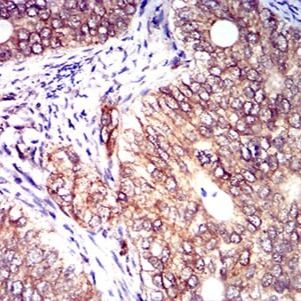
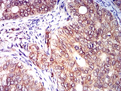
| Immunogen | Purified recombinant fragment of human CD158E1 (AA: extra 206-340) expressed in E. Coli. | |||
| Formulation | Purified antibody in PBS with 0.05% sodium azide | |||
Application |
||||
| IHC | 1/200 - 1/1000 | |||
| FCM | 1/200 - 1/400 | |||
| ELISA | 1/10000 | |||
Product Image
|
||||
风险提示:丁香通仅作为第三方平台,为商家信息发布提供平台空间。用户咨询产品时请注意保护个人信息及财产安全,合理判断,谨慎选购商品,商家和用户对交易行为负责。对于医疗器械类产品,请先查证核实企业经营资质和医疗器械产品注册证情况。
文献和实验如何定义细胞亚群?CellMarker 一键助你找细胞标记物!
,我们可以查看所有细胞类型的标志性基因;另外,当我们输入一个基因时,这个数据库就可以告诉我们该基因属于哪种组织、哪种细胞。今天,小编就向大家介绍一个非常友好的工具和数据库「CellMarker」数据库的交互网站首页长这样:研究人员通过对 10 万余篇已发表论文的手工整理,共收录细胞标记信息、组织类型、细胞类型、肿瘤信息、来源等 4124 条。最后,在 158 个人类组织中收集 467 种细胞类型的 13605 个细胞标记物,在 81 个小鼠组织中收集 389 种细胞类型的 9148 个细胞
51 、 CDw60 、 CD61 、 CD62P 、 CD63 、 CD107a 、 CD107b 、 CD151 NK CD16 、 CD56 、 CD57 、 CD69 、 CD94 、 CD96 、 CD158a 、 CD158b 、 CD161 NL
腺病毒(adenovirus,Ad)最初由W. P. ROWE等人在人腺样体中分离得到并命名,这是一种直径为70-100nm、无包膜的双链DNA病毒。目前已知的人腺病毒血清型有50多种。其中基于人腺病毒5型(Ad5)改造的载体使用较为广泛,其特点是人为地删除了E1和E3基因,导致腺病毒失去复制能力和一定程度上降低免疫原性,使得Ad5成为一种广泛、安全、有效的基因运输载体。 根据重组腺病毒的特点,我们继续了解腺病毒在不同领域中的应用都有哪些 腺病毒除了用作基因
技术资料暂无技术资料 索取技术资料










