相关产品推荐更多 >
万千商家帮你免费找货
0 人在求购买到急需产品
- 详细信息
- 文献和实验
- 技术资料
- 免疫原:
peptide
- 亚型:
IgG1
- 形态:
Liquid
- 保存条件:
-20℃
- 克隆性:
mAb
- 适应物种:
Human
- 保质期:
1年
- 目录编号:
TD-30570
- 级别:
科研级
- 库存:
88
- 供应商:
武汉天德
- 宿主:
Mouse
- 应用范围:
FCM、ELISA、IHC、ICC
- 靶点:
详询
- 抗体英文名:
CD93
- 抗体名:
CD93
- 规格:
100ul/50ul
| 规格: | 100ul | 产品价格: | ¥2180.0 |
|---|---|---|---|
| 规格: | 50ul | 产品价格: | ¥1280.0 |
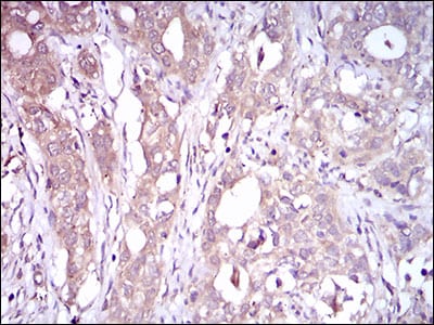
Mouse Monoclonal Antibody to CD93
Description |
|
| The protein encoded by this gene is a cell-surface glycoprotein and type I membrane protein that was originally identified as a myeloid cell-specific marker. The encoded protein was once thought to be a receptor for C1q, but now is thought to instead be involved in intercellular adhesion and in the clearance of apoptotic cells. The intracellular cytoplasmic tail of this protein has been found to interact with moesin, a protein known to play a role in linking transmembrane proteins to the cytoskeleton and in the remodelling of the cytoskeleton. | |
Specification |
|
| Aliases | C1QR1; C1qRP; CDw93; ECSM3; MXRA4; C1qR(P); dJ737E23.1 |
| Entrez GeneID | 22918 |
| Swissprot | Q9NPY3 |
| clone | 1A10E10 |
| WB Predicted band size | 68.6kDa |
| Host/Isotype | Mouse IgG1 |
| Antibody Type | Primary antibody |
| Storage | Store at 4°C short term. Aliquot and store at -20°C long term. Avoid freeze/thaw cycles. |
| Species Reactivity | Human |
| Immunogen | Purified recombinant fragment of human CD93 (AA: 474-535) expressed in E. Coli. |
| Formulation | Ascitic fluid containing 0.03% sodium azide. |
Application |
|
| IHC | 1/200 - 1/1000 |
| ICC | 1/200 - 1/1000 |
| FCM | 1/200 - 1/400 |
| ELISA | 1/10000 |
Product Image |
|
|
|
|
|
风险提示:丁香通仅作为第三方平台,为商家信息发布提供平台空间。用户咨询产品时请注意保护个人信息及财产安全,合理判断,谨慎选购商品,商家和用户对交易行为负责。对于医疗器械类产品,请先查证核实企业经营资质和医疗器械产品注册证情况。
文献和实验Immunity:「填补教科书」董晨院士团队解析 IL-17D 重要功能,并首次发现其受体
D regulates group 3 innate lymphoid cell function through its receptor CD93 的研究成果 (2)。 该研究发现肠上皮细胞来源的 IL-17D 通过与其受体 CD93 结合,在调节三型固有淋巴样细胞(ILC3s)功能并维持肠道稳态中发挥关键作用。 图片来源:Immunity研究内容「我是谁」IL-17D 有什么生理功能?为了了解 IL-17D 的生理功能,作者首先检测了 IL-17D 在小鼠组织中的表达情况,结果发现 IL17D 在小鼠的结肠
CD24,CD37,CD39,CD40,CD72~CD86 活化细胞 CD25,CDw26,CD30,CD69~CD71,CD95~CD97 髓样细胞 CD9,CD11b~CD17,CD31~CD36,CD64~CD68,CD87~CD93,CD115 NK/非谱系细胞 CD11a,CD18,CD29,CD38,CD43,CE45~
97 髓样细胞 CD9,CD11b~CD17,CD31~CD36,CD64~CD68,CD87~CD93,CD115 NK/非谱系细胞 CD11a,CD18,CD29,CD38,CD43,CE45~CD48,CD52~CD59,CD94
技术资料暂无技术资料 索取技术资料










