相关产品推荐更多 >
万千商家帮你免费找货
0 人在求购买到急需产品
- 详细信息
- 技术资料
- 免疫原:
peptide
- 亚型:
IgG2b
- 形态:
Liquid
- 保存条件:
-20℃
- 克隆性:
mAb
- 适应物种:
Human
- 保质期:
1年
- 目录编号:
TD-31429
- 级别:
科研级
- 库存:
88
- 供应商:
武汉天德
- 宿主:
Mouse
- 应用范围:
FCM、ELISA
- 靶点:
详询
- 抗体英文名:
Mouse Monoclonal Antibody to CD84
- 抗体名:
CD84
- 规格:
100ul/50ul
| 规格: | 100ul | 产品价格: | ¥2180.0 |
|---|---|---|---|
| 规格: | 50ul | 产品价格: | ¥1280.0 |
Mouse Monoclonal Antibody to CD84
Description |
|
| This gene encodes a membrane glycoprotein that is a member of the signaling lymphocyte activation molecule (SLAM) family. This family forms a sub/set of the larger CD2 cell-surface receptor Ig superfamily. The encoded protein is a homophilic adhesion molecule that is expressed in numerous immune cells types and is involved in regulating receptor-mediated signaling in those cells. Alternate splicing results in multiple transcript variants. | |
Specification |
|
| Aliases | LY9B; hCD84; mCD84; SLAMF5 |
| Entrez GeneID | 8832 |
| Swissprot | Q9UIB8 |
| clone | 5B9E10 |
| WB Predicted band size | 38.8kDa |
| Host/Isotype | Mouse IgG2b |
| Antibody Type | Primary antibody |
| Storage | Store at 4°C short term. Aliquot and store at -20°C long term. Avoid freeze/thaw cycles. |
| Species Reactivity | Human |
| Immunogen | Purified recombinant fragment of human CD84 (AA: extra 22-225) expressed in E. Coli. |
| Formulation | Purified antibody in PBS with 0.05% sodium azide |
Application |
|
| FCM | 1/200 - 1/400 |
| ELISA | 1/10000 |
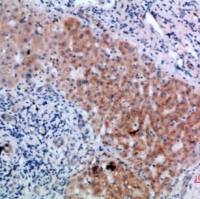
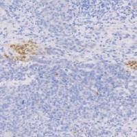
Product Image |
|
|
|
风险提示:丁香通仅作为第三方平台,为商家信息发布提供平台空间。用户咨询产品时请注意保护个人信息及财产安全,合理判断,谨慎选购商品,商家和用户对交易行为负责。对于医疗器械类产品,请先查证核实企业经营资质和医疗器械产品注册证情况。
技术资料暂无技术资料 索取技术资料
CD84
¥1280 - 2180








![Anti-Amyloid Fibril[mOC78] - Conformation-Specific](https://img1.dxycdn.com/p/s14/2024/0320/523/0637231418543630771.jpg!wh200)
