相关产品推荐更多 >
万千商家帮你免费找货
0 人在求购买到急需产品
- 详细信息
- 文献和实验
- 技术资料
- 免疫原:
peptide
- 亚型:
IgG1
- 形态:
Liquid
- 保存条件:
-20℃
- 克隆性:
mAb
- 适应物种:
Human
- 保质期:
1年
- 目录编号:
TD-32428
- 级别:
科研级
- 库存:
88
- 供应商:
武汉天德
- 宿主:
Mouse
- 应用范围:
FCM、ELISA、IHC、WB
- 靶点:
详询
- 抗体英文名:
Mouse Monoclonal Antibody to CD82
- 抗体名:
CD82
- 规格:
100ul/50ul
| 规格: | 100ul | 产品价格: | ¥2180.0 |
|---|---|---|---|
| 规格: | 50ul | 产品价格: | ¥1280.0 |
Mouse Monoclonal Antibody to CD82
Description |
|
| This metastasis suppressor gene product is a membrane glycoprotein that is a member of the transmembrane 4 superfamily. Expression of this gene has been shown to be downregulated in tumor progression of human cancers and can be activated by p53 through a consensus binding sequence in the promoter. Its expression and that of p53 are strongly correlated, and the loss of expression of these two proteins is associated with poor survival for prostate cancer patients. Two alternatively spliced transcript variants encoding distinct isoforms have been found for this gene. | |
Specification |
|
| Aliases | R2; 4F9; C33; IA4; ST6; GR15; KAI1; SAR2; TSPAN27 |
| Entrez GeneID | 3732 |
| Swissprot | P27701 |
| clone | 5D5D5 |
| WB Predicted band size | 29.6kDa |
| Host/Isotype | Mouse IgG1 |
| Antibody Type | Primary antibody |
| Storage | Store at 4°C short term. Aliquot and store at -20°C long term. Avoid freeze/thaw cycles. |
| Species Reactivity | Human |
| Immunogen | Purified recombinant fragment of human CD82 (AA: extra 111-228) expressed in E. Coli. |
| Formulation | Purified antibody in PBS with 0.05% sodium azide |
Application |
|
| WB | 1/500 - 1/2000 |
| IHC | 1/200 - 1/1000 |
| FCM | 1/200 - 1/400 |
| ELISA | 1/10000 |
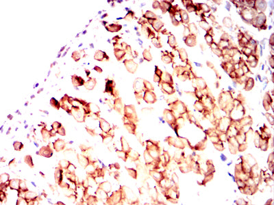
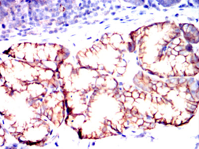
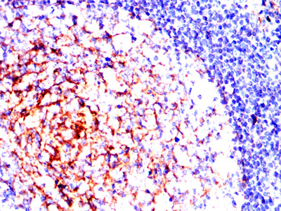
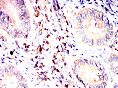
Product Image |
|
|
|
|
|
|
|
风险提示:丁香通仅作为第三方平台,为商家信息发布提供平台空间。用户咨询产品时请注意保护个人信息及财产安全,合理判断,谨慎选购商品,商家和用户对交易行为负责。对于医疗器械类产品,请先查证核实企业经营资质和医疗器械产品注册证情况。
文献和实验CD82 分子 CD82 常用单克隆抗体或代号: 1A4,4F9;(R2) 主要表达细胞: Leu [B] 分子质量(kDa)和结构: gp50- 53(TM4-SF) 功 能: 淋巴细胞活化,信号传递 CD82 Aka prostate cancer antimetastasis gene KAI1, kang ai (Chinese for anticancer).
盒作者:muyanqbj2004 回复数:0000【求购】求购kiss-1, BRMS1 ,cd82 抗体作者:ciwawa123 回复数:0000【求购】抗大鼠的4型胶原组化一抗作者:cs99 回复数:0000【求购】ELISA KIT作者:foxrose 回复数:0000【求购】低价转让大鼠IFN-α定量EIA试剂盒作者:白兰石 回复数:0000【求购】大鼠抗CD154作者:liuzhg328 回复数:0000【求购】0.6%缓冲hetastarch液作者:紫钢 回复数:0000
主要表达细胞 分子量(kDa)和结构 功能 CD81 ID6,5A6(TAPA-1) B,T,M 22(TM-4成员) 离子通道,增殖抗体靶抗原 CD82 R2,1A4,4F9 B
技术资料暂无技术资料 索取技术资料










