相关产品推荐更多 >
万千商家帮你免费找货
0 人在求购买到急需产品
- 详细信息
- 文献和实验
- 技术资料
- 免疫原:
peptide
- 亚型:
IgG
- 形态:
Liquid
- 保存条件:
-20℃
- 克隆性:
mAb
- 适应物种:
Human
- 保质期:
1年
- 目录编号:
TD-P06890
- 级别:
科研级
- 库存:
88
- 供应商:
武汉天德
- 宿主:
Mouse
- 应用范围:
ELISA、IHC
- 靶点:
详询
- 抗体英文名:
Rabbit Polyclonal Antibody to CD52
- 抗体名:
CD52
- 规格:
100ul/50ul
| 规格: | 100ul | 产品价格: | ¥2180.0 |
|---|---|---|---|
| 规格: | 50ul | 产品价格: | ¥1280.0 |
Rabbit Polyclonal Antibody to CD52
Description |
|
| May play a role in carrying and orienting carbohydrate, as well as having a more specific role. | |
Specification |
|
| Aliases | HE5; CDW52; EDDM5 |
| Swissprot | P31358 |
| Host/Isotype | Rabbit IgG |
| Antibody Type | Primary antibody |
| Storage | Store at 4°C short term. Aliquot and store at -20°C long term. Avoid freeze/thaw cycles. |
| Species Reactivity | Human |
| Immunogen | Synthetic peptide of human CD52 |
| Formulation | pH7.4 PBS, 0.05% NaN3, 40% Glycerol |
Application |
|
| IHC | 1/50-1/100 |
| ELISA | 1/5000-1/10000 |
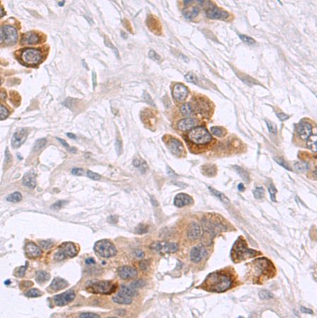
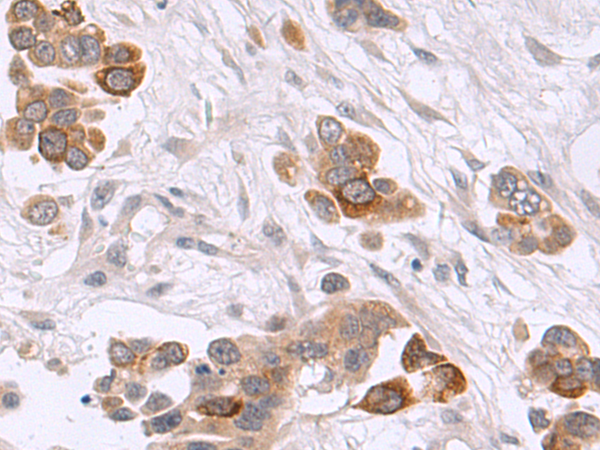
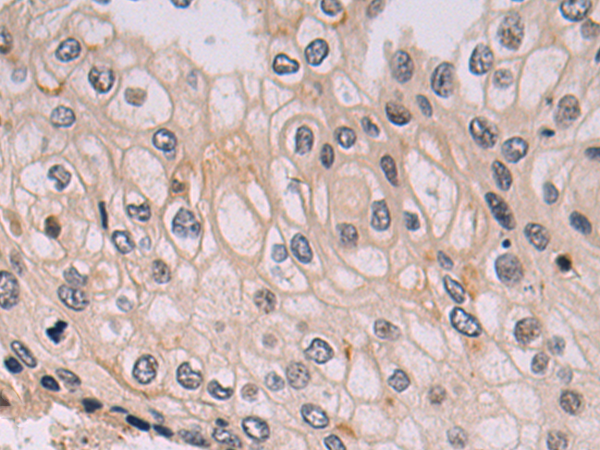
Product Image |
|
|
|
风险提示:丁香通仅作为第三方平台,为商家信息发布提供平台空间。用户咨询产品时请注意保护个人信息及财产安全,合理判断,谨慎选购商品,商家和用户对交易行为负责。对于医疗器械类产品,请先查证核实企业经营资质和医疗器械产品注册证情况。
文献和实验CD52 分子 常用单克隆抗体或代号: YTH66.9;(Campath- 1) 主要表达细胞: Leu,Eo [NL] 分子质量(kDa)和结构: gp25- 29 功 能: 补体介导溶解作用的靶分子 Aka Campath-1 CD52 antibodies are lytic for target cells, both with human complement and via antibody dependent cellular
Alemtuzumab (Campath), the humanized rat monoclonal antibody that targets the CD52 surface antigen, is currently used for treatment of patients with resistant chronic lymphocytic leukemia. Monitoring levels of the antibody in plasma/serum
The Application of Monoclonal Antibodies in the Treatment of Lymphoma
-CD20 and anti-CD52 (CAMPATH 1) mAb suggest, at least for certain neoplasms, that the situation may be changing (2 ,3 ). Stevenson and colleagues (personal communication) have recently achieved more than 70% complete responses in posttransplant
技术资料暂无技术资料 索取技术资料










