相关产品推荐更多 >
万千商家帮你免费找货
0 人在求购买到急需产品
- 详细信息
- 文献和实验
- 技术资料
- 免疫原:
peptide
- 亚型:
IgG1
- 形态:
Liquid
- 保存条件:
-20℃
- 克隆性:
mAb
- 适应物种:
Human
- 保质期:
1年
- 目录编号:
TD-32130
- 级别:
科研级
- 库存:
88
- 供应商:
武汉天德
- 宿主:
Mouse
- 应用范围:
FCM、ELISA、IHC、WB
- 靶点:
详询
- 抗体英文名:
Mouse Monoclonal Antibody to CD42A
- 抗体名:
CD42A
- 规格:
100ul/50ul
| 规格: | 100ul | 产品价格: | ¥2180.0 |
|---|---|---|---|
| 规格: | 50ul | 产品价格: | ¥1280.0 |
Mouse Monoclonal Antibody to CD42A
Description |
|
| This gene encodes a small membrane glycoprotein found on the surface of human platelets. It forms a 1-to-1 noncovalent complex with glycoprotein Ib, a platelet surface membrane glycoprotein complex that functions as a receptor for von Willebrand factor. The complete receptor complex includes noncovalent association of the alpha and beta subunits with the protein encoded by this gene and platelet glycoprotein V. Defects in this gene are a cause of Bernard-Soulier syndrome, also known as giant platelet disease. These patients have unusually large platelets and have a clinical bleeding tendency. [provided by RefSeq, Oct 2008] | |
Specification |
|
| Aliases | GPIX,GP9 |
| Entrez GeneID | 2815 |
| Swissprot | P14770 |
| clone | 7H1F4 |
| WB Predicted band size | 19kda |
| Host/Isotype | Mouse IgG1 |
| Antibody Type | Primary antibody |
| Storage | Store at 4°C short term. Aliquot and store at -20°C long term. Avoid freeze/thaw cycles. |
| Species Reactivity | Human, Mouse |
| Immunogen | Purified recombinant fragment of human CD42A (AA: extra(17-147)) expressed in E. Coli. |
| Formulation | Purified antibody in PBS with 0.05% sodium azide |
Application |
|
| WB | 1/500 - 1/2000 |
| IHC | 1/200 - 1/1000 |
| FCM | 1/200 - 1/400 |
| ELISA | 1/10000 |
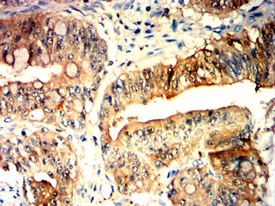
Product Image |
|
|
|
|
|
|
|
风险提示:丁香通仅作为第三方平台,为商家信息发布提供平台空间。用户咨询产品时请注意保护个人信息及财产安全,合理判断,谨慎选购商品,商家和用户对交易行为负责。对于医疗器械类产品,请先查证核实企业经营资质和医疗器械产品注册证情况。
文献和实验CD42a/CD42b/CD42c/CD42d 分子 CD42a 常用单克隆抗体或代号: FMC25,GR- P;(GPIX) 主要表达细胞: Pt,Meg [Pt] 分子质量(kDa)和结构: gp22,形成血小板,GPIb/Ⅸ复合物功 能: 血小板粘附,结合vWF、凝血酶 CD42b 常用单克隆抗体或代号: PHN89,AN51;(GPIba ) 主要表达细胞: Pt,Meg [Pt]
人血小板膜糖蛋白ⅠbⅨα(GP-ⅠbⅨα/CD42b+CD42a)抗体
人血小板膜糖蛋白Ⅰb Ⅸα(GP- Ⅰb Ⅸα/CD42b+CD42a )抗体 酶联免疫分析试剂盒使用说明书 本试剂仅供研究使用 目的:本试剂盒用于测定人血清,血浆及相关液体样本中血小板膜糖蛋白Ⅰb Ⅸα(GP- Ⅰb Ⅸα/CD42b+CD42a )抗体 的含量。 实验原理: 本试剂盒应用双抗原夹心法测定标本中人血小板膜糖蛋白Ⅰ b Ⅸα( GP- Ⅰ b Ⅸα /CD42b+CD42a )抗体
不含血小板抗体的血清与血小板孵育,作为阴性质控。 4、血小板表面抗原缺失:如巨血小板症血小板表面CD42a/CD42b缺失,血小板无力症血小板表面gpIIb/IIIa,即CD41/CD61缺失或异常。使用正常人标本做阳性对照,抗体的同型对照做阴性对照。 六、数据分析-设门 1、FSC-SSC点图中找出血小板,缺点是血小板较小,不易通过大小将碎片或杂质完全分开。 2、从CD41或CD61-SSC点图中画出血小板门,由于特异性高,可以有效地去除碎片和杂质的干扰。
技术资料暂无技术资料 索取技术资料










