相关产品推荐更多 >
万千商家帮你免费找货
0 人在求购买到急需产品
- 详细信息
- 技术资料
- 供应商:
北京索莱宝科技有限公司
- 库存:
999
- 靶点:
RBP5
- 目录编号:
K114060P
- 克隆性:
多克隆
- 抗体英文名:
Anti-RBP5 Polyclonal Antibody
- 抗体名:
Cellular retinol-binding protein III; CRBP III; CRBP-III; CRBP3; CRBPIII; HRBPiso; OTTHUMP00000238163; Putative cellular retinol binding protein CRBP III; RBP5; RET5_HUMAN; Retinol binding protein; Retinol binding protein 5; Retinol binding protein 5, cellular; Retinol-binding protein 5;
- 宿主:
Rabbit
- 适应物种:
Human
- 免疫原:
Recombinant protein of human RBP5
- 亚型:
IgG
- 形态:
液体
- 应用范围:
IHC
- 保存条件:
Store at -20°C. Avoid freeze / thaw cycles.
- 浓度:
IHC 1:50-200.
- 规格:
50ul/100ul
| 规格: | 50ul | 产品价格: | ¥960.0 |
|---|---|---|---|
| 规格: | 100ul | 产品价格: | ¥1600.0 |
The protein encoded by this gene is a cellular retinol-binding protein expressed highly in kidney and liver. Down-regulation of the encoded protein in hepatocellular carcinoma was associated with large tumor size and poor patient survival rates. [provided by RefSeq, Jul 2016]
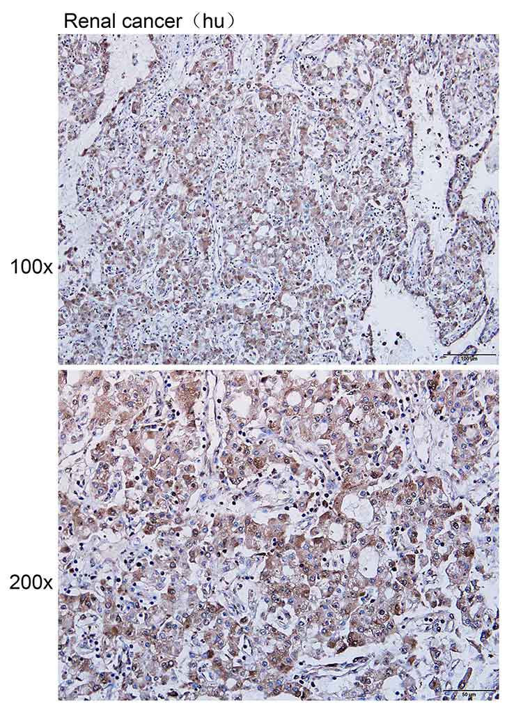
实验图
Immunohistochemistry of paraffin-embedded human renal cancer with RBP5 antibody diluted at 1:100.
风险提示:丁香通仅作为第三方平台,为商家信息发布提供平台空间。用户咨询产品时请注意保护个人信息及财产安全,合理判断,谨慎选购商品,商家和用户对交易行为负责。对于医疗器械类产品,请先查证核实企业经营资质和医疗器械产品注册证情况。
技术资料暂无技术资料 索取技术资料









