相关产品推荐更多 >
万千商家帮你免费找货
0 人在求购买到急需产品
- 详细信息
- 技术资料
- 应用范围:
产品信息以Bioss网站为准
- 规格:
50ul/100ul
| 规格: | 50ul | 产品价格: | ¥1180.0 |
|---|---|---|---|
| 规格: | 100ul | 产品价格: | ¥1980.0 |
| 产品编号 | bsm-34142M |
| 英文名称 | OCT2 Mouse mAb |
| 中文名称 | 阳离子转运蛋白2单克隆抗体 |
| 英文别名 | organic cation transporter OCT2; POU domain, class 2, transcription factor 2; Octamer-binding transcription factor 2; Oct-2; OTF-2; Lymphoid-restricted immunoglobulin octamer-binding protein NF-A2; POU2F2; NF A2; Oct 2; PO2F2_MOUSE; PO2F2_HUMAN. |
| 产品应用 | IHC-P=1:100-500, IF=1:100-500, IHC-F=1:100-500 Not yet tested in other applications. |
| 交叉反应 | Mouse, Human, lymphoid, spleen, spleen, spleen, spleen, human tonsil, human tonsil, human tonsil, human tonsil, human tonsil, human tonsil, human tonsil, spleen, spleen, spleen |
| 抗体来源 | Mouse |
| 免疫原 | KLH conjugated synthetic peptide derived from human OCT2 |
| 亚型 | IgG2b, Kappa |
| 性状 | Liquid |
| 纯化方法 | affinity purified by Protein A |
| 克隆类型 | Monoclonal |
| 理论分子量 | 51 kDa |
| 浓度 | 1mg/ml |
| 储存液 | Liquid in PBS containing 50% Glycerol, 0.5% BSA and 0.02% Proclin300. |
| 研究领域 | Epigenetics and Nuclear Signaling > Transcription > Domain Families > Developmental Families > OCT |
| 亚基 | Interacts with NR3C1, AR and PGR. |
| 亚细胞定位 | Cytoplasm. Nuclear |
| 组织特异性 | Isoform 3 is B-cell specific. Isoform 5 is expressed in B-cells and the immunoglobulin-expressing T-cell line Molt-4, but not in the T-cell line BW 5147. |
| 相似性 | Belongs to the POU transcription factor family. Class-2 subfamily. Contains 1 homeobox DNA-binding domain. Contains 1 POU-specific domain. |
| 功能 | Transcription factor that specifically binds to the octamer motif (5'-ATTTGCAT-3'). Regulates transcription in a number of tissues in addition to activating immunoglobulin gene expression. Modulates transcription transactivation by NR3C1, AR and PGR. Isoform 5 activates the U2 small nuclear RNA (snRNA) promoter. |
| 保存条件 | Shipped at 4℃. Store at -20℃ for one year. Avoid repeated freeze/thaw cycles. |
| 注意事项 | This product as supplied is intended for research use only, not for use in human, therapeutic or diagnostic applications. |
| 背景资料 | Oct2 is a transcription factor that specifically binds to the octamer motif (5'-ATTTGCAT-3'). Oct2 regulates transcription in a number of tissues in addition to activating immunoglobulin gene expression. It also modulates transcription transactivation by NR3C1, AR and PGR. Oct2 is B cell specific, belongs to the POU transcription factor family class 2 subfamily and contains 1 homeobox domain. |
| 应用 | 推荐稀释比例 |
| {IHC-P} | {1:100-500} |
| {IF} | {1:100-500} |
| {IHC-F} | {1:100-500} |

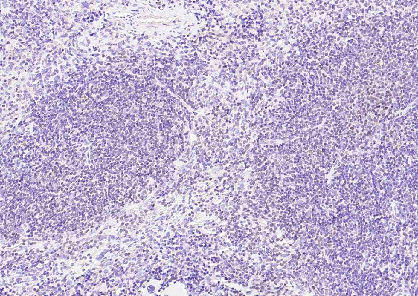
Paraformaldehyde-fixed, paraffin embedded (mouse lymphoid); Antigen retrieval by boiling in sodium citrate buffer (pH6.0) for 15min; Block endogenous peroxidase by 3% hydrogen peroxide for 20 minutes; Blocking buffer (normal goat serum) at 37°C for 30min; Incubation with (2-Oct) Monoclonal Antibody, Unconjugated (bsm-34142M) at 1:100 overnight at 4°C, followed by operating according to SP Kit(Mouse)(sp-0024) instructionsand DAB staining.

Paraformaldehyde-fixed, paraffin embedded (mouse spleen); Antigen retrieval by boiling in sodium citrate buffer (pH6.0) for 15min; Block endogenous peroxidase by 3% hydrogen peroxide for 20 minutes; Blocking buffer (normal goat serum) at 37°C for 30min; Incubation with (2-Oct) Monoclonal Antibody, Unconjugated (bsm-34142M) at 1:100 overnight at 4°C, followed by operating according to SP Kit(Mouse)(sp-0024) instructionsand DAB staining.

Paraformaldehyde-fixed, paraffin embedded (human tonsil); Antigen retrieval by boiling in sodium citrate buffer (pH6.0) for 15min; Block endogenous peroxidase by 3% hydrogen peroxide for 20 minutes; Blocking buffer (normal goat serum) at 37°C for 30min; Incubation with (2-Oct) Monoclonal Antibody, Unconjugated (bsm-34142M) at 1:100 overnight at 4°C, followed by operating according to SP Kit(Mouse)(sp-0024) instructionsand DAB staining.
风险提示:丁香通仅作为第三方平台,为商家信息发布提供平台空间。用户咨询产品时请注意保护个人信息及财产安全,合理判断,谨慎选购商品,商家和用户对交易行为负责。对于医疗器械类产品,请先查证核实企业经营资质和医疗器械产品注册证情况。
技术资料暂无技术资料 索取技术资料
OCT2 Mouse mAb(bsm-34142M)-50ul/100ul
¥1180 - 1980









