相关产品推荐更多 >

Focadhesin Rabbit pAb, HRP conjugated(bs-16158R-HRP)-100ul
¥2980
PCDHA1 Rabbit pAb(bs-11115R)-50ul/100ul/200ul
¥1180
phospho-IKB alpha (Ser32) Rabbit pAb, BF680 conjugated(bs-18128R-BF680)-100ul
¥2980
phospho-c-Kit (Tyr823) Rabbit pAb, BF647 conjugated(bs-12915R-BF647)-100ul
¥2980
SNAIL + SLUG Rabbit pAb, Cy5.5 conjugated(bs-11961R-Cy5.5)-100ul
¥2980
万千商家帮你免费找货
0 人在求购买到急需产品
- 详细信息
- 技术资料
- 应用范围:
产品信息以Bioss网站为准
- 规格:
50ul/100ul/25ul
| 规格: | 50ul | 产品价格: | ¥1400.0 |
|---|---|---|---|
| 规格: | 100ul | 产品价格: | ¥2500.0 |
| 规格: | 25ul | 产品价格: | ¥800.0 |
| 产品编号 | bsm-60003R |
| 英文名称 | EIF2S1 Recombinant Rabbit mAb |
| 中文名称 | 真核启动因子2α(eIFα2)兔单克隆抗体 |
| 英文别名 | EIF2A; CDA 02; CDA02; eIF 2 alpha; EIF 2; EIF 2A; EIF-2alpha; EIF2; EIF2alpha; eIF2S1; Eukaryotic Translation Initiation Factor 2 alpha; Eukaryotic translation initiation factor 2 subunit 1 alpha 35kDa; Eukaryotic translation initiation factor 2 subunit alpha; IF2A_HUMAN; eIF2α. |
| 产品应用 | WB=1:500-2000, IHC-P=1:200-1000, IHC-F=1:200-1000, IF=1:200-1000 Not yet tested in other applications. |
| 交叉反应 | Human, Mouse, Rat |
| 抗体来源 | Rabbit |
| 免疫原 | KLH conjugated synthetic peptide derived from human EIF2S1 |
| 亚型 | IgG |
| 性状 | Liquid |
| 纯化方法 | affinity purified by Protein A |
| 克隆类型 | Recombinant |
| 理论分子量 | 36 kDa |
| 浓度 | 1mg/ml |
| 储存液 | 0.01M TBS (pH7.4) with 1% BSA, 0.02% Proclin300 and 50% Glycerol. |
| 研究领域 | Epigenetics and Nuclear Signaling > DNA / RNA > RNA Processing > RNAi Epigenetics and Nuclear Signaling > DNA / RNA > Translation > Regulation Epigenetics and Nuclear Signaling > RNAi > Eukaryotic Initiation factors (eIF's) |
| 亚基 | Heterotrimer composed of an alpha, a beta and a gamma chain. Component of an EIF2 complex at least composed of CELF1/CUGBP1, CALR, CALR3, EIF2S1, EIF2S2, HSP90B1 and HSPA5. Interaction with METAP2 protects EIF2S1 from inhibitory phosphorylation. Interacts with ABCF1 isoform 2. Associates with ribosomes. |
| 亚细胞定位 | Cytoplasmic granule. Note=The cytoplasmic granules are stress granules which are a dense aggregation in the cytosol composed of proteins and RNAs that appear when the cell is under stress. Co-localizes with NANOS3 in the stress granules. |
| 翻译后修饰 | Substrate for at least 4 kinases: EIF2AK3/PERK, GCN2, HRI and PKR. Phosphorylation stabilizes the eIF-2/GDP/eIF-2B complex and prevents GDP/GTP exchange reaction, thus impairing the recycling of eIF-2 between successive rounds of initiation and leading to global inhibition of translation. In case of infection by vaccinia virus or rotavirus A, eIF2S1 phosphorylation state is modulated. |
| 相似性 | Belongs to the eIF-2-alpha family.
Contains 1 S1 motif domain. |
| 功能 | Functions in the early steps of protein synthesis by forming a ternary complex with GTP and initiator tRNA. This complex binds to a 40S ribosomal subunit, followed by mRNA binding to form a 43S preinitiation complex. Junction of the 60S ribosomal subunit to form the 80S initiation complex is preceded by hydrolysis of the GTP bound to eIF-2 and release of an eIF-2-GDP binary complex. In order for eIF-2 to recycle and catalyze another round of initiation, the GDP bound to eIF-2 must exchange with GTP by way of a reaction catalyzed by eIF-2B. |
| 保存条件 | Shipped at 4℃. Store at -20℃ for one year. Avoid repeated freeze/thaw cycles. |
| 注意事项 | This product as supplied is intended for research use only, not for use in human, therapeutic or diagnostic applications. |
| 背景资料 | eIF2 alpha is a 36 kDa protein which is ubiquitously expressed in many cell types. The eIF2 protein, which is composed of three subunits (alpha, beta and gamma), is one of the key molecules in the initiation of translation. In mammalian cells, eIF2 alpha is phosphorylated at serine 51 (human EIF2 alpha, the equivalent residue in mouse is serine 52) by at least two kinases: the haem-controlled repressor (HCR) and the interferon inducible double stranded RNA-dependent protein kinase (PKR). Phosphorylation of eIF2 alpha blocks the GDP-GTP exchange activity of eIF2 beta, resulting in the suppression of protein synthesis. The phosphorylation of eIF2 alpha is an important regulatory process in protein synthesis. |
| 应用 | 推荐稀释比例 |
| {WB} | {1:500-2000} |
| {IHC-P} | {1:200-1000} |
| {IHC-F} | {1:200-1000} |
| {IF} | {1:200-1000} |

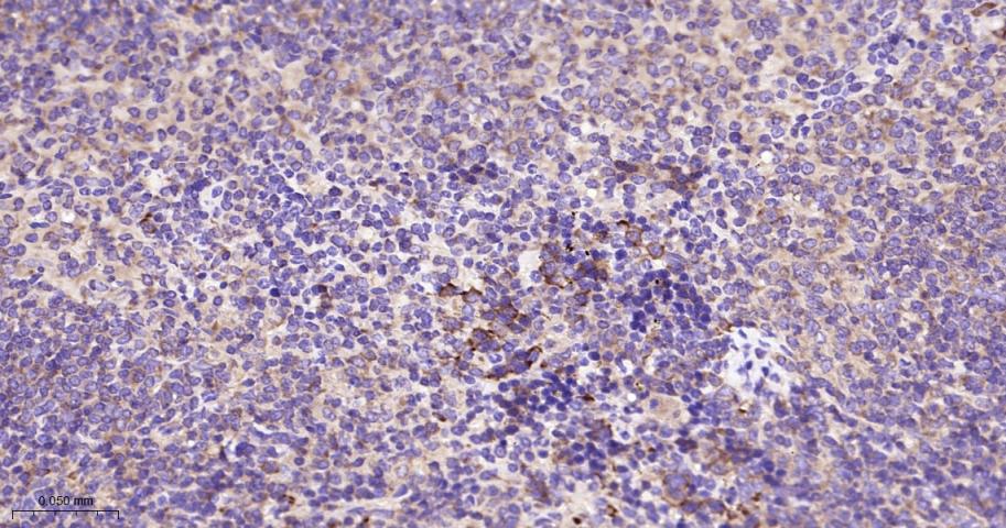
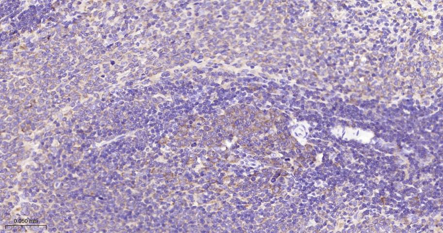
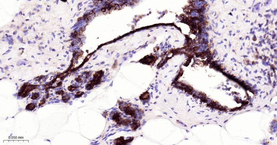
Paraformaldehyde-fixed, paraffin embedded Mouse Spleen; Antigen retrieval by boiling in sodium citrate buffer (pH6.0) for 15 min; The section was incubated with EIF2S1 Monoclonal Antibody, Unconjugated (bsm-60003R) at 1:600 overnight at 4°C, followed by conjugation to the bs-0295G-HRP and DAB (C-0010) staining.

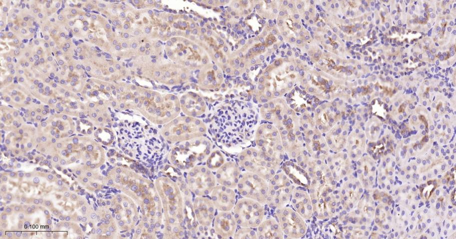
Paraformaldehyde-fixed, paraffin embedded Mouse Kidney; Antigen retrieval by boiling in sodium citrate buffer (pH6.0) for 15 min; The section was incubated with EIF2S1 Monoclonal Antibody, Unconjugated (bsm-60003R) at 1:600 overnight at 4°C, followed by conjugation to the bs-0295G-HRP and DAB (C-0010) staining.

Paraformaldehyde-fixed, paraffin embedded Rat Kidney; Antigen retrieval by boiling in sodium citrate buffer (pH6.0) for 15 min; The section was incubated with EIF2S1 Monoclonal Antibody, Unconjugated (bsm-60003R) at 1:600 overnight at 4°C, followed by conjugation to the bs-0295G-HRP and DAB (C-0010) staining.

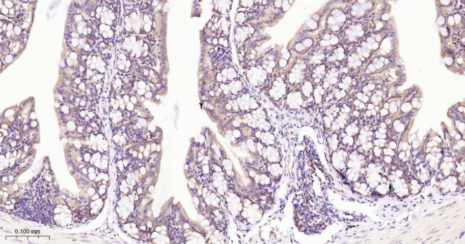
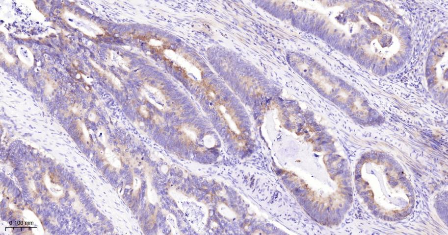
Paraformaldehyde-fixed, paraffin embedded Mouse Colon; Antigen retrieval by boiling in sodium citrate buffer (pH6.0) for 15 min; The section was incubated with EIF2S1 Monoclonal Antibody, Unconjugated (bsm-60003R) at 1:600 overnight at 4°C, followed by conjugation to the bs-0295G-HRP and DAB (C-0010) staining.

Paraformaldehyde-fixed, paraffin embedded Rat Colon; Antigen retrieval by boiling in sodium citrate buffer (pH6.0) for 15 min; The section was incubated with EIF2S1 Monoclonal Antibody, Unconjugated (bsm-60003R) at 1:600 overnight at 4°C, followed by conjugation to the bs-0295G-HRP and DAB (C-0010) staining.

Paraformaldehyde-fixed, paraffin embedded Human Colon; Antigen retrieval by boiling in sodium citrate buffer (pH6.0) for 15 min; The section was incubated with EIF2S1 Monoclonal Antibody, Unconjugated (bsm-60003R) at 1:600 overnight at 4°C, followed by conjugation to the bs-0295G-HRP and DAB (C-0010) staining.

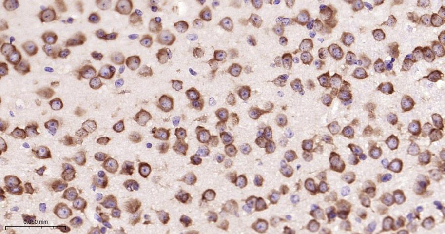
Paraformaldehyde-fixed, paraffin embedded Mouse Cerebrum; Antigen retrieval by boiling in sodium citrate buffer (pH6.0) for 15 min; The section was incubated with EIF2S1 Monoclonal Antibody, Unconjugated (bsm-60003R) at 1:600 overnight at 4°C, followed by conjugation to the bs-0295G-HRP and DAB (C-0010) staining.

Paraformaldehyde-fixed, paraffin embedded Rat Cerebrum; Antigen retrieval by boiling in sodium citrate buffer (pH6.0) for 15 min; The section was incubated with EIF2S1 Monoclonal Antibody, Unconjugated (bsm-60003R) at 1:600 overnight at 4°C, followed by conjugation to the bs-0295G-HRP and DAB (C-0010) staining.

Paraformaldehyde-fixed, paraffin embedded Rat Spleen; Antigen retrieval by boiling in sodium citrate buffer (pH6.0) for 15 min; The section was incubated with EIF2S1 Monoclonal Antibody, Unconjugated (bsm-60003R) at 1:600 overnight at 4°C, followed by conjugation to the bs-0295G-HRP and DAB (C-0010) staining.

Paraformaldehyde-fixed, paraffin embedded Rat Breast; Antigen retrieval by boiling in sodium citrate buffer (pH6.0) for 15 min; The section was incubated with EIF2S1 Monoclonal Antibody, Unconjugated (bsm-60003R) at 1:600 overnight at 4°C, followed by conjugation to the bs-0295G-HRP and DAB (C-0010) staining.

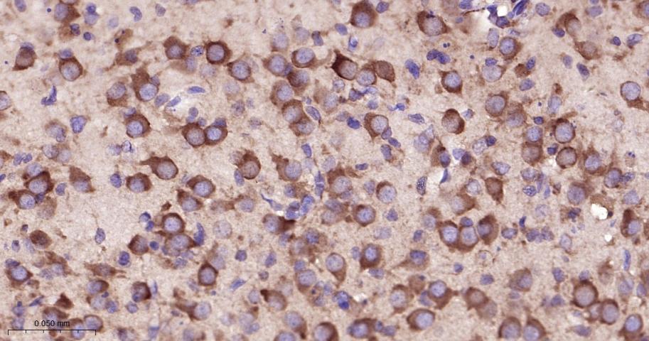
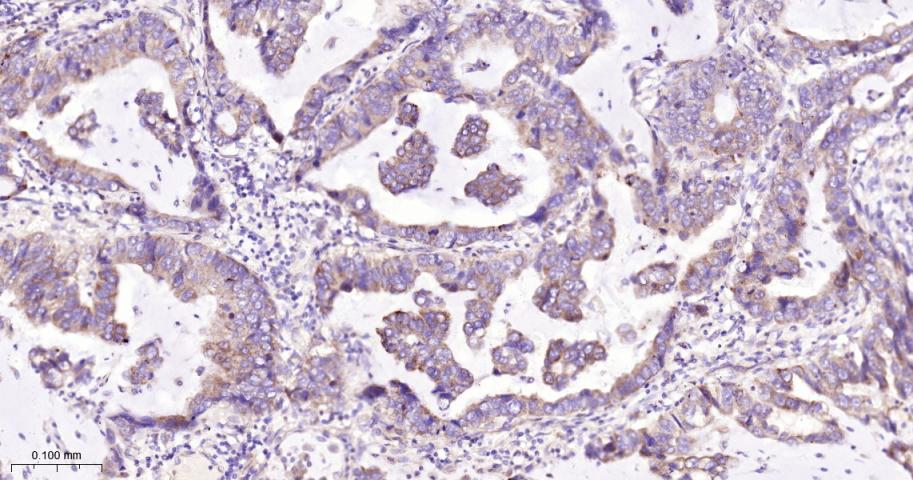
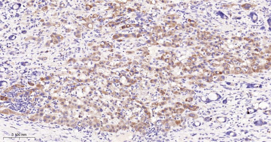
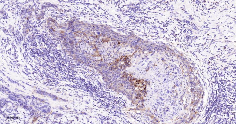
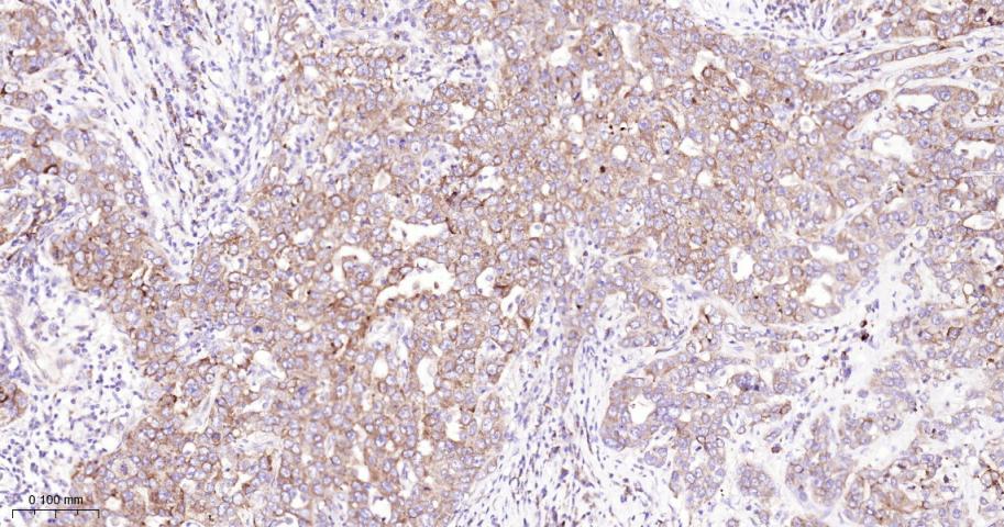
Paraformaldehyde-fixed, paraffin embedded Human Lung Cancer; Antigen retrieval by boiling in sodium citrate buffer (pH6.0) for 15 min; The section was incubated with EIF2S1 Monoclonal Antibody, Unconjugated (bsm-60003R) at 1:600 overnight at 4°C, followed by conjugation to the bs-0295G-HRP and DAB (C-0010) staining.

Paraformaldehyde-fixed, paraffin embedded Human Liver Cancer; Antigen retrieval by boiling in sodium citrate buffer (pH6.0) for 15 min; The section was incubated with EIF2S1 Monoclonal Antibody, Unconjugated (bsm-60003R) at 1:600 overnight at 4°C, followed by conjugation to the bs-0295G-HRP and DAB (C-0010) staining.

Paraformaldehyde-fixed, paraffin embedded Human Cervical Cancer; Antigen retrieval by boiling in sodium citrate buffer (pH6.0) for 15 min; The section was incubated with EIF2S1 Monoclonal Antibody, Unconjugated (bsm-60003R) at 1:600 overnight at 4°C, followed by conjugation to the bs-0295G-HRP and DAB (C-0010) staining.

Paraformaldehyde-fixed, paraffin embedded Human Colon Cancer; Antigen retrieval by boiling in sodium citrate buffer (pH6.0) for 15 min; The section was incubated with EIF2S1 Monoclonal Antibody, Unconjugated (bsm-60003R) at 1:600 overnight at 4°C, followed by conjugation to the bs-0295G-HRP and DAB (C-0010) staining.

Paraformaldehyde-fixed, paraffin embedded Human Breast Cancer; Antigen retrieval by boiling in sodium citrate buffer (pH6.0) for 15 min; The section was incubated with EIF2S1 Monoclonal Antibody, Unconjugated (bsm-60003R) at 1:600 overnight at 4°C, followed by conjugation to the bs-0295G-HRP and DAB (C-0010) staining.

25 ug total protein per lane of various lysates (see on figure) probed with EIF2S1 monoclonal antibody, unconjugated (bsm-60003R) at 1:1000 dilution and 4°C overnight incubation. Followed by conjugated secondary antibody incubation at r.t. for 60 min.
风险提示:丁香通仅作为第三方平台,为商家信息发布提供平台空间。用户咨询产品时请注意保护个人信息及财产安全,合理判断,谨慎选购商品,商家和用户对交易行为负责。对于医疗器械类产品,请先查证核实企业经营资质和医疗器械产品注册证情况。
技术资料暂无技术资料 索取技术资料
EIF2S1 Recombinant Rabbit mAb(bsm-60003R)-50ul/100ul/25ul
¥800 - 2500





