相关产品推荐更多 >

SLC25A25 Rabbit pAb, HRP conjugated(bs-19811R-HRP)-100ul
¥2980
phospho-SRF (Ser103) Rabbit pAb(bs-3409R)-50ul/100ul/200ul
¥1180
phospho-PKM2 (Tyr148) Rabbit pAb, PE-Cy5 conjugated(bs-20036R-PE-Cy5)-100ul
¥2980
Anti-human ERBB3/ HER3 (Patritumab-MMAE Biosimilar)(BIO0880SM)-1mg/5mg/20mg
¥3200
HSP90 alpha Rabbit pAb, Cy7 conjugated(bs-10100R-Cy7)-100ul
¥2980
万千商家帮你免费找货
0 人在求购买到急需产品
- 详细信息
- 文献和实验
- 技术资料
- 应用范围:
产品信息以Bioss网站为准
- 规格:
50ul/100ul/200ul
| 规格: | 50ul | 产品价格: | ¥1180.0 |
|---|---|---|---|
| 规格: | 100ul | 产品价格: | ¥1980.0 |
| 规格: | 200ul | 产品价格: | ¥2800.0 |
| 产品编号 | bs-25200R |
| 英文名称 | DGKH Rabbit pAb |
| 中文名称 | 甘油二酯激酶η/DGK-η抗体 |
| 英文别名 | DAG kinase eta; DGK eta; DGKH_HUMAN; Diacylglycerol kinase eta; Diglyceride kinase eta. |
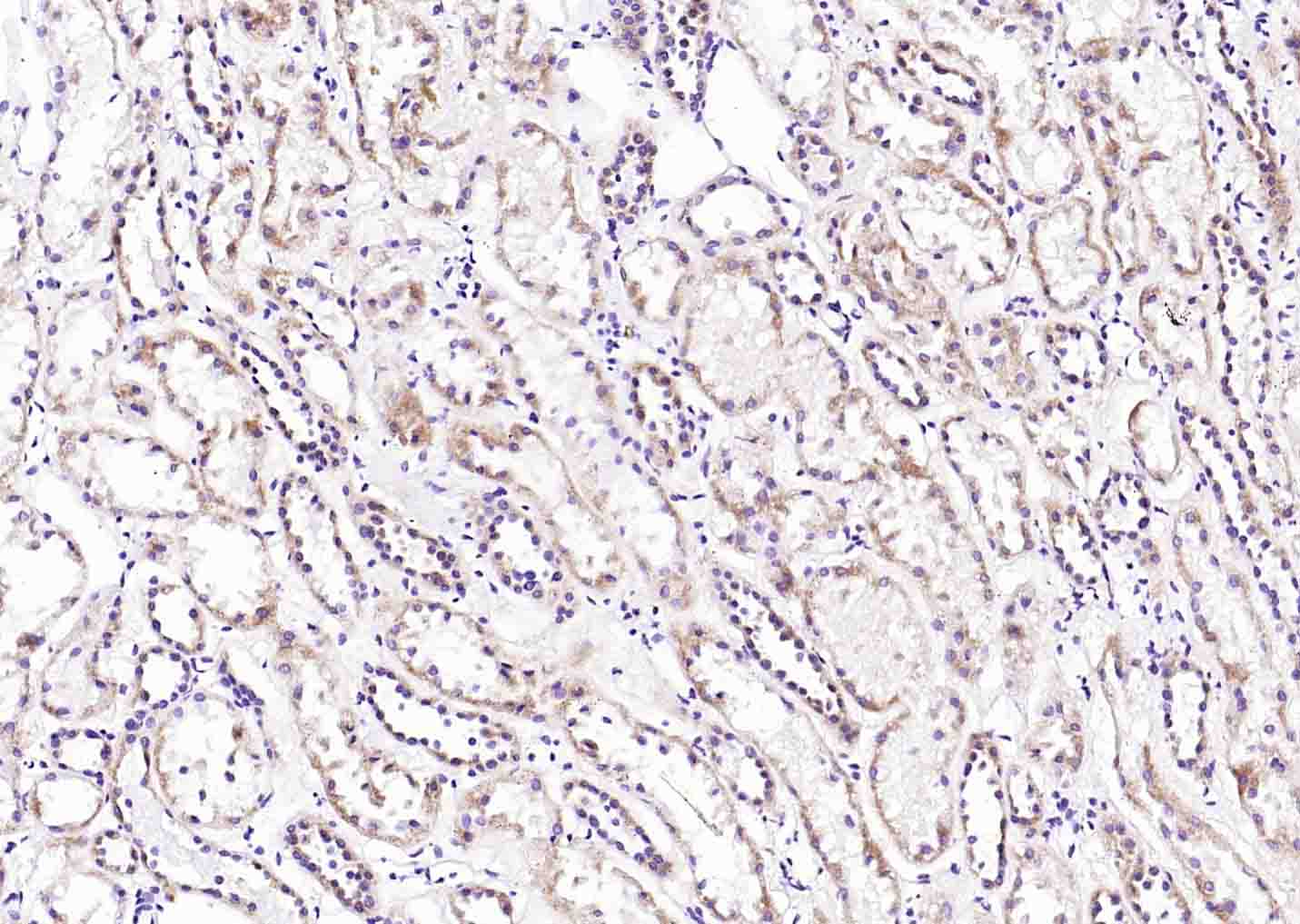
| 产品应用 | IHC-P=1:100-500, IHC-F=1:400-800, IF=1:100-500 Not yet tested in other applications. |
| 交叉反应 | Human, 肾 (Mouse, Rat, Dog, Pig, Cow, Horse, Rabbit) |
| 抗体来源 | Rabbit |
| 免疫原 | KLH conjugated synthetic peptide derived from human DGKH |
| 亚型 | IgG |
| 性状 | Liquid |
| 纯化方法 | affinity purified by Protein A |
| 克隆类型 | Polyclonal |
| 理论分子量 | 135 kDa |
| 浓度 | 1mg/ml |
| 储存液 | 0.01M TBS (pH7.4) with 1% BSA, 0.02% Proclin300 and 50% Glycerol. |
| 研究领域 | Signal Transduction > Protein Phosphorylation > Ser / Thr Kinases > PKC |
| 亚细胞定位 | Cytoplasm. Translocated from the cytoplasm to endosomes in response to stress stimuli. Isoform 2 is rapidly relocated back to the cytoplasm upon removal of stress stimuli, whereas isoform 1 exhibits sustained endosomal association. |
| 功能 | This gene encodes a member of the diacylglycerol kinase (DGK) enzyme family of proteins, specifically the type II DGK subfamily. Members of this family are involved in regulating the intracellular concentrations of diacylglycerol and phosphatidic acid. Two transcript variants encoding distinct isoforms have been identified for this gene. |
| 保存条件 | Shipped at 4℃. Store at -20℃ for one year. Avoid repeated freeze/thaw cycles. |
| 注意事项 | This product as supplied is intended for research use only, not for use in human, therapeutic or diagnostic applications. |
| 背景资料 | This gene encodes a member of the diacylglycerol kinase (DGK) enzyme family of proteins, specifically the type II DGK subfamily. Members of this family are involved in regulating the intracellular concentrations of diacylglycerol and phosphatidic acid. Alternatively spliced transcript variants encoding distinct isoforms have been identified for this gene. [provided by RefSeq, Mar 2011] |
| 应用 | 推荐稀释比例 |
| {IHC-P} | {1:100-500} |
| {IHC-F} | {1:400-800} |
| {IF} | {1:100-500} |

风险提示:丁香通仅作为第三方平台,为商家信息发布提供平台空间。用户咨询产品时请注意保护个人信息及财产安全,合理判断,谨慎选购商品,商家和用户对交易行为负责。对于医疗器械类产品,请先查证核实企业经营资质和医疗器械产品注册证情况。
文献和实验= NAL), appears to form upon oxidative cyclization of the nonfluorescent 2:1 lysine-HNE Michael adduct-Schiff base cross-link (Scheme 1). Polyclonal antibody (PAb) to the NAL-HNE fluorophore was raised in rabbit and found to be highly specific
Expanding Mouse Ventricular Cardiomyocytes Through GSK‐3 Inhibition
0.25% trypsin/EDTA (Invitrogen, cat. no. 25200‐056) Fetal bovine serum (FBS; Gemini Bioproducts, cat. no. 100‐500)
GE Healthcare Benzamidine Sepharose™ 6B is p-aminobenzamidine covalently attached to Sepharose 6B by the epoxy coupling method. p-Aminobenzamidine (PAB), is a synthetic inhibitor of trypsin-like serine protease. Trypsin and trypsin
技术资料暂无技术资料 索取技术资料





