相关产品推荐更多 >
万千商家帮你免费找货
0 人在求购买到急需产品
- 详细信息
- 文献和实验
- 技术资料
- 应用范围:
产品信息以Bioss网站为准
- 规格:
50ul/100ul/25ul
| 规格: | 50ul | 产品价格: | ¥1400.0 |
|---|---|---|---|
| 规格: | 100ul | 产品价格: | ¥2500.0 |
| 规格: | 25ul | 产品价格: | ¥800.0 |
| 产品编号 | bsm-60449M |
| 英文名称 | 14-3-3 sigma Recombinant Mouse mAb |
| 中文名称 | 14-3-3 sigma重组鼠单抗 |
| 英文别名 | 14 3 3 protein sigma; 14-3-3 protein sigma; 1433S_HUMAN; Epithelial cell marker protein 1; Er; HME 1; HME1; MGC143283; Mkrn3; Mme1; OTTHUMP00000004242; RP23 137L22.11; SFN; SFN protein; Stratifin; YWHAS. |
| 产品应用 | WB=1:500-2000, IHC-P=1:50-100, IHC-F=1:400-800, IF=1:100-500 Not yet tested in other applications. |
| 交叉反应 | Human |
| 抗体来源 | Mouse |
| 免疫原 | KLH conjugated synthetic peptide derived from human 14-3-3 sigma |
| 亚型 | IgG1, Kappa |
| 性状 | Liquid |
| 纯化方法 | affinity purified by Protein G |
| 克隆类型 | Recombinant |
| 理论分子量 | 28 kDa |
| 浓度 | 1mg/ml |
| 储存液 | 0.01M TBS (pH7.4) with 1% BSA, 0.02% Proclin300 and 50% Glycerol. |
| 研究领域 | Neuroscience > Cell Type Marker > Neuron marker > Synapse marker Neuroscience > Neurology process > Neural Signal Transduction Signal Transduction > Adapters > Cytoplasmic Stem Cells > Signaling Pathways > Wnt > 14-3-3 |
| 亚基 | Homodimer. Interacts with KRT17 and SAMSN1 (By similarity). Found in a complex with XPO7, EIF4A1, ARHGAP1, VPS26A, VPS29, VPS35 and SFN. Interacts with GAB2. Interacts with SRPK2. Interacts with COPS6. Interacts with RFWD2; this interaction leads to proteasomal degradation. |
| 亚细胞定位 | Cytoplasm. Nucleus. Secreted. May be secreted by a non-classical secretory pathway. |
| 组织特异性 | Present mainly in tissues enriched in stratified squamous keratinizing epithelium. |
| 相似性 | Belongs to the 14-3-3 family. |
| 功能 | Adapter protein implicated in the regulation of a large spectrum of both general and specialized signaling pathways. Binds to a large number of partners, usually by recognition of a phosphoserine or phosphothreonine motif. Binding generally results in the modulation of the activity of the binding partner. When bound to KRT17, regulates protein synthesis and epithelial cell growth by stimulating Akt/mTOR pathway. p53-regulated inhibitor of G2/M progression. |
| 保存条件 | Shipped at 4℃. Store at -20℃ for one year. Avoid repeated freeze/thaw cycles. |
| 注意事项 | This product as supplied is intended for research use only, not for use in human, therapeutic or diagnostic applications. |
| 背景资料 | This gene encodes a cell cycle checkpoint protein. The encoded protein binds to translation and initiation factors and functions as a regulator of mitotic translation. In response to DNA damage this protein plays a role in preventing DNA errors during mitosis. [provided by RefSeq, Aug 2017] |
| 应用 | 推荐稀释比例 |
| {WB} | {1:500-2000} |
| {IHC-P} | {1:50-100} |
| {IHC-F} | {1:400-800} |
| {IF} | {1:100-500} |

Primary ab dilution: 1:1000
Primary ab incubation condition: room temperature 2h
Secondary ab: Goat Anti-Mouse IgG H&L (HRP)
Lysate: HeLa, MCF-7
Protein loading quantity: 20 μg
Exposure time: 60 s
Predicted MW: 28 kDa
Observed MW: 28 kDa

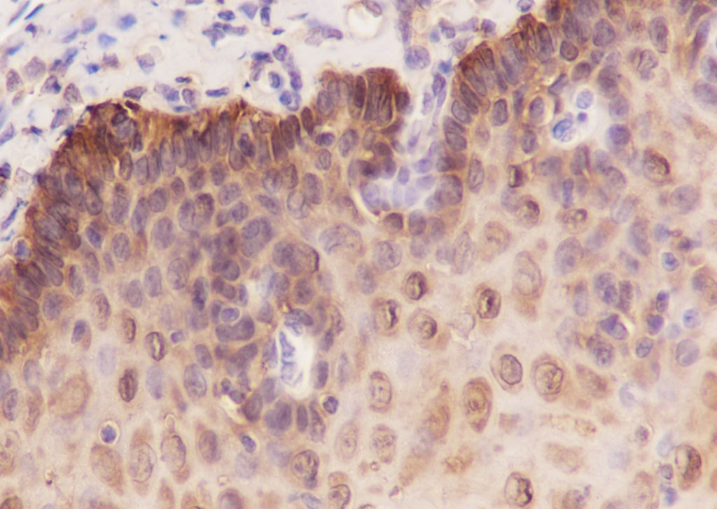
Section type: Formalin fixed & Paraffin -embedded section
Retrieval method: High temperature and high pressure
Retrieval buffer: Tris/EDTA buffer, pH 9.0 Primary ab dilution: 1:100
Primary ab incubation condition: 1 hour at room temperature
Secondary ab:SP Kit(Mouse)(sp-0024)
Counter stain: Hematoxylin (Blue)
Comment: Color brown is the positive signal for bsm-60449M

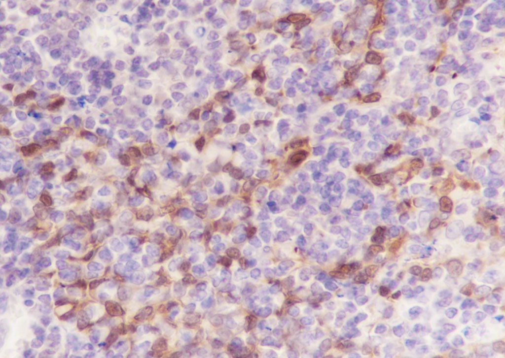
Section type: Formalin fixed & Paraffin -embedded section
Retrieval method: High temperature and high pressure
Retrieval buffer: Tris/EDTA buffer, pH 9.0 Primary ab dilution: 1:100
Primary ab incubation condition: 1 hour at room temperature
Secondary ab: SP Kit(Mouse)(sp-0024)
Counter stain: Hematoxylin (Blue)
Comment: Color brown is the positive signal for bsm-60449M
风险提示:丁香通仅作为第三方平台,为商家信息发布提供平台空间。用户咨询产品时请注意保护个人信息及财产安全,合理判断,谨慎选购商品,商家和用户对交易行为负责。对于医疗器械类产品,请先查证核实企业经营资质和医疗器械产品注册证情况。
文献和实验T-Cell Activation Using mAb to CD3
-0031 , or Purified, Cat. No. 14-0031 ) Complete RPMI-1640 Sterile single-cell suspension of mouse spleen or lymph nodes 96-well flat-bottom microtiter plates with lids (Costar Cat. No. 3596) MTT Buffer MTT Lysing Solution
Expression of Recombinant Antibodies in Mammalian Cell Lines
Since the advent of hybridoma technology, mammalian-cell culture has been employed for the expression and high-level production of monoclonal antibodies (MAbs). Recent adaptations in recombinant technology have developed the use of numerous
to 10 ml EMEM + 4% FBS. Filter sterilize with 0.2μm filter and aliquot at 0.5 ml/tube; store at 20°C. Add 0.5 ml of 10-7 M cholera toxin per 500 ml bottle of EMEM (final conc’n = 10-10 M). T3 (3,3’,5-triiodo-L-thyronine) Sigma, cat # T
技术资料暂无技术资料 索取技术资料








