相关产品推荐更多 >
万千商家帮你免费找货
0 人在求购买到急需产品
- 详细信息
- 技术资料
- 应用范围:
产品信息以Bioss网站为准
- 规格:
50ul/100ul/25ul
| 规格: | 50ul | 产品价格: | ¥1400.0 |
|---|---|---|---|
| 规格: | 100ul | 产品价格: | ¥2500.0 |
| 规格: | 25ul | 产品价格: | ¥800.0 |
| 产品编号 | bsm-60580R |
| 英文名称 | KDM4B Recombinant Rabbit mAb |
| 中文名称 | 赖氨酸特异性脱甲基酶4B重组兔单抗 |
| 英文别名 | KDM4B_HUMAN; Lysine-specific demethylase 4B; JHDM3B; JMJD2B; KIAA0876; EC:1.14.11.66; JmjC domain-containing histone demethylation protein 3B; Jumonji domain-containing protein 2B; [histone H3]-trimethyl-L-lysine(9) demethylase 4B; lysine demethylase 4B; MRD65; TDRD14B |
| 产品应用 | WB=1:500-2000, ICC/IF=1:50-200, Flow-Cyt=1:50-100, IHC-P=1:50-200, IHC-F=1:50-200, IF=1:50-200 Not yet tested in other applications. |
| 交叉反应 | Human, Mouse, Rat |
| 抗体来源 | Rabbit |
| 亚型 | IgG |
| 性状 | Liquid |
| 纯化方法 | affinity purified by Protein A |
| 克隆类型 | Recombinant |
| 理论分子量 | 122 kDa |
| 浓度 | 1mg/ml |
| 储存液 | 0.01M TBS (pH7.4) with 1% BSA, 0.02% Proclin300 and 50% Glycerol. |
| 亚细胞定位 | Nucleus. Chromosome. Associates with euchromatic regions. Does not associate with heterochromatin. |
| 组织特异性 | Expressed in all tissues examined, with high levels in fetal liver, thymus, lymph node, spleen and peripheral blood leukocytes and lower level in bone marrow. |
| 翻译后修饰 | Methylated at Lys-185; automethylated. |
| 相似性 | Belongs to the JHDM3 histone demethylase family. Contains 1 JmjC domain. Contains 1 JmjN domain. Contains 2 PHD-type zinc fingers. Contains 2 Tudor domains. |
| 功能 | Histone demethylase that specifically demethylates 'Lys-9' of histone H3, thereby playing a role in histone code. Does not demethylate histone H3 'Lys-4', H3 'Lys-27', H3 'Lys-36' nor H4 'Lys-20'. Only able to demethylate trimethylated H3 'Lys-9', with a weaker activity than KDM4A, KDM4C and KDM4D. Demethylation of Lys residue generates formaldehyde and succinate. |
| 保存条件 | Shipped at 4℃. Store at -20℃ for one year. Avoid repeated freeze/thaw cycles. |
| 注意事项 | This product as supplied is intended for research use only, not for use in human, therapeutic or diagnostic applications. |
| 背景资料 | Enables histone H3-methyl-lysine-36 demethylase activity and histone H3-methyl-lysine-9 demethylase activity. Involved in histone H3-K36 demethylation and histone H3-K9 demethylation. Located in cytosol and nucleoplasm. Implicated in autosomal dominant non-syndromic intellectual disability; breast cancer; colorectal cancer; malignant peripheral nerve sheath tumor; and stomach cancer. Biomarker of several diseases, including alopecia areata; lung cancer; medulloblastoma; prostate cancer; and stomach cancer. [provided by Alliance of Genome Resources, Apr 2022] |
| 应用 | 推荐稀释比例 |
| {WB} | {1:500-2000} |
| {ICC/IF} | {1:50-200} |
| {Flow-Cyt} | {1:50-100} |
| {IHC-P} | {1:50-200} |
| {IHC-F} | {1:50-200} |
| {IF} | {1:50-200} |

4% Paraformaldehyde-fixed LNCaP (H) cell; Triton X-100 at r.t. for 20 min; Antibody incubation with (KDM4B) monoclonal Antibody, unconjugated (bsm-60580R) 1:100, 90 min at 37°C; followed by conjugated Goat Anti-Rabbit IgG antibody (green, bs-60295G-BF488) at 37°C for 90 min, DAPI (blue, C02-04002) was used to stain the cell nuclei. PBS instead of the primary antibody was used as the blank control.

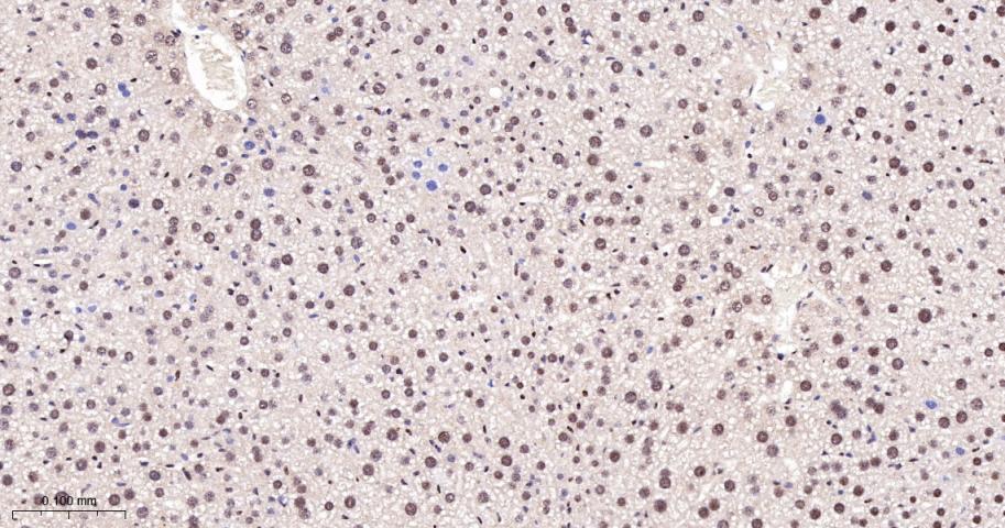
Paraformaldehyde-fixed, paraffin embedded Mouse Liver; Antigen retrieval by boiling in sodium citrate buffer (pH6.0) for 15 min; The section was incubated with KDM4B Monoclonal Antibody, Unconjugated (bsm-60580R) at 1:200 overnight at 4°C, followed by conjugation to the bs-0295G-HRP and DAB (C-0010) staining.

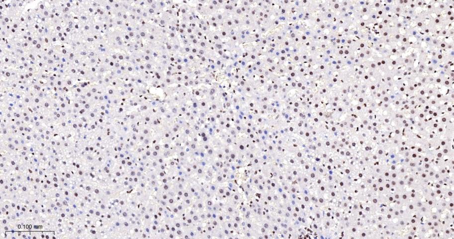
Paraformaldehyde-fixed, paraffin embedded Rat Liver; Antigen retrieval by boiling in sodium citrate buffer (pH6.0) for 15 min; The section was incubated with KDM4B Monoclonal Antibody, Unconjugated (bsm-60580R) at 1:200 overnight at 4°C, followed by conjugation to the bs-0295G-HRP and DAB (C-0010) staining.

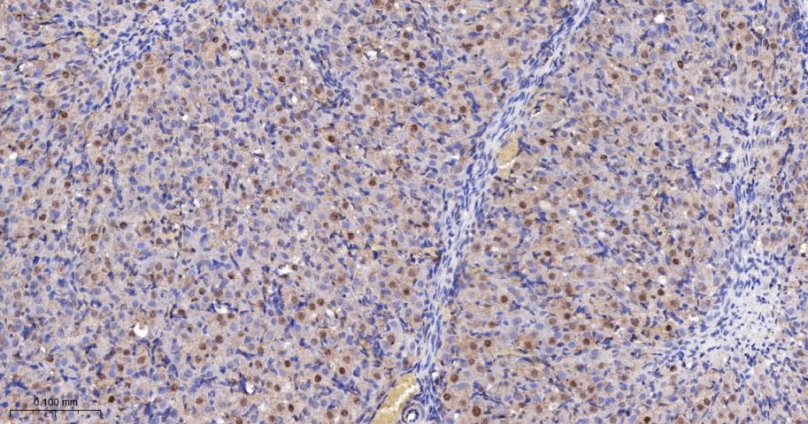
Paraformaldehyde-fixed, paraffin embedded Mouse Ovary; Antigen retrieval by boiling in sodium citrate buffer (pH6.0) for 15 min; The section was incubated with KDM4B Monoclonal Antibody, Unconjugated (bsm-60580R) at 1:200 overnight at 4°C, followed by conjugation to the bs-0295G-HRP and DAB (C-0010) staining.

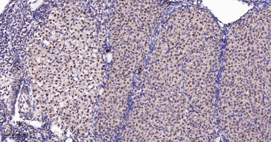
Paraformaldehyde-fixed, paraffin embedded Rat Ovary; Antigen retrieval by boiling in sodium citrate buffer (pH6.0) for 15 min; The section was incubated with KDM4B Monoclonal Antibody, Unconjugated (bsm-60580R) at 1:200 overnight at 4°C, followed by conjugation to the bs-0295G-HRP and DAB (C-0010) staining.

Paraformaldehyde-fixed, paraffin embedded Human Ovary; Antigen retrieval by boiling in sodium citrate buffer (pH6.0) for 15 min; The section was incubated with KDM4B Monoclonal Antibody, Unconjugated (bsm-60580R) at 1:200 overnight at 4°C, followed by conjugation to the bs-0295G-HRP and DAB (C-0010) staining.

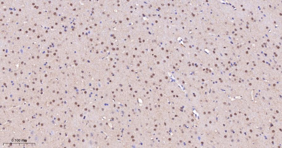
Paraformaldehyde-fixed, paraffin embedded Mouse Cerebrum; Antigen retrieval by boiling in sodium citrate buffer (pH6.0) for 15 min; The section was incubated with KDM4B Monoclonal Antibody, Unconjugated (bsm-60580R) at 1:200 overnight at 4°C, followed by conjugation to the bs-0295G-HRP and DAB (C-0010) staining.

Paraformaldehyde-fixed, paraffin embedded Rat Cerebrum; Antigen retrieval by boiling in sodium citrate buffer (pH6.0) for 15 min; The section was incubated with KDM4B Monoclonal Antibody, Unconjugated (bsm-60580R) at 1:200 overnight at 4°C, followed by conjugation to the bs-0295G-HRP and DAB (C-0010) staining.

Paraformaldehyde-fixed, paraffin embedded Human Cerebrum; Antigen retrieval by boiling in sodium citrate buffer (pH6.0) for 15 min; The section was incubated with KDM4B Monoclonal Antibody, Unconjugated (bsm-60580R) at 1:200 overnight at 4°C, followed by conjugation to the bs-0295G-HRP and DAB (C-0010) staining.

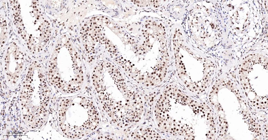
Paraformaldehyde-fixed, paraffin embedded Human Testicles; Antigen retrieval by boiling in sodium citrate buffer (pH6.0) for 15 min; The section was incubated with KDM4B Monoclonal Antibody, Unconjugated (bsm-60580R) at 1:200 overnight at 4°C, followed by conjugation to the bs-0295G-HRP and DAB (C-0010) staining.

Paraformaldehyde-fixed, paraffin embedded Human Breast; Antigen retrieval by boiling in sodium citrate buffer (pH6.0) for 15 min; The section was incubated with KDM4B Monoclonal Antibody, Unconjugated (bsm-60580R) at 1:200 overnight at 4°C, followed by conjugation to the bs-0295G-HRP and DAB (C-0010) staining.

25 ug total protein per lane of various lysates (see on figure) probed with KDM4B monoclonal antibody, unconjugated (bsm-60580R) at 1:1000 dilution and 4°C overnight incubation. Followed by conjugated secondary antibody incubation at r.t. for 60 min.
风险提示:丁香通仅作为第三方平台,为商家信息发布提供平台空间。用户咨询产品时请注意保护个人信息及财产安全,合理判断,谨慎选购商品,商家和用户对交易行为负责。对于医疗器械类产品,请先查证核实企业经营资质和医疗器械产品注册证情况。
技术资料暂无技术资料 索取技术资料
KDM4B Recombinant Rabbit mAb(bsm-60580R)-50ul/100ul/25ul
¥800 - 2500








