相关产品推荐更多 >

beta I Tubulin Mouse mAb, Biotin conjugated(bsm-33041M-Bio)-100ul
¥2980
Gbx1 Rabbit pAb, PerCP-Cy7 conjugated(bs-11660R-PerCP-Cy7)-100ul
¥2980
PROK2 Rabbit pAb, HRP conjugated(bs-5784R-HRP)-100ul
¥2980
ID1 Rabbit pAb, PE-Cy5.5 conjugated(bs-6541R-PE-Cy5.5)-100ul
¥2980
Anti-human ROR1 (Zilovertamab Biosimilar)(BIO0072SM)-1mg/5mg/20mg
¥1550
万千商家帮你免费找货
0 人在求购买到急需产品
- 详细信息
- 技术资料
- 应用范围:
产品信息以Bioss网站为准
- 规格:
50ul/100ul/25ul
| 规格: | 50ul | 产品价格: | ¥1400.0 |
|---|---|---|---|
| 规格: | 100ul | 产品价格: | ¥2500.0 |
| 规格: | 25ul | 产品价格: | ¥800.0 |
| 产品编号 | bsm-60686R |
| 英文名称 | EEF1A1 Recombinant Rabbit mAb |
| 中文名称 | 翻译延伸因子EF-1a重组兔单抗 |
| 英文别名 | Elongation factor 1-alpha 1; EF-1-alpha-1; Elongation factor Tu(EF-Tu); Eukaryotic elongation factor 1 A-1(eEF1A-1); Leukocyte receptor cluster member 7; EF1A1_HUMAN; EEF1A; EF1A; LENG7; |
| 产品应用 | WB=1:500-2000, IHC-P=1:50-200, IHC-F=1:50-200, IF=1:50-200 Not yet tested in other applications. |
| 交叉反应 | Human, Mouse, Rat |
| 抗体来源 | Rabbit |
| 免疫原 | KLH conjugated synthetic peptide derived from human eEF1a1 |
| 亚型 | IgG |
| 性状 | Liquid |
| 纯化方法 | affinity purified by Protein A |
| 克隆类型 | Recombinant |
| 理论分子量 | 50 kDa |
| 浓度 | 1mg/ml |
| 储存液 | 0.01M TBS (pH7.4) with 1% BSA, 0.02% Proclin300 and 50% Glycerol. |
| 研究领域 | Cancer > Oncoproteins/suppressors > Oncoproteins > Transcription factors Epigenetics and Nuclear Signaling > DNA / RNA > Translation > Ribosome Epigenetics and Nuclear Signaling > DNA / RNA > Translation > tRNAs |
| 亚细胞定位 | Cytoplasm. |
| 组织特异性 | Brain, placenta, lung, liver, kidney, pancreas but barely detectable in heart and skeletal muscle |
| 翻译后修饰 | ISGylated. |
| 相似性 | Belongs to the GTP-binding elongation factor family. EF-Tu/EF-1A subfamily. |
| 功能 | This protein promotes the GTP-dependent binding of aminoacyl-tRNA to the A-site of ribosomes during protein biosynthesis. |
| 保存条件 | Shipped at 4℃. Store at -20℃ for one year. Avoid repeated freeze/thaw cycles. |
| 注意事项 | This product as supplied is intended for research use only, not for use in human, therapeutic or diagnostic applications. |
| 背景资料 | This gene encodes an isoform of the alpha subunit of the elongation factor-1 complex, which is responsible for the enzymatic delivery of aminoacyl tRNAs to the ribosome. This isoform (alpha 1) is expressed in brain, placenta, lung, liver, kidney, and pancreas, and the other isoform (alpha 2) is expressed in brain, heart and skeletal muscle. This isoform is identified as an autoantigen in 66% of patients with Felty syndrome. This gene has been found to have multiple copies on many chromosomes, some of which, if not all, represent different pseudogenes. [provided by RefSeq, Jul 2008] |
| 应用 | 推荐稀释比例 |
| {WB} | {1:500-2000} |
| {IHC-P} | {1:50-200} |
| {IHC-F} | {1:50-200} |
| {IF} | {1:50-200} |

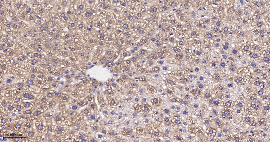
Paraformaldehyde-fixed, paraffin embedded Mouse Liver; Antigen retrieval by boiling in sodium citrate buffer (pH6.0) for 15 min; The section was incubated with EEF1A1 Monoclonal Antibody, Unconjugated (bsm-60686R) at 1:200 overnight at 4°C, followed by conjugation to the bs-0295G-HRP and DAB (C-0010) staining.

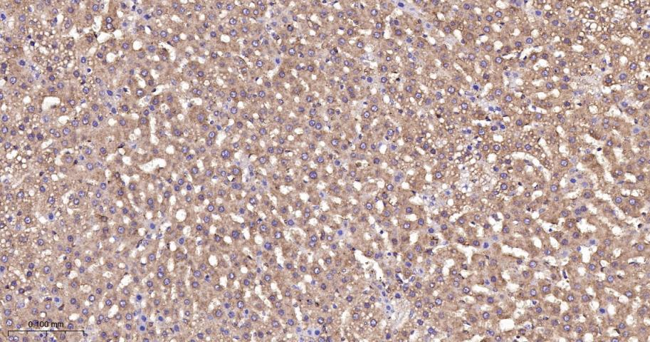
Paraformaldehyde-fixed, paraffin embedded Rat Liver; Antigen retrieval by boiling in sodium citrate buffer (pH6.0) for 15 min; The section was incubated with EEF1A1 Monoclonal Antibody, Unconjugated (bsm-60686R) at 1:200 overnight at 4°C, followed by conjugation to the bs-0295G-HRP and DAB (C-0010) staining.

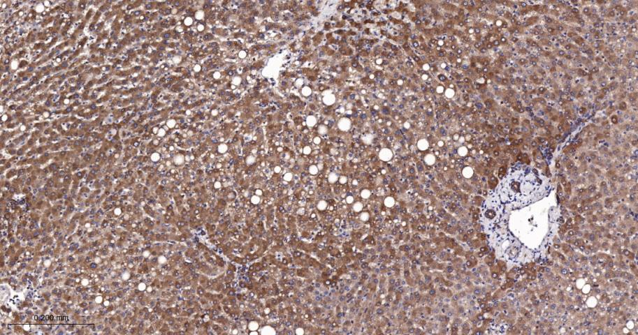
Paraformaldehyde-fixed, paraffin embedded Human Liver; Antigen retrieval by boiling in sodium citrate buffer (pH6.0) for 15 min; The section was incubated with EEF1A1 Monoclonal Antibody, Unconjugated (bsm-60686R) at 1:200 overnight at 4°C, followed by conjugation to the bs-0295G-HRP and DAB (C-0010) staining.

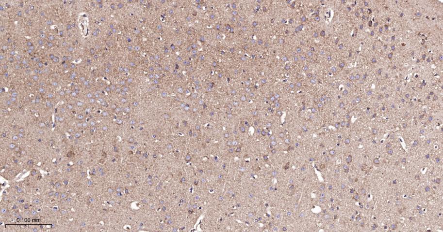
Paraformaldehyde-fixed, paraffin embedded Mouse Cerebrum; Antigen retrieval by boiling in sodium citrate buffer (pH6.0) for 15 min; The section was incubated with EEF1A1 Monoclonal Antibody, Unconjugated (bsm-60686R) at 1:200 overnight at 4°C, followed by conjugation to the bs-0295G-HRP and DAB (C-0010) staining.

Paraformaldehyde-fixed, paraffin embedded Rat Cerebrum; Antigen retrieval by boiling in sodium citrate buffer (pH6.0) for 15 min; The section was incubated with EEF1A1 Monoclonal Antibody, Unconjugated (bsm-60686R) at 1:200 overnight at 4°C, followed by conjugation to the bs-0295G-HRP and DAB (C-0010) staining.

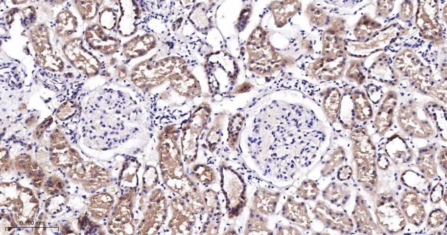
Paraformaldehyde-fixed, paraffin embedded Mouse Kidney; Antigen retrieval by boiling in sodium citrate buffer (pH6.0) for 15 min; The section was incubated with EEF1A1 Monoclonal Antibody, Unconjugated (bsm-60686R) at 1:200 overnight at 4°C, followed by conjugation to the bs-0295G-HRP and DAB (C-0010) staining.

Paraformaldehyde-fixed, paraffin embedded Rat Kidney; Antigen retrieval by boiling in sodium citrate buffer (pH6.0) for 15 min; The section was incubated with EEF1A1 Monoclonal Antibody, Unconjugated (bsm-60686R) at 1:200 overnight at 4°C, followed by conjugation to the bs-0295G-HRP and DAB (C-0010) staining.

Paraformaldehyde-fixed, paraffin embedded Human Kidney; Antigen retrieval by boiling in sodium citrate buffer (pH6.0) for 15 min; The section was incubated with EEF1A1 Monoclonal Antibody, Unconjugated (bsm-60686R) at 1:200 overnight at 4°C, followed by conjugation to the bs-0295G-HRP and DAB (C-0010) staining.

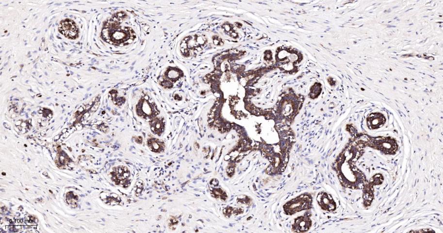
Paraformaldehyde-fixed, paraffin embedded Human Breast Cancer; Antigen retrieval by boiling in sodium citrate buffer (pH6.0) for 15 min; The section was incubated with EEF1A1 Monoclonal Antibody, Unconjugated (bsm-60686R) at 1:200 overnight at 4°C, followed by conjugation to the bs-0295G-HRP and DAB (C-0010) staining.
风险提示:丁香通仅作为第三方平台,为商家信息发布提供平台空间。用户咨询产品时请注意保护个人信息及财产安全,合理判断,谨慎选购商品,商家和用户对交易行为负责。对于医疗器械类产品,请先查证核实企业经营资质和医疗器械产品注册证情况。
技术资料暂无技术资料 索取技术资料
EEF1A1 Recombinant Rabbit mAb(bsm-60686R)-50ul/100ul/25ul
¥800 - 2500





