相关产品推荐更多 >
万千商家帮你免费找货
0 人在求购买到急需产品
- 详细信息
- 技术资料
- 免疫原:
Recombinant protein
- 形态:
liquid
- 保存条件:
Store at -20˚C
- 克隆性:
Monoclonal antibody
- 适应物种:
Human;Mouse;Rat
- 保质期:
12 months
- 抗原来源:
Recombinant Rabbit
- 供应商:
南京赛戈巍生物科技有限公司
- 宿主:
Recombinant Rabbit
- 应用范围:
WB,ICC,IF,IHC,FC,IP
- 靶点:
Uniprot:P68104
- 抗体英文名:
eEF1A1 Rabbit mAb
- 规格:
50ul/100ul
CCS3 antibody
Cervical cancer suppressor 3 antibody
chunp6927 antibody
CTCL tumor antigen antibody
EE1A1 antibody
EEF 1 antibody
EEF1A antibody
eEF1A-1 antibody
EEF1A1 antibody
EF-1-alpha-1 antibody
EF-Tu antibody
EF1A antibody
EF1a like protein antibody
EF1A1_HUMAN antibody
Elongation factor 1 alpha subunit antibody
Elongation factor 1-alpha 1 antibody
Elongation factor Tu antibody
Eukaryotic elongation factor 1 A-1 antibody
Eukaryotic translation elongation factor 1 alpha 1 antibody
Eukaryotic translation elongation factor 1 alpha 1 like 14 antibody
Glucocorticoid receptor AF 1 specific elongation factor antibody
GRAF 1EF antibody
HNGC:16303 antibody
ik:tdsubc_2a3 antibody
ik:tdsubc_2b3 antibody
LENG7 antibody
Leukocyte receptor cluster (LRC) member 7 antibody
Leukocyte receptor cluster member 7 antibody
Prostate tumor inducing protein 1 antibody
PTI1 antibody
tdsubc_2a3 antibody
Translation elongation factor 1 alpha 1 like 14 antibody
wu:fa91c07 antibody
wu:fa94b03 antibody
wu:fi13b09 antibody
xx:tdsubc_2a3 antibody
xx:tdsubc_2b3 antibody
计算分子量:50 kDa
配方:1*TBS (pH7.4), 1%BSA, 40%Glycerol. Preservative: 0.05% Sodium Azide.
应用详情:WB: 1:500-1:1,000
IHC: 1:50-1:200
ICC: 1:50-1:200
FC: 1:50-1:100
图片:
![eEF1A1 Rabbit mAb[49856]](https://img1.dxycdn.com/p/s14/2025/0923/874/6507510925511240791.jpg)
Western blot analysis of eEF1A1 on different lysates using anti-eEF1A1 antibody at 1/500 dilution.
Positive control:
Lane 1: Rat brain tissue
Lane 2: Mouse skeletal muscle
Lane 3: Mouse cerebellum
Lane 4: Rat skin
Lane 5: Daudi
,
![eEF1A1 Rabbit mAb[49856]](https://img1.dxycdn.com/p/s14/2025/0923/464/4684086129411240791.jpg)
Immunohistochemical analysis of paraffin-embedded rat skeletal muscle tissue using anti-eEF1A1 antibody. Counter stained with hematoxylin.
,
![eEF1A1 Rabbit mAb[49856]](https://img1.dxycdn.com/p/s14/2025/0923/070/6372713332511240791.jpg)
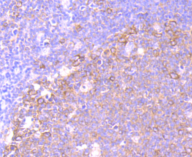
Immunohistochemical analysis of paraffin-embedded human tonsil tissue using anti-eEF1A1 antibody. Counter stained with hematoxylin.
,
![eEF1A1 Rabbit mAb[49856]](https://img1.dxycdn.com/p/s14/2025/0923/304/8277770421511240791.jpg)
Immunohistochemical analysis of paraffin-embedded human liver cancer tissue using anti-eEF1A1 antibody. Counter stained with hematoxylin.
,
![eEF1A1 Rabbit mAb[49856]](https://img1.dxycdn.com/p/s14/2025/0923/972/4057570641511240791.jpg)
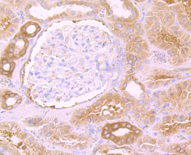
Immunohistochemical analysis of paraffin-embedded human kidney tissue using anti-eEF1A1 antibody. Counter stained with hematoxylin.
,
![eEF1A1 Rabbit mAb[49856]](https://img1.dxycdn.com/p/s14/2025/0923/335/8659244200511240791.jpg)
Immunohistochemical analysis of paraffin-embedded mouse smooth muscle tissue using anti-eEF1A1 antibody. Counter stained with hematoxylin.
,
![eEF1A1 Rabbit mAb[49856]](https://img1.dxycdn.com/p/s14/2025/0923/823/8807793901511240791.jpg)
ICC staining eEF1A1 in HepG2 cells (green). The nuclear counter stain is DAPI (blue). Cells were fixed in paraformaldehyde, permeabilised with 0.25% Triton X100/PBS.
,
![eEF1A1 Rabbit mAb[49856]](https://img1.dxycdn.com/p/s14/2025/0923/432/2196650700511240791.jpg)
ICC staining eEF1A1 in HUVEC cells (green). The nuclear counter stain is DAPI (blue). Cells were fixed in paraformaldehyde, permeabilised with 0.25% Triton X100/PBS.
,
![eEF1A1 Rabbit mAb[49856]](https://img1.dxycdn.com/p/s14/2025/0923/630/6104335000511240791.jpg)
ICC staining eEF1A1 in SH-SY-5Y cells (green). The nuclear counter stain is DAPI (blue). Cells were fixed in paraformaldehyde, permeabilised with 0.25% Triton X100/PBS.
,
![eEF1A1 Rabbit mAb[49856]](https://img1.dxycdn.com/p/s14/2025/0923/725/2595801611511240791.jpg)
Flow cytometric analysis of THP-1 cells with eEF1A1 antibody at 1/100 dilution (red) compared with an unlabelled control (cells without incubation with primary antibody; black). Alexa Fluor 488-conjugated goat anti-rabbit IgG was used as the secondary antibody.
风险提示:丁香通仅作为第三方平台,为商家信息发布提供平台空间。用户咨询产品时请注意保护个人信息及财产安全,合理判断,谨慎选购商品,商家和用户对交易行为负责。对于医疗器械类产品,请先查证核实企业经营资质和医疗器械产品注册证情况。
技术资料暂无技术资料 索取技术资料


![eEF1A1 Rabbit mAb[49856]](https://img1.dxycdn.com/p/s14/2025/0923/278/4431488150116040791.jpg)


![p70 S6 Kinase (Phospho-Ser 411) Conjugated Antibody[C13329]](https://img1.dxycdn.com/p/s14/2025/0923/278/4431488150116040791.jpg!wh200)
![p95/NBS1 (Phospho-Ser343) Conjugated Antibody[C14146]](https://img1.dxycdn.com/p/s14/2025/0922/632/2321321568067599691.jpg!wh200)
![SIRT1 Antibody[48501]](https://img1.dxycdn.com/p/s14/2025/0923/496/0462304380155040791.jpg!wh200)
![FZR1 Antibody[43031]](https://img1.dxycdn.com/p/s14/2025/0922/568/0046652811090600791.jpg!wh200)
![MAP1S Polyclonal Antibody[30042]](https://img1.dxycdn.com/p/s14/2025/0923/305/2150219664296040791.jpg!wh200)
