相关产品推荐更多 >
万千商家帮你免费找货
0 人在求购买到急需产品
- 详细信息
- 文献和实验
- 技术资料
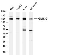
- 形态:
液体
- 适应物种:
Human;Mouse;Rat
- 保质期:
1年
- 库存:
100
- 供应商:
ImmunoWay Biotechnology Company
- 宿主:
Rabbit
- 应用范围:
WB
- 规格:
40μ/100ul/200ul
风险提示:丁香通仅作为第三方平台,为商家信息发布提供平台空间。用户咨询产品时请注意保护个人信息及财产安全,合理判断,谨慎选购商品,商家和用户对交易行为负责。对于医疗器械类产品,请先查证核实企业经营资质和医疗器械产品注册证情况。
文献和实验= NAL), appears to form upon oxidative cyclization of the nonfluorescent 2:1 lysine-HNE Michael adduct-Schiff base cross-link (Scheme 1). Polyclonal antibody (PAb) to the NAL-HNE fluorophore was raised in rabbit and found to be highly specific
GE Healthcare Benzamidine Sepharose™ 6B is p-aminobenzamidine covalently attached to Sepharose 6B by the epoxy coupling method. p-Aminobenzamidine (PAB), is a synthetic inhibitor of trypsin-like serine protease. Trypsin and trypsin
法所替代。利用微球菌核酸酶的切割特性(在染色质核小体之间的 DNA 更容易被切开),可以快速温和地将染色质 DNA 切断,且最大限度地保持了细胞原有染色质结构以及目的蛋白与 DNA 的结合状态,使 ChIP 的准确性和结果可信度大大提高。CST 推出的 SimpleChIP® 酶解法试剂盒,含有标准 ChIP 流程所需的整套试剂、ChIP 级蛋白质 G 微珠、阳性对照抗体(Histone H3(D2B12) XP® Rabbit mAb (ChIP Formulated) #4620)、阴性对照抗体、DNA
技术资料暂无技术资料 索取技术资料







