相关产品推荐更多 >
万千商家帮你免费找货
0 人在求购买到急需产品
- 详细信息
- 文献和实验
- 技术资料
- 库存:
大量
- 克隆性:
单克隆
- 抗体英文名:
Recombinant Anti-NeuN antibody [EPR12763] - Mouse IgG2a (Chimeric) (ab279296)
- 抗体名:
Anti-NeuN抗体[EPR12763]
- 宿主:
Mouse
- 适应物种:
Mouse, Rat, Human
- 免疫原:
Synthetic peptide
- 亚型:
IgG2a
- 形态:
液体
- 应用范围:
Flow Cyt (Intra), IP, WB, ICC, IHC-P
- 保存条件:
在 4°C 下发货。 在 +4°C 下短期储存(1-2 周)。交货时等分。在 -20°C 下长期储存。避免冻融循环。
- 浓度:
10 µl 浓度为 0.851 - 0.887 mg/ml
- 规格:
100ul
重组Anti-NeuN抗体[EPR12763] -小鼠IgG2a (Chimeric) (ab279296)
产品名称:重组Anti-NeuN抗体[EPR12763] -小鼠IgG2a产品货号:ab279296
产品规格:100ul
应用范围:Flow Cyt (Intra),IP,WB,ICC,IHC-P
反应种属:Mouse, Rat, Human
免疫原:Synthetic peptide
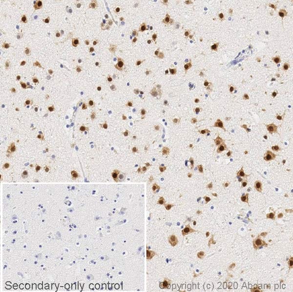
阳性对照:WB: Human, mouse and rat brain tissue lysate. Flow Cyt (intra): Rat primary neural/glia cells. IP: Mouse brain tissue lysate. ICC: SHSY5Y cells. IHC: FFPE Human Cerebral Cortex tissue sections.
储存溶液:pH: 7.2;Preservative: 0.01% Sodium azide;Constituents: 59% PBS, 40% Glycerol (glycerin, glycerine), 0.05% BSA
同型对照:IgG2a
使用 ab279296 对人 SHSY5Y 细胞中的 NeuN 进行免疫荧光染色。用 4% 甲醛固定细胞(10 分钟),用 0.1% Triton X-100 透化 5 分钟,然后用 1% BSA/10% 正常山羊血清/0.3M 甘氨酸在 0.1% PBS-吐温中的封闭 1 小时。然后将细胞在 +4°C 下与 ab279296 以 1.0 μg/ml 孵育过夜。然后将细胞与 ab150117、山羊抗小鼠 IgG H&L (Alexa Fluor® 488) 以 1/1000 的稀释度(以绿色显示)预吸附,并用 DAPI(以蓝色显示)标记细胞核 DNA。仅二级对照(底行)未与 ab279296 一起孵育,但以其他方式处理相同的结果。使用高内涵分析仪(Operetta CLS、Perkin Elmer)采集图像,并显示共聚焦切片的最大强度投影。
风险提示:丁香通仅作为第三方平台,为商家信息发布提供平台空间。用户咨询产品时请注意保护个人信息及财产安全,合理判断,谨慎选购商品,商家和用户对交易行为负责。对于医疗器械类产品,请先查证核实企业经营资质和医疗器械产品注册证情况。
文献和实验系统,发展质粒DNA免疫,使用变应原多肽以及片段,应用IgE亲和的半抗原以阻断效应细胞和诱导产生封闭性抗体,应用人源化抗IgE单克隆抗体以及重组拟IgE表位,以封闭FcεRI这一IgE重要的结合位点等。 尘螨性疫苗的种类及应用(摘自WHOPositionPaper,1998) 注:A为治疗组;P为安慰剂对照组;epr为早期反应;1pr为晚期反应;ICS为吸入类固醇激素;BPT为支气管激发试验(用变应原激发)。 2.尘螨性疫苗在治疗过敏性鼻炎上的应用 下表是不同尘螨性
液的 pH、盐离子浓度、添加剂(如 5% 甘油、1mM DTT) 等。 原因三 HIS 标签没有表达或丢失或暴露不充分。 建议 1 用 anti-HIS 的抗体进行 WB,检测 HIS 标签是否存在。 建议 2 将蛋白用 4-6M 盐酸胍或 4-8M 尿素变性后,让 HIS 标签充分暴露出来,看是否能与填料结合。 建议 3 改变 HIS 标签的位置或者增加其数目(常用 6-12 个 HIS),增加暴露和结合机会。 建议 4 改变金属结合离子,除了 Ni2+,Cu2+、Zn2+、Co2+ 也可以用来进
: CSB-BP619964 HU >> Baculovirus CSB-MP619964 HU >> Mammalian cell PD1 多克隆抗体 Rabbit anti PD1 货号:CSB-PA619964LA01 HU 识别种属:human,mouse 应用检测:WB、IHC、IF 等 TIM3 重组蛋白 货号:CSB-EP010145 HU TIM3 多克隆抗体
技术资料









