相关产品推荐更多 >
万千商家帮你免费找货
0 人在求购买到急需产品
- 详细信息
- 技术资料
- 供应商:
上海联祖
- 库存:
42
- 规格:
1*125ml 500ml
| 产品名称 | 规格 | 货号 |
| NCI-H1568 细胞专用培养基 | 1*125ml 500ml | LZ-PX11388 |
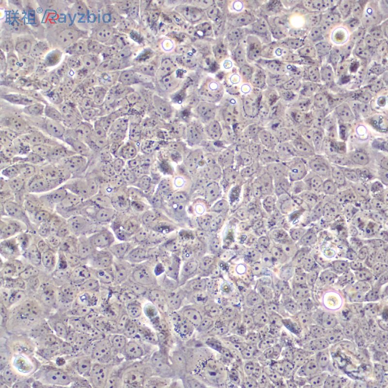
NCI-H1568 细胞专用培养基由团队精心优化,经过长期测试,本产品可保持NCI-H1568细胞最佳的生长状态。
本产品中已包含NCI-H1568细胞生长所需的各种成分,无需添加任何成分,可直接用于NCI-H1568细胞的培养。
产品主要成分
RPMI-1640基础培养基 435 ml
特级胎牛血清 50 mL
P/S青霉素-链霉素 5 mL
Sodium Pyruvate酸钠 5 mL
GlutaMAX—I谷氨酰胺 5 mL
运输和保存
运输:放置于含有生物冰袋的保温箱中低温运输
保存方法:2℃~8℃,避光,保存1个月;-20℃,避光,保存3个月。
干冰运输及复苏好存活细胞
(1)1mL冻存管包装干冰运输,收到后-80度冰箱保存过夜后转入液氮或直接复苏,若发现干冰已挥发干净、冻存管瓶盖脱落、破损及细胞有污染,请立即与我们联系。
(2)T25瓶复苏的存活细胞常温发货,收到后按照细胞接收后的处理方法操作。
| IL-2sR Alpha/CD25(Human soluble interleukin-2 receptor) ELISA kit 人白介素2可溶性受体α链Multi-class antibodies规格: 48T | ECHS1: 长链烯脂酰辅酶A水化酶抗体 0.1ml |
| Integrin Alpha V: 整合素αV抗体 0.2ml | A-375 [A375], 人恶性黑素瘤细胞株 |
| Rhesus antibody Rh Goat Anti-Guinea IgG/FITC FITC标记的羊抗豚鼠IgG 规格 0.3ml | CHO(仓鼠卵巢细胞) 5×106cells/瓶×2 |
| IgM/HRP 辣根过氧化物酶标记的兔抗羊IgM 0.1ml | EFNA5 Protein Rat 重组大鼠 Ephrin-A5 / EFNA5 蛋白 (His 标签) |
| PR3 Ab-IgG(Human Anti-proteinase 3 antibody IgG) ELISA Kit 人抗蛋白酶3抗体IgG 96T | 人细胞;Hela S3 [HeLaS3] |
| Rhesus antibody Rh SA2 粘结蛋白SA2抗体 规格 0.2ml | PK15-EGFP-puro(慢病毒构建稳定株)猪肾上皮细胞 PK15-EGFP-puro (leiviral consuct stable sain) porcine kidney epithelial cells EMEM+10%FBS+1%P/S+2ug/ml puromycin |
| Anti-Cbx8/FITC 荧光素标记染色质结合蛋白Cbx8抗体IgGMulti-class antibodies规格: 0.2ml | Jurkat,Clone E6-1细胞,T淋巴细胞白血病细胞 人鼻咽癌细胞系,SUNE-1亚株13-9B细胞 CL-0346HBE(人支气管上皮样细胞)5×106cells/瓶×2 |
| Anti-XAF1/FITC 荧光素标记XIAP相关因子1凋亡抑制蛋白抗体IgGMulti-class antibodies规格: 0.2ml | OVAC细胞,人卵巢癌细胞 猴肾C细胞,M145细胞 视网膜微血管内皮细胞Many types of cells包装:5 × 105次方(1ml) |
| QPRT/QAPRTase: 酸0酸核糖基转移酶抗体 0.2ml | 大鼠肺泡巨噬细胞;NR8383[AgC11x3A; NR8383.1] 肝癌细胞,QGY-7703细胞 ST2/o细胞,小鼠杂交瘤细胞 |
| Anti-IL-17B/FITC 荧光素标记白介素-17B抗体IgGMulti-class antibodies规格: 0.2ml | 293来源病毒包装细胞;ΦA 人上皮细胞完全培养基 100mL |
| Alpha1-MG ELISA Kit 大鼠α1微球蛋白 96T | IL1R2 Others Human 人 IL1R2 / CD121b 人细胞裂解液 (阳性对照) |
| Rhesus antibody Rh PLSCR3 0脂爬行酶3抗体 规格 0.2ml | HSC-T6(大鼠肝星形细胞) 5×106cells/瓶×2 hDPSCs, 人前磨牙牙髓干细胞 人原胚肾转化细胞;293 Ad5 |
| NCI-H1568 细胞专用培养基C9orf5: 9号染色体开放阅读框5抗体 0.2ml | HA Others H1N1 甲型流感 H1N1 (A/New Caledonia/20/1999) 血凝素HA1 (Hemagglutinin) 人细胞裂解液 (阳性对照) |
| Rhesus antibody Rh Aurora A/B/C 有丝分裂激酶A/B/C抗体 规格 0.2ml | CD63 Others Sus scrofa (Pig) 野猪 CD63 / Tspan-30 / Teaspanin-30 人细胞裂解液 (阳性对照) |
| TGF- Beta (Rabbit Transforming Growth factor Beta) ELISA Kit 兔子转化生长因子βMulti-class antibodies规格: 96T | SERPINB4 Others Human 人 SerpinB4 杆状病毒-昆虫细胞裂解液 (阳性对照) |
风险提示:丁香通仅作为第三方平台,为商家信息发布提供平台空间。用户咨询产品时请注意保护个人信息及财产安全,合理判断,谨慎选购商品,商家和用户对交易行为负责。对于医疗器械类产品,请先查证核实企业经营资质和医疗器械产品注册证情况。
技术资料暂无技术资料 索取技术资料
NCI-H1568 细胞专用培养基
¥3000 - 6900









