相关产品推荐更多 >
万千商家帮你免费找货
0 人在求购买到急需产品
- 详细信息
- 文献和实验
- 技术资料
- 供应商:
上海联祖
- 库存:
51
- 规格:
1*125ml 500ml
| 产品名称 | 规格 | 货号 |
| OCI-LY3 细胞专用培养基 | 1*125ml 500ml | LZ-PX11319 |
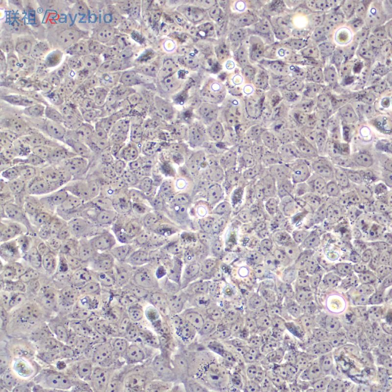
OCI-LY3细胞专用培养基由团队精心优化,经过长期测试,本产品可保持OCI-LY3细胞最佳的生长状态。
本产品中已包含OCI-LY3细胞生长所需的各种成分,无需添加任何成分,可直接用于OCI-LY3细胞的培养。
产品主要成分
IMDM基础培养基 395 ml
特级胎牛血清 100 mL
P/S青霉素-链霉素 5 mL
运输和保存
运输:放置于含有生物冰袋的保温箱中低温运输
保存方法:2℃~8℃,避光,保存2个月;-20℃,避光,保存6个月。
干冰运输及复苏好存活细胞
(1)1mL冻存管包装干冰运输,收到后-80度冰箱保存过夜后转入液氮或直接复苏,若发现干冰已挥发干净、冻存管瓶盖脱落、破损及细胞有污染,请立即与我们联系。
(2)T25瓶复苏的存活细胞常温发货,收到后按照细胞接收后的处理方法操作。
| AAA(Human Anti-adrenocortical antibody) ELISA Kit 人抗肾上腺皮质抗体 96T | Rhesus antibody Rh Phospho-NDRG1 (Thr346) 0酸化分化相关基因NDRG1抗体 规格 0.1ml |
| Rhesus antibody Rh TRIM7/RNF90 糖原生成素相互作用蛋白抗体 规格 0.2ml | CL-0030Bcap-37(人癌细胞)5×106cells/瓶×2 |
| Anti-T3 三碘甲狀腺素T3抗体Multi-class antibodies规格: 0.2ml | Bowes Melanoma细胞,黑色素瘤细胞 人原髓细胞白血病细胞,AL7P/HL-60R细胞 人结直肠腺癌细胞;HT-29 |
| Anti-LIR-6/CD85i/LILRA1/FITC 荧光素标记白细胞免疫球蛋白样受体6抗体IgGMulti-class antibodies规格: 0.2ml | EL4.IL-2细胞,小鼠淋巴瘤细胞 Mo-MuLv/3T3(Mo-MuLv感染的3T3细胞) 人皮肤成纤维样细胞;HSF2 |
| CDK5(Human Cyclin Dependent Kinase 5) ELISA Kit 人周期素依赖性激酶5Multi-class antibodies规格: 48T | 大鼠主动脉平滑肌细胞 非洲青猴肾细胞,COS-7细胞 CBRH-7919(肝癌细胞) |
| HMGCS1: 三羟基基辅酶A合成酶1 0.2ml | IL12A Protein Human 重组人 IL12A / NKSF1 蛋白 (His 标签) |
| Rhesus antibody Rh EFHC1 EFHC1蛋白抗体 规格 0.2ml | 大鼠嗜碱性粒细胞性白血病细胞;RBL-1 |
| ZIP Kinase: 凋亡相关蛋白激酶3抗体 0.1ml | MDA-MB-435(人癌高转移细胞) 5×106cells/瓶×2 |
| C11ORF77: 11号染色体开放阅读框77抗体 0.2ml | Caco-2,人结直肠腺癌细胞 Human |
| Rhesus antibody Rh CD158 NK细胞抑制性受体2DL4抗体 规格 0.2ml | SELPLG Others Mouse 小鼠 PSGL-1 / CD162 / SELPLG 人细胞裂解液 (阳性对照) |
| CRH ELISA Kit 大鼠促肾上皮质激素释放激素Multi-class antibodies规格: 48T | PROC Others Mouse 小鼠 PROC1 / Protein C / PROC 人细胞裂解液 (阳性对照) |
| FIBCD1: 含纤维蛋白原C结构域蛋白1抗体 0.2ml | ACVR1 Others Cynomolgus 食蟹猴 ALK-2 / ACVR1 / ALK2 人细胞裂解液 (阳性对照) |
| OCI-LY3 细胞专用培养基PRRSV: 猪蓝耳病病毒抗体 1ml | NRBF2 Others Human 人 NRBF2 杆状病毒-昆虫细胞裂解液 (阳性对照) |
| Anti-phospho-CaMK2a(pTyr231) /FITC 荧光素标记兔抗人、大、小鼠等0酸化钙/钙调素依赖蛋白激酶2α抗体IgGMulti-class antibodies规格: 0.2ml | H4-II-E-C3(大鼠肝癌细胞 ) 5×106cells/瓶×2 小鼠肾小管上皮细胞MREpiC |
| human IgA/PE 荧光素PE标记人IgA 0.1ml | IL7R Others Human 人 IL7Rα / CD127 人细胞裂解液 (阳性对照) |
风险提示:丁香通仅作为第三方平台,为商家信息发布提供平台空间。用户咨询产品时请注意保护个人信息及财产安全,合理判断,谨慎选购商品,商家和用户对交易行为负责。对于医疗器械类产品,请先查证核实企业经营资质和医疗器械产品注册证情况。
文献和实验相关实验
树突状细胞培养操作步骤 准备补充剂 将补充剂混合物在 15~25℃ 解冻。在无菌条件下用移液枪小心地将补充剂混合物混匀。然后,把补充剂混合物全部加到基础培养基中。盖上瓶子,轻轻混匀直到形成均一的混合物。DC生成培养基所附带的相应的细胞因子组合包含有成分A和B,它们都是以100X 的原液状态运输的。 注意:此时不要将化合物B加入培养基中。 DC基础培养基不带细胞因子,因此使用时必须另外自行添加。 新鲜分离的单核 DC 细胞的传代 对于新鲜分离自外
细胞培养的基本步骤都有哪些?复苏、传代、冻存的基本操作是什么样的?如果你刚刚开始细胞培养实验,想要建立稳定的细胞培养流程,快来听Dr. 赛的讲解吧。
PromoCell MSC分化培养操作步骤 一、向神经细胞分化的操作流程 1、将塑料培养器用纤维连接蛋白包被根据操作手册,用纤维连接蛋白(C-43050)包被合适的组织培养瓶。使用浓度为10μg/ml。2、接种间充质干细胞用MSC生长培养基(C-28010)在用纤维连接蛋白包被过的培养瓶中接种培养,接种密度为4000个/cm2。3、培养间充质干细胞将细胞培养至80%的饱和度,每48小时更换一次培养基。4、诱导间充质干细胞用MSCU经细胞分化培养基(C-28015)诱导培养,用MSC
技术资料暂无技术资料 索取技术资料
OCI-LY3 细胞专用培养基
¥3000 - 6900









