相关产品推荐更多 >
万千商家帮你免费找货
0 人在求购买到急需产品
- 详细信息
- 文献和实验
- 技术资料
- 供应商:
上海联祖
- 规格:
1*125ml 500ml
| 产品名称 | 规格 | 货号 |
| HEK-293A 细胞专用培养基 | 1*125ml 500ml | LZ-PX10943 |
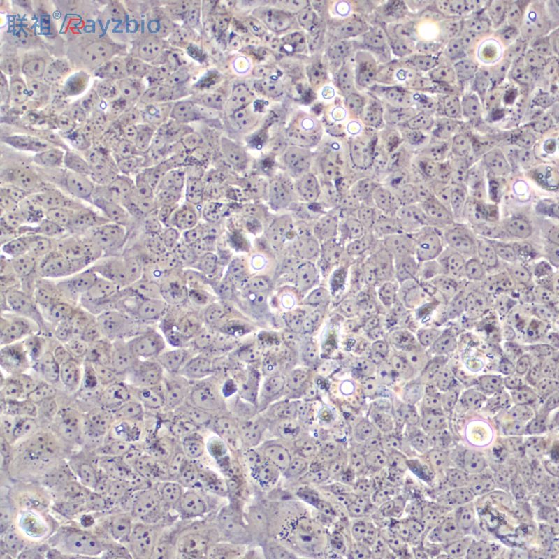
HEK-293A细胞专用培养基由团队精心优化,经过长期测试,本产品可保持HEK-293A细胞最佳的生长状态。
本产品中已包含HEK-293A细胞生长所需的各种成分,无需添加任何成分,可直接用于HEK-293A细胞的培养。
产品主要成分
DMEM 基础培养基 445 ml
特级胎牛血清 50 ml
P/S青霉素-链霉素 5 ml
运输和保存
运输:放置于含有生物冰袋的保温箱中低温运输
保存方法:2℃~8℃,避光,保存2个月;-20℃,避光,保存6个月。
干冰运输及复苏好存活细胞
(1)1mL冻存管包装干冰运输,收到后-80度冰箱保存过夜后转入液氮或直接复苏,若发现干冰已挥发干净、冻存管瓶盖脱落、破损及细胞有污染,请立即与我们联系。
(2)T25瓶复苏的存活细胞常温发货,收到后按照细胞接收后的处理方法操作。
| Rhesus antibody Rh Mitoferrin 1 线粒体铁转运蛋白1抗体 规格 0.2ml | Phospho-Syk (Tyr525 + Tyr526): 0酸化非受体型酪酸蛋白激酶抗体 0.1ml |
| ChRM2 (Music Acetylcholine receptor M2) 毒蕈碱型乙酰胆碱受体M2(抗原) 0.5mg | OK 负鼠肾细胞 |
| NARC1: 神经细胞凋亡调节转化蛋白1抗体(前蛋白转化酶枯草溶菌素9) 0.1ml | CM-H090人血管内皮细胞完全培养基100mL |
| Anti-TFR/CD71/FITC 荧光素标记转铁蛋白受体抗体IgGMulti-class antibodies规格: 0.2ml | 人角膜上皮细胞完全培养基 100mL |
| Anti-Substance P Receptor P物质受体抗体Multi-class antibodies规格: 0.1ml | CL-0302PA319(人大肠癌细胞)5×106cells/瓶×2 |
| Anti-factor VIII/FITC 荧光素标记第八因子相关抗原抗体IgGMulti-class antibodies规格: 0.2ml | 大鼠胰岛β细胞瘤细胞;RIN-m5F |
| ADAMTS7: 整合素样金属蛋白酶与凝血酶1型-7抗体 0.1ml | 人间充质干细胞-脂肪 |
| 胸腺素β10抗体 Anti-Tβ10 0.1ml | CM-M020小鼠上皮细胞完全培养基100mL |
| ER(Human Estradiol receptor) ELISA Kit 人雌二醇受体 96T | 人雪旺细胞HSC |
| Rhesus antibody Rh Sox2 胚胎干细胞关键蛋白抗体 规格 0.1ml | HUVEC, 人脐静脉内皮细胞 |
| Anti-Aryl Hydrocarbon Receptor/FITC 荧光素标记芳香烃受体抗体IgGMulti-class antibodies规格: 0.2ml | 恒河猴肾细胞;LLC-MK2 |
| Anti-P53/FITC 荧光素标记抑制基因抗体(野生型P53)IgGMulti-class antibodies规格: 0.2ml | ANGPT4 Protein Human 重组人 Angiopoietin 4 / ANG4 / ANGPT4 蛋白 (His 标签) |
| HEK-293A 细胞专用培养基CCP(Human complement control protein) ELISA Kit 人补体调节蛋白Multi-class antibodies规格: 48T | EB病毒转化的人B淋巴细胞;KMYF |
| GLI4: 转录因子Gli4/锌指蛋白gli4抗体 0.2ml | U266人骨髓瘤细胞 U266 human myeloma cell 1640+15% FBS |
| Rhesus antibody Rh CYP2D6 细胞色素P450 2D6抗体 规格 0.1ml | JAR细胞,胎盘绒毛癌细胞 人食管鳞癌,KYSE30细胞 中国仓鼠卵巢细胞系;pDSr a2-mpl-X |
风险提示:丁香通仅作为第三方平台,为商家信息发布提供平台空间。用户咨询产品时请注意保护个人信息及财产安全,合理判断,谨慎选购商品,商家和用户对交易行为负责。对于医疗器械类产品,请先查证核实企业经营资质和医疗器械产品注册证情况。
文献和实验HEK-293 293A 293S 293T 293FT区别比较
相关专题 293细胞 293细胞 分为几种,文献上所提总是笼统的讲293细胞,可293有293A,还有293T,请问二者有什么区别,是否293A是用来包腺病毒的,293T是用来包慢病毒的,是否还有其他293细胞,比如293S 293细胞比较容易转染,是一个很常用的表达研究外源基因的细胞株。293细胞的一个衍生株:293T/17的转染效率更高,成为广大研究者研究基因功能的一个强大工具。 293细胞的缺陷是生长过程
树突状细胞培养操作步骤 准备补充剂 将补充剂混合物在 15~25℃ 解冻。在无菌条件下用移液枪小心地将补充剂混合物混匀。然后,把补充剂混合物全部加到基础培养基中。盖上瓶子,轻轻混匀直到形成均一的混合物。DC生成培养基所附带的相应的细胞因子组合包含有成分A和B,它们都是以100X 的原液状态运输的。 注意:此时不要将化合物B加入培养基中。 DC基础培养基不带细胞因子,因此使用时必须另外自行添加。 新鲜分离的单核 DC 细胞的传代 对于新鲜分离自外
细胞培养的基本步骤都有哪些?复苏、传代、冻存的基本操作是什么样的?如果你刚刚开始细胞培养实验,想要建立稳定的细胞培养流程,快来听Dr. 赛的讲解吧。
技术资料暂无技术资料 索取技术资料










