相关产品推荐更多 >
万千商家帮你免费找货
0 人在求购买到急需产品
- 详细信息
- 文献和实验
- 技术资料
- 供应商:
上海联祖
- 库存:
21
- 规格:
1*125ml 500ml
| 产品名称 | 规格 | 货号 |
| DT40 细胞专用培养基 | 1*125ml 500ml | LZ-PX10899 |
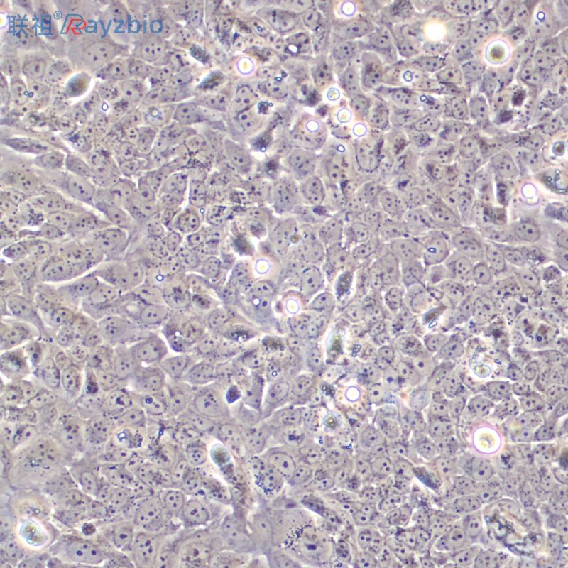
DT40细胞专用培养基由团队精心优化,经过长期测试,本产品可保持DT40细胞最佳的生长状态。
本产品中已包含DT40 细胞生长所需的各种成分,无需添加任何成分,可直接用于DT40 细胞的培养。
产品主要成分
DMEM 基础培养基 420 ml
特级胎牛血清 50 ml
鸡血清 25 ml
β-巯基乙醇 0.05mM
P/S青霉素-链霉素 5 ml
运输和保存
运输:放置于含有生物冰袋的保温箱中低温运输
保存方法:2℃~8℃,避光,保存1个月;-20℃,避光,保存3个月。
干冰运输及复苏好存活细胞
(1)1mL冻存管包装干冰运输,收到后-80度冰箱保存过夜后转入液氮或直接复苏,若发现干冰已挥发干净、冻存管瓶盖脱落、破损及细胞有污染,请立即与我们联系。
(2)T25瓶复苏的存活细胞常温发货,收到后按照细胞接收后的处理方法操作。
| CKMB(Human cytokinin MB) ELISA Kit 人激动异构酶/细胞分裂素MB 96T | Rhesus antibody Rh Phospho-mTOR (Ser2481) 0酸化雷帕霉素靶蛋白抗体 规格 0.1ml |
| Rhesus antibody Rh TP53TG3 p53靶蛋白3抗体 规格 0.2ml | Sars结构蛋白表达株;293 001B 人肾系膜细胞完全培养基 100mL |
| Anti-Tie2 血管生成素受体2抗体Multi-class antibodies规格: 0.1ml | DPP7 Others Human 人 DPPII 人细胞裂解液 (阳性对照) |
| Anti-p44/42 MAPK (phospho Thr202/Tyr204) /FITC 荧光素标记兔抗人、大、小鼠0酸化原活化蛋白激酶1/2抗体IgGMulti-class antibodies规格: 0.2ml | P3X63Ag8(小鼠骨髓瘤细胞) 5×106cells/瓶×2 SARS 核蛋白 (Nucleoprotein / NP) 杆状病毒-昆虫细胞裂解液 (阳性对照) |
| 5-NT(Human 5-Nucleotidase) ELISA Kit 人5核苷酸酶Multi-class antibodies规格: 48T | GP140 Others HIV 人类免疫缺陷病毒Ⅰ型 HIV-1 (group M, subtype CRF07_BC) gp140 人细胞裂解液 (阳性对照) |
| HMGB4: 高迁移率族蛋白B4抗体 0.1ml | TDGF1 Others Rat 大鼠 Cripto / TDGF1 人细胞裂解液 (阳性对照) |
| Rhesus antibody Rh DUSP26/MKP8 双特异性蛋酸酶26抗体(原活化蛋白激酶0酸酶8) 规格 0.2ml | CCL17 Others Human 人 CCL17 / TARC / SCYA17 杆状病毒-昆虫细胞裂解液 (阳性对照) |
| Sulfatase 1: 酯酶1抗体 0.2ml | CD300LG Others Human 人 CLM-9 / EM4 / CD300LG 人细胞裂解液 (阳性对照) |
| CCDC30: 卷曲螺旋结构域蛋白30抗体 0.2ml | 小鼠神经皮质细胞(MN-c)(1×106) |
| Rhesus antibody Rh CCDC93 卷曲螺旋结构域蛋白93抗体 规格 0.2ml | 人胚肺成纤维细胞;MRC-5 |
| MCP-1/CCL2/MCAF ELISA KIT 大鼠单核细胞趋化蛋白1Multi-class antibodies规格: 48T | CL-0112HMy2.CIR(人B淋巴母细胞)5×106cells/瓶×2 |
| FANCE: 范可尼贫血相关蛋白E抗体 0.2ml | 水牛皮肤成纤维样细胞;WB-S2 |
| DT40 细胞专用培养基PEPT1: 肠道肽转运蛋白1/小肽转运蛋白1抗体 0.1ml | 成骨细胞Many types of cells包装:5 × 105次方(1ml) |
| Anti-PKB/FITC 荧光素标记蛋白激酶B抗体IgGMulti-class antibodies规格: 0.2ml | 大鼠胃粘膜上皮细胞完全培养基 100mL |
| Rat IgG/FITC 荧光素FITC标记大鼠IgG(细胞流式同型对照) 0.3ml | CM-M041小鼠肝星形细胞完全培养基100mL |
风险提示:丁香通仅作为第三方平台,为商家信息发布提供平台空间。用户咨询产品时请注意保护个人信息及财产安全,合理判断,谨慎选购商品,商家和用户对交易行为负责。对于医疗器械类产品,请先查证核实企业经营资质和医疗器械产品注册证情况。
文献和实验相关实验
体,后续培养后收集的细胞上清中的外泌体不确定是从细胞分泌的还是血清中来的,影响结果的准确性。 2. 营养:细胞培养是需要一定的营养的,那么如果不加血清,单独只用基础培养基,就会导致细胞处于饥饿状态,严重影响细胞生长,甚至出现吞噬外泌体的现象,影响实验结果。 3. 杂蛋白:去外泌体胎牛血清可以很好地解决 1、2 中涉及的问题,但还会存在杂蛋白影响蛋白定量结果,导致数据偏高,影响后续实验的准确性。如果使用外泌体专用无血清培养基(专门针对外泌体获取的培养基,化学成分明确,类似于完全培养基的一种
树突状细胞培养操作步骤 准备补充剂 将补充剂混合物在 15~25℃ 解冻。在无菌条件下用移液枪小心地将补充剂混合物混匀。然后,把补充剂混合物全部加到基础培养基中。盖上瓶子,轻轻混匀直到形成均一的混合物。DC生成培养基所附带的相应的细胞因子组合包含有成分A和B,它们都是以100X 的原液状态运输的。 注意:此时不要将化合物B加入培养基中。 DC基础培养基不带细胞因子,因此使用时必须另外自行添加。 新鲜分离的单核 DC 细胞的传代 对于新鲜分离自外
细胞培养的基本步骤都有哪些?复苏、传代、冻存的基本操作是什么样的?如果你刚刚开始细胞培养实验,想要建立稳定的细胞培养流程,快来听Dr. 赛的讲解吧。
技术资料暂无技术资料 索取技术资料
DT40 细胞专用培养基
¥3000 - 6900










