相关产品推荐更多 >
万千商家帮你免费找货
0 人在求购买到急需产品
- 详细信息
- 文献和实验
- 技术资料
- 供应商:
上海联祖
- 库存:
51
- 规格:
1*125ml 500ml
| 产品名称 | 规格 | 货号 |
| A875 细胞专用培养基 | 1*125ml 500ml | LZ-PX10851 |
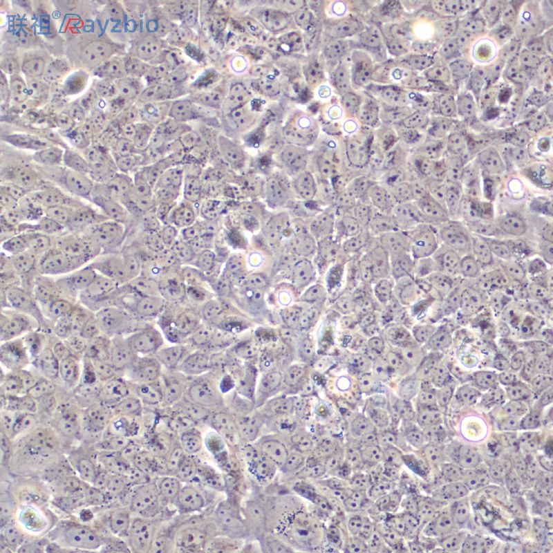
A875 细胞专用培养基由团队精心优化,经过长期测试,本产品可保持A875细胞最佳的生长状态。
本产品中已包含 A875 细胞生长所需的各种成分,无需添加任何成分,可直接用于A875 细胞的培养。
产品主要成分
MEM基础培养基 445 mL
特级胎牛血清 50 mL
P/S青霉素-链霉素 5 mL
运输和保存
运输:放置于含有生物冰袋的保温箱中低温运输
保存方法:2℃~8℃,避光,保存2个月;-20℃,避光,保存6个月。
干冰运输及复苏好存活细胞
(1)1mL冻存管包装干冰运输,收到后-80度冰箱保存过夜后转入液氮或直接复苏,若发现干冰已挥发干净、冻存管瓶盖脱落、破损及细胞有污染,请立即与我们联系。
(2)T25瓶复苏的存活细胞常温发货,收到后按照细胞接收后的处理方法操作。
| MAPK(Human mitogen activited protein kinase) ELISA Kit 人原激活的蛋白激酶/MAP激酶 96T | Rhesus antibody Rh phospho-M-CSF Receptor(Tyr546) 0酸化巨噬细胞集落刺激因子受体抗体 规格 0.1ml |
| Rhesus antibody Rh TOP2 alpha DNA拓普西异构酶ⅡA抗体 规格 0.1ml | 比色法钙分析试剂盒CCA |
| Anti-TIMP-2 金属蛋白酶组织抑制因子-2抗体Multi-class antibodies规格: 0.1ml | 人胚肺成纤维细胞;CCC-HPF-1 |
| Anti-Matrilin 1/CMP/FITC 荧光素标记软骨基质蛋白抗体IgGMulti-class antibodies规格: 0.2ml | EB病毒转化的人B淋巴细胞;KMY0903 |
| ALOX-5(Human arachidonate 5-lipoxygenase) ELISA Kit 人花生四烯酸5脂加氧酶Multi-class antibodies规格: 48T | 大耳山羊皮肤细胞;LDG-3 |
| Centromeric histone H3-like protein-2: 组蛋白H3样蛋白抗体 0.2ml | 小鼠肾成纤维细胞完全培养基 100mL |
| Rhesus antibody Rh DSU/MREG MREG蛋白抗体 规格 0.2ml | 中国仓鼠卵巢细胞K1(亚系克隆);CHO-K1 |
| Stra8: 视黄酸激活基因8抗体 0.1ml | 人骨骼肌成肌细胞RNAHSkMM miRNA5 μg |
| CCDCA: 卷曲螺旋结构域蛋白A抗体 0.2ml | 小鼠诱导性多潜能干细胞;PUMC-mips-D3 |
| Rhesus antibody Rh CCDC83 卷曲螺旋结构域蛋白83抗体 规格 0.2ml | SW 780 [SW-780, SW780]人膀胱移行细胞癌 SW 780 [SW-780, SW780] in human bladder ansitional cell carcinoma L-15培养基(GIBCO)+10%FBS |
| MMP-10 ELISA kit 大鼠基质金属蛋白酶10Multi-class antibodies规格: 48T | SW620[SW-620]细胞,人结肠腺癌细胞 人肾上腺腺瘤细胞,NCI-H205细胞 原代系膜细胞培养特制添加剂Many types of cells包装:5/2.5/1ml |
| FCER1G: 免疫球蛋白E受体Fc ε RIγ抗体 0.2ml | P3HR1细胞,人EBV阳性B淋巴瘤细胞 大鼠胰腺癌细胞株,DSL-6A/C1细胞 人小脑星形胶质细胞cDNAHA-c cDNA |
| A875 细胞专用培养基PDGF-A: 血小板源性生长因子A抗体 0.1ml | 犬胸腺细胞;cf2Th SRSV转化的3T3细胞,SRSV/3T3细胞 CCC-Ca761-03细胞,小鼠癌细胞 |
| Anti-Phospho-PKC alpha/beta II (Thr638/641)/FITC 荧光素标记0酸化蛋白激酶C α/β2抗体IgGMulti-class antibodies规格: 0.2ml | IGFBP4 Protein Cynomolgus 重组食蟹猴 IGFBP4 蛋白 (His 标签) |
| human IgA/FITC 荧光素标记人IgA 0.3ml | 绿色荧光蛋白标记小鼠前胃癌细胞;MFC-GFP |
风险提示:丁香通仅作为第三方平台,为商家信息发布提供平台空间。用户咨询产品时请注意保护个人信息及财产安全,合理判断,谨慎选购商品,商家和用户对交易行为负责。对于医疗器械类产品,请先查证核实企业经营资质和医疗器械产品注册证情况。
文献和实验相关实验
树突状细胞培养操作步骤 准备补充剂 将补充剂混合物在 15~25℃ 解冻。在无菌条件下用移液枪小心地将补充剂混合物混匀。然后,把补充剂混合物全部加到基础培养基中。盖上瓶子,轻轻混匀直到形成均一的混合物。DC生成培养基所附带的相应的细胞因子组合包含有成分A和B,它们都是以100X 的原液状态运输的。 注意:此时不要将化合物B加入培养基中。 DC基础培养基不带细胞因子,因此使用时必须另外自行添加。 新鲜分离的单核 DC 细胞的传代 对于新鲜分离自外
细胞培养的基本步骤都有哪些?复苏、传代、冻存的基本操作是什么样的?如果你刚刚开始细胞培养实验,想要建立稳定的细胞培养流程,快来听Dr. 赛的讲解吧。
PromoCell MSC分化培养操作步骤 一、向神经细胞分化的操作流程 1、将塑料培养器用纤维连接蛋白包被根据操作手册,用纤维连接蛋白(C-43050)包被合适的组织培养瓶。使用浓度为10μg/ml。2、接种间充质干细胞用MSC生长培养基(C-28010)在用纤维连接蛋白包被过的培养瓶中接种培养,接种密度为4000个/cm2。3、培养间充质干细胞将细胞培养至80%的饱和度,每48小时更换一次培养基。4、诱导间充质干细胞用MSCU经细胞分化培养基(C-28015)诱导培养,用MSC
技术资料暂无技术资料 索取技术资料
A875 细胞专用培养基
¥3000 - 6900









