相关产品推荐更多 >
万千商家帮你免费找货
0 人在求购买到急需产品
- 详细信息
- 文献和实验
- 技术资料
- 供应商:
上海联祖
- 库存:
58
- 规格:
100ml 500ml
| 产品名称 | 规格 | 货号 |
| 原代成骨细胞培养体系 | 100ml 500ml | LZ-PX10628 |
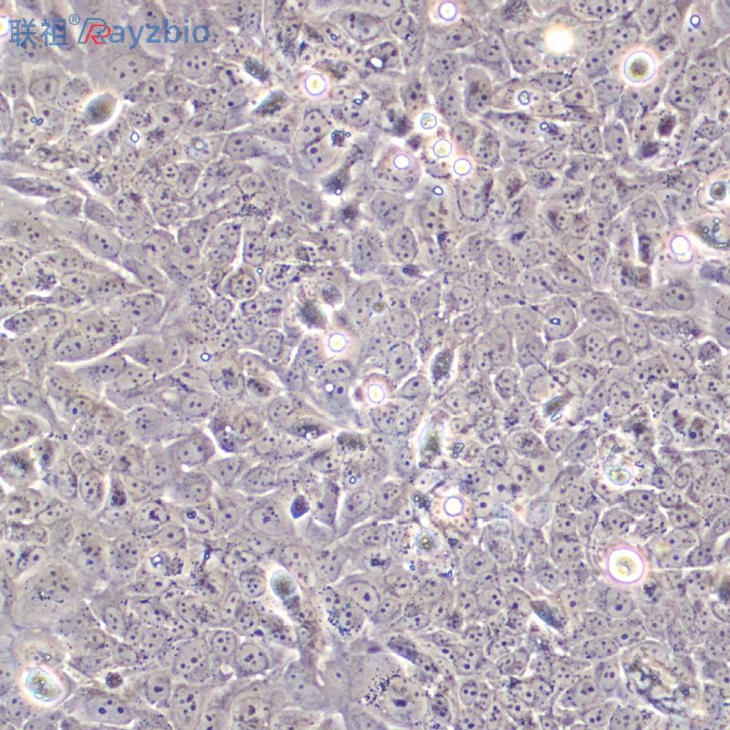
原代成骨细胞培养体系是一个为体外生长的人、大鼠、小鼠、兔等哺乳动物的成骨细胞设计的理想的完全培养基方案。本体系是一个基于碳酸氢盐的缓冲体系,可以在孵育的5%的CO2的气体环境下维持一个围绕pH7.2的酸碱缓冲体系。本体系是一个无菌的液体混合系统,其中包含必须和非必须氨基酸、维生素、激素、生长因子、微量元素和一些其他的有机和无机化合物以及一个低浓度的胎牛血清(10%)。本培养体系是基于固定配方配制的液态培养体系,可以为体外培养的人、大鼠、小鼠、兔等哺乳动物的成骨细胞提供一个确定适宜的平衡营养环境,并且可以选
运输和保存
放置于含有生物冰袋的保温箱中低温运输(体系中的各组分请按上述列表中的条件进行储存)
产品使用
1) 本产品仅能用于科研
2) 本产品未通过直接用于活体动物和人的审核
3) 本产品未通过用于活体诊断的审核
| RRAGC: RAS相关GTP结合蛋白C抗体 0.2ml | NTN (Neurturin) 神经生长因子(抗原)Multi-class antibodies规格: 0.5mg |
| Anti-GZMA/FITC 荧光素标记颗粒酶A抗体IgGMulti-class antibodies规格: 0.2ml | 腺病毒转化的人胚肾细胞;AAV-293 人肾足突细胞完全培养基 100mL |
| CK20(Human cytokeratin 20) ELISA Kit 人细胞角蛋白20 96T | CST7 Others Human 人 Cystatin-F / CST7 / Cystatin-7 人细胞裂解液 (阳性对照) |
| Rhesus antibody Rh Rabbit Anti-Biotin 兔抗生物素抗体IgG 规格 0.2ml | Raji(人Butt's淋巴瘤细胞) 5×106cells/瓶×2 大鼠 SerpinE1 / PAI-1 人细胞裂解液 (阳性对照) |
| Cyp2-j3: 细胞色素P450Ⅱj3抗体 0.2ml | ICOS Others Human 人 ICOS / AILIM / CD278 人细胞裂解液 (阳性对照) |
| Rhesus antibody Rh BTRC2/beta TRCP2 BTRC2蛋白抗体 规格 0.2ml | MFI2 Others Mouse 小鼠 MFI2 / CD228 / melanoansferrin 人细胞裂解液 (阳性对照) |
| (Mouse anti-IgE receptor antibody) ELISA Kit 小鼠抗IgE受体抗体Multi-class antibodies规格: 48T | CAMK2B Others Human 人 CAMK2B / CaMKII-beta 杆状病毒-昆虫细胞裂解液 (阳性对照) |
| ErbB 2: HER2受体抗体 0.1ml | DDR1 Others Rat 大鼠 DDR1 Kinase / MCK10 / CD167 人细胞裂解液 (阳性对照) |
| Anti-Leptin receptor(L/M/S) 瘦素受体抗体(长、中、短型)Multi-class antibodies规格: 0.2ml | 小鼠小脑星形胶质细胞(MA-c)(5×105) |
| Anti-CPT1A/FITC 荧光素标记抗肉毒碱棕榈酰基转移酶1A抗体IgGMulti-class antibodies规格: 0.2ml | 人羊膜细胞;WISH |
| ACOX2: 过氧化物酶酰基辅酶A氧化酶2抗体 0.2ml | CL-0048Ca Ski(人上皮细胞)5×106cells/瓶×2 |
| 抗登革热病毒抗体 Anti-Dengue Virus 0.2ml | 家兔皮肤细胞;DR-S1 |
| 原代成骨细胞培养体系Rhesus antibody Rh H9N1 Neuraminidase A型流感病毒H9N1神经氨酸酶型抗体 规格 0.2ml | 原代表皮角化细胞特制基础无血清培养基Many types of cells包装:500/100ml |
| IgG/Cy5 Cy5标记的兔抗水貂IgG 0.1ml | 大鼠肠微血管细胞完全培养基 100mL |
| KLF4: 肠道内富含的Kruppel样因子/上皮锌指蛋白4抗体 0.1ml | CM-R102大鼠脑静脉血管内皮细胞完全培养基100mL |
干冰运输及复苏好存活细胞
(1)1mL冻存管包装干冰运输,收到后-80度冰箱保存过夜后转入液氮或直接复苏,若发现干冰已挥发干净、冻存管瓶盖脱落、破损及细胞有污染,请立即与我们联系。
(2)T25瓶复苏的存活细胞常温发货,收到后按照细胞接收后的处理方法操作。
风险提示:丁香通仅作为第三方平台,为商家信息发布提供平台空间。用户咨询产品时请注意保护个人信息及财产安全,合理判断,谨慎选购商品,商家和用户对交易行为负责。对于医疗器械类产品,请先查证核实企业经营资质和医疗器械产品注册证情况。
文献和实验相关实验
实验材料: 1. 骨组织来源:新生或胚胎大鼠、兔、人类胚胎或手术切除之骨组织; 2. 清洗液:不含Ca2+ 和Mg2+ 的1×PBS,添加100IU/ml青霉素、100μg/ml链霉素,pH7.2; 3. 消化液:0.25%胰蛋白酶溶液,1mg/mlⅡ型胶原酶溶液; 4. 培养液:RPMI 1640培养基,配制培养液时加入15%的小牛血清,并用5.6% NaHCO3 调节至pH 7.2。 实验方法: 1. 取生后1—2d大鼠若干只,拉颈处死
在细胞生物学领域,原代细胞培养作为解开生命奥秘的重要工具,要求实验者遵循一系列关键的注意事项以确保可靠的实验结果。 本文将深入探讨如何在原代细胞培养过程中应用这些关键要点: 原代培养要重点注意无菌操作,所用器械需提前高压灭菌; 鼠胚原代培养时,获取组织较少,建议在冷光源体视显微镜下操作; 原代细胞培养过程比较慢,培养时间最少需要一周的时间。若 2 天后可能会出现培养基变黄的现象,且无漂浮物,排除污染,属于正常现象。这是因为细胞在贴壁生长过程中释放了 CO2 和其他物质导致培养液 PH
如何为自己心爱的细胞选择合适的基础培养基?如何为挑剔的细胞添加合适的添加剂?如何切换血清?让自己宝贝的细胞愉快生长,答案就在这节课中。还等什么呢,快来听 Dr. 赛的讲解吧。
技术资料暂无技术资料 索取技术资料
原代成骨细胞培养体系
¥3000 - 6900









