万千商家帮你免费找货
0 人在求购买到急需产品
- 详细信息
- 技术资料
- 供应商:
上海联祖
- 库存:
34
- 生长状态:
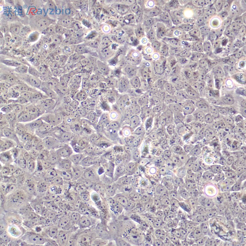
贴壁生长
- 是否是肿瘤细胞:
否
- 规格:
T25培养瓶
鸭肝间质细胞
| 细胞名称 | 鸭肝间质细胞 |
| 货号 | LZ-YX10590 |
| 规格 | T25培养瓶 |
| 培养条件 | 温度:37℃ |
| 种属 | 动物原代细胞 |
| 运输 | 常温 |
公司正在出售的产品:
| MFAP5 Others Human 人 MFAP5 / MAGP2 人细胞裂解液 (阳性对照) | 正常大鼠肾细胞;NRK |
| NCTC clone 929 [L cell, L-929, derivative of Sain L](小鼠成纤维 5×106cells/瓶×2 | Rhesus antibody Rh MK6 原活化蛋白激酶MKK6抗体 规格 0.1ml |
| 脑静脉血管平滑肌细胞Many types of cells包装:5 × 105次方(1ml) | Trop-2/Tpm2 peptide 原肌球蛋白抗原 0.5mg |
| CN1 Others Mouse 小鼠 Coactin 1 / CN1 人细胞裂解液 (阳性对照) | NPAS3: 神经细胞PAS结构域蛋白3抗体 0.2ml |
| NRK-52E,大鼠肾细胞 Sars蛋白表达株,293sars181A细胞 NCI-H1703 [H1703](人肺癌细胞) | Anti-TOPO II Alpha/DNA TP II Alpha /FITC 荧光素标记DNA拓普西异构酶Ⅱ抗体IgGMulti-class antibodies规格: 0.2ml |
| 人表皮黑色素细胞-中色素(HEM)( 5×105 ) MN-c, 小鼠皮质神经元 Mouse | Anti-CD304/Neuropilin-1 神经纤毛蛋白-1抗体Multi-class antibodies规格: 0.1ml |
| AMIGO2 Others Human 人 AMIGO2 人细胞裂解液 (阳性对照) | Anti-FOXO3A/FITC 荧光素标记转录因子FOXO3A抗体IgGMulti-class antibodies规格: 0.2ml |
| DPP10 Others Human 人 DPP10 / DPRP3 人细胞裂解液 (阳性对照) | ABHD1: 肺α/β水解酶蛋白1抗体 0.2ml |
| 人正常细胞;Hs 578Bst 人前列腺上皮细胞完全培养基 100mL | Rho相关蛋白激酶1抗体 Anti-ROCK1 0.2ml |
| SLAMF8 Others Mouse 小鼠 SLAMF8 / BLAME 人细胞裂解液 (阳性对照) | SCF/MGF ELISA Kit 大鼠干细胞因子/肥大细胞生长因子 96T |
| VSTM1 Others Human 人 VSTM1 人细胞裂解液 (阳性对照) | Rhesus antibody Rh Smac/DIABLO 线粒体促凋亡蛋白抗体 规格 0.1ml |
| 大额牛皮肤细胞;BFR-S3 | Anti-ApoH/FITC 荧光素标记载脂蛋白H抗体IgGMulti-class antibodies规格: 0.2ml |
| 鸭肝间质细胞RCN3 Others Human 人 RCN3 人细胞裂解液 (阳性对照) | Anti-PDGF-BB/FITC 荧光素标记血小板源性生长因子-BB抗体IgGMulti-class antibodies规格: 0.2ml |
| 人胚肺二倍体细胞;HL | CLA(Human cutaneous lymphocyte-associated antigen) ELISA Kit 人皮肤淋巴细胞相关抗原Multi-class antibodies规格: 48T |
| PDGFRA Others Rat 大鼠 PDGFRa / CD140a 人细胞裂解液 (阳性对照) | GGNBP1: 配子生成素结合蛋白1抗体 0.2ml |
注意事项:
1.收到细胞后,若发现干冰已挥发干净、冻存管瓶盖脱落、破损及细胞有污染,请立即与我们系。
2.收到细胞先不开瓶盖,瓶身擦拭酒精后放在培养箱静置2-4小时(视细胞密度而定)稳定细胞状态。接着在倒置显微镜下观察细胞生长情况,并对细胞进行不同倍数拍照(建议收细胞时就整体外观拍一张照片,观察培养基的颜色和是否有漏液情况,随后在显微镜下拍下细胞状态,100*,200*各一张),观察记录细胞在运输过程中是否有污染情况。作为我方进行销售依据。
3.由于细胞状态受环境、操作和运输等多方面因素影响,故本公司只保证客户收到细胞后一周内的细胞状态,故客户需要售后时需出示收到细胞的时间证明及客户提供收货时间和发现问题后客服人员沟通的时间证明,期间间隔时间不能大于7天。
4.所有动物细胞均视为有潜在的生物危害性,必须在二级生物安全台内操作,并请注意防护,所有废液及接触过此细胞的器皿需要灭菌后方能丢弃。
5.客户在细胞培养过程中任何问题可联系我们在线客服,我们随时给予解答。
风险提示:丁香通仅作为第三方平台,为商家信息发布提供平台空间。用户咨询产品时请注意保护个人信息及财产安全,合理判断,谨慎选购商品,商家和用户对交易行为负责。对于医疗器械类产品,请先查证核实企业经营资质和医疗器械产品注册证情况。
技术资料暂无技术资料 索取技术资料
鸭肝间质细胞
¥3000 - 6900









